Suppr超能文献

青少年及青年起病的多系统朗格汉斯细胞组织细胞增多症伴中枢神经系统受累:一例报告

Adolescent-and-Young-Adult-Onset Multisystem Langerhans Cell Histiocytosis With Central Nervous System Involvement: A Case Report.

作者信息

Dontu Sruthi, Zheng Mei, Chahin Michael

机构信息

Department of Internal Medicine, Medical College of Georgia at Augusta University, Augusta, USA.

Department of Pathology, Medical College of Georgia at Augusta University, Augusta, USA.

出版信息

Cureus. 2025 Aug 26;17(8):e91053. doi: 10.7759/cureus.91053. eCollection 2025 Aug.

Abstract

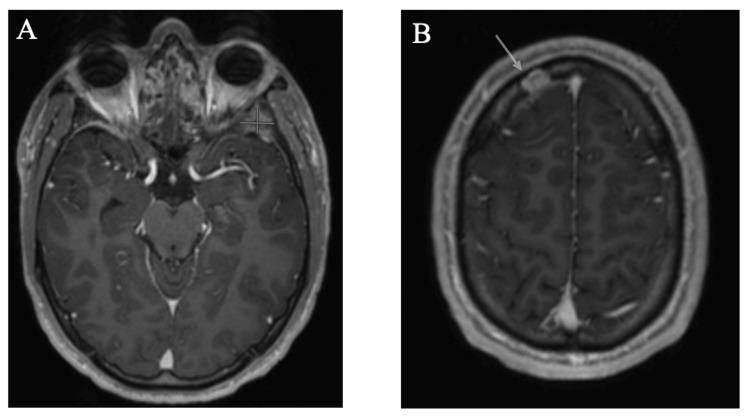
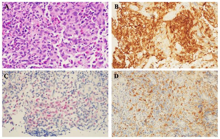
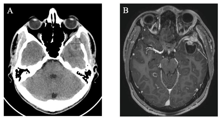
Langerhans cell histiocytosis (LCH) is a proliferative disorder causing normally immune-responsive Langerhans cells to abnormally accumulate in various tissues and organs. Most available data on LCH is derived from pediatric populations, with limited literature focusing on adult LCH, which is rarer. Multisystem involvement in LCH, including central nervous system (CNS) involvement, is often higher risk and poorer prognosis. Standardized treatment recommendations remain limited, particularly in adolescent and young adult (AYA) populations. Discussed below is a case of AYA-onset multisystem LCH with CNS and skeletal system involvement, which was successfully treated with cladribine therapy. An 18-year-old male with no significant past medical history presented with left orbital pain and swelling. Laboratory, imaging, and biopsy results were consistent with a diagnosis of multisystem LCH. The patient was started on cladribine at 0.1 mg/kg/day for 7 days, along with Pneumocystis pneumonia prophylaxis and symptomatic management of facial pain and headaches. After four cycles of cladribine therapy, the patient exhibited symptomatic resolution and complete response of CNS and skeletal lesions. This highlights one potential therapeutic approach yielding a favorable outcome in a borderline case of AYA-onset LCH without targetable mutations on tissue next-generation sequencing (NGS). It also underscores the need for systemic therapy in patients with CNS involvement to avoid future long-term neurodegenerative complications. Further prospective studies and clinical trials are warranted to yield standardized treatment regimens for adult patients with LCH, particularly with multisystem involvement, including CNS.

摘要

朗格汉斯细胞组织细胞增多症(LCH)是一种增殖性疾病,可导致正常具有免疫反应性的朗格汉斯细胞在各种组织和器官中异常积聚。关于LCH的现有数据大多来自儿科人群,针对成人LCH的文献有限,而成人LCH更为罕见。LCH的多系统受累,包括中枢神经系统(CNS)受累,往往风险更高且预后更差。标准化治疗建议仍然有限,尤其是在青少年和青年(AYA)人群中。以下讨论的是一例AYA起病的多系统LCH,伴有CNS和骨骼系统受累,该病例通过克拉屈滨治疗成功治愈。一名既往无重大病史的18岁男性出现左眼眶疼痛和肿胀。实验室、影像学和活检结果均符合多系统LCH的诊断。患者开始接受克拉屈滨治疗,剂量为0.1mg/kg/天,持续7天,同时进行肺孢子菌肺炎预防以及面部疼痛和头痛的对症治疗。经过四个周期的克拉屈滨治疗后,患者症状缓解,CNS和骨骼病变完全缓解。这突出了一种潜在的治疗方法,在一例AYA起病的LCH临界病例中取得了良好的治疗效果,该病例在组织下一代测序(NGS)上没有可靶向的突变。这也强调了对于CNS受累患者进行全身治疗以避免未来长期神经退行性并发症的必要性。有必要进行进一步的前瞻性研究和临床试验,以制定针对成人LCH患者,尤其是伴有多系统受累(包括CNS受累)的标准化治疗方案。

https://cdn.ncbi.nlm.nih.gov/pmc/blobs/56be/12380460/203f713ee672/cureus-0017-00000091053-i01.jpg

文献AI研究员

20分钟写一篇综述,助力文献阅读效率提升50倍。

立即体验

用中文搜PubMed

大模型驱动的PubMed中文搜索引擎

马上搜索

文档翻译

学术文献翻译模型,支持多种主流文档格式。

立即体验