Suppr超能文献

儿童双侧下颌髁突骨折畸形愈合伴颞下颌关节脱位致下颌后缩的下颌骨牵张成骨:1例报告

Mandibular distraction osteogenesis for mandibular retrognathism caused by malunion of bilateral mandibular condyle fractures in childhood with temporomandibular joint dislocation: a case report.

作者信息

Kobayashi Yosuke, Ozaki Hisashi, Mori Hiroki, Takashima Morihiko, Imai Yuichiro, Yokoe Yoshihiko

机构信息

Department of Oral and Maxillofacial Surgery, Kyoto Oral Health Care Center, Rakuwakai Otowa Hospital, Kyoto, Japan.

Kyoto Jaw Deformity Center, Rakuwakai Otowa Hospital, Kyoto, Japan.

出版信息

J Korean Assoc Oral Maxillofac Surg. 2025 Aug 31;51(4):246-253. doi: 10.5125/jkaoms.2025.51.4.246.

Abstract

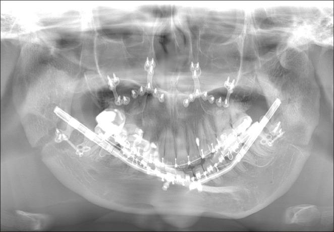
Untreated mandibular condyle fractures in childhood can result in significant jaw deformities, such as mandibular retrognathism, open bite, and facial asymmetry, which may necessitate surgical intervention in later years. Surgical approaches vary depending on the severity of the condition, including mandibular surgery alone, maxillomandibular surgery, or mandibular distraction osteogenesis (MDO). This report highlights a case involving mandibular retrognathism and open bite with condylar dislocation and malunion caused by untreated pediatric condyle fractures. Key challenges in this case included excessive anterior mandibular movement, irregular morphology of the mandibular ramus caused by malunion from fracture healing, and anteromedial dislocation of both condyles, all of which posed significant surgical complexities. The surgical approach combined Le Fort I osteotomy with MDO to perform maxillary impaction and mandibular advancement, followed by a secondary genioplasty. Notably, the dislocated temporomandibular joints were left untreated. Two years postoperatively, no relapse or recurrence of open bite was observed, and the dislocated condyles showed no positional and morphological changes, reflecting favorable outcomes. To our knowledge, this is the first reported case of orthognathic surgery combined with MDO for bilateral dislocated mandibular condyles, making it a valuable contribution to clinical practice.

摘要

儿童期未经治疗的下颌髁突骨折可导致严重的颌骨畸形,如下颌后缩、开颌和面部不对称,这可能在日后需要手术干预。手术方法因病情严重程度而异,包括单纯下颌手术、上颌下颌联合手术或下颌骨牵张成骨术(MDO)。本报告重点介绍了一例因儿童期髁突骨折未经治疗导致下颌后缩、开颌伴髁突脱位和骨不连的病例。该病例的主要挑战包括下颌前部过度移动、骨折愈合导致的骨不连引起的下颌升支形态不规则以及双侧髁突向前内侧脱位,所有这些都带来了重大的手术复杂性。手术方法结合了Le Fort I截骨术和MDO,以进行上颌骨上移和下颌骨前徙,随后进行二期颏成形术。值得注意的是,脱位的颞下颌关节未进行治疗。术后两年,未观察到开颌复发或再发,脱位的髁突也未出现位置和形态变化,显示出良好的效果。据我们所知,这是首例报道的正颌手术联合MDO治疗双侧脱位下颌髁突的病例,对临床实践具有重要价值。

https://cdn.ncbi.nlm.nih.gov/pmc/blobs/c81d/12405768/43568c1fe8fa/jkaoms-51-4-246-f1.jpg

文献AI研究员

20分钟写一篇综述,助力文献阅读效率提升50倍。

立即体验

用中文搜PubMed

大模型驱动的PubMed中文搜索引擎

马上搜索

文档翻译

学术文献翻译模型,支持多种主流文档格式。

立即体验