• 文献检索
  • 文档翻译
  • 深度研究
  • 学术资讯
  • Suppr Zotero 插件Zotero 插件
  • 邀请有礼
  • 套餐&价格
  • 历史记录
应用&插件
Suppr Zotero 插件Zotero 插件浏览器插件Mac 客户端Windows 客户端微信小程序
定价
高级版会员购买积分包购买API积分包
服务
文献检索文档翻译深度研究API 文档MCP 服务
关于我们
关于 Suppr公司介绍联系我们用户协议隐私条款
关注我们

Suppr 超能文献

核心技术专利:CN118964589B侵权必究
粤ICP备2023148730 号-1Suppr @ 2026

文献检索

告别复杂PubMed语法,用中文像聊天一样搜索,搜遍4000万医学文献。AI智能推荐,让科研检索更轻松。

立即免费搜索

文件翻译

保留排版,准确专业,支持PDF/Word/PPT等文件格式,支持 12+语言互译。

免费翻译文档

深度研究

AI帮你快速写综述,25分钟生成高质量综述,智能提取关键信息,辅助科研写作。

立即免费体验

口腔白色海绵状痣:一例罕见病例报告。

Oral White Sponge Nevus: A Rare Case Report.

作者信息

Hosseinpour Sarmadi Maryam, Javadzadeh Farshad, Taghavi Zenouz Mahsa, Zohrabi Mina

机构信息

Department of Oral & Maxillofacial Medicine, Faculty of Dentistry Tabriz University of Medical Sciences Tabriz Iran.

Faculty of Medicine Tabriz University of Medical Sciences Tabriz Iran.

出版信息

Clin Case Rep. 2025 Aug 30;13(9):e70833. doi: 10.1002/ccr3.70833. eCollection 2025 Sep.

DOI:10.1002/ccr3.70833
PMID:40893399
原文链接:https://pmc.ncbi.nlm.nih.gov/articles/PMC12398418/
Abstract

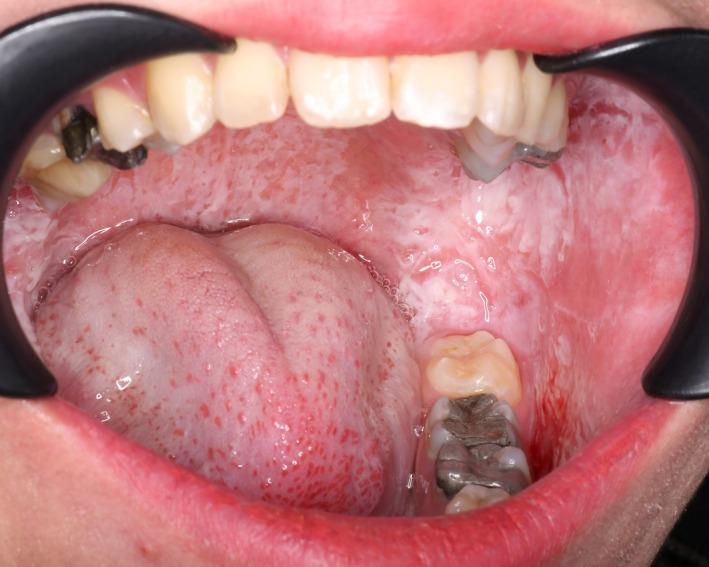
White sponge nevus (WSN) is a rare, benign genetic disorder characterized by distinctive white or gray mucosal lesions, most commonly affecting the oral cavity. Inherited in an autosomal dominant pattern, WSN results from mutations in keratin genes-primarily KRT4 and KRT13. These mutations lead to the development of thick, spongy plaques in the oral mucosa, with extraoral involvement more commonly associated with KRT13 mutations. The condition typically manifests in early childhood, presenting as painless, persistent white plaques. Diagnosis is usually based on clinical evaluation, although histopathological examination can provide confirmation. WSN is generally asymptomatic and does not require treatment; however, its cosmetic appearance may cause psychological discomfort. Although malignant transformation is rare, certain antimicrobial therapies have shown promise in symptom management. This report describes a case of WSN in a 23-year-old Iranian woman, detailing the clinical presentation, diagnostic process, and potential treatment strategies. Despite its benign nature, further research into the pathogenesis and therapeutic options is essential to improve patient care and quality of life.

摘要

白色海绵状痣(WSN)是一种罕见的良性遗传性疾病,其特征为独特的白色或灰色黏膜病变,最常累及口腔。WSN以常染色体显性模式遗传,由角蛋白基因(主要是KRT4和KRT13)突变引起。这些突变导致口腔黏膜出现增厚的海绵状斑块,口外受累更常与KRT13突变相关。该病通常在儿童早期出现,表现为无痛性、持续性白色斑块。诊断通常基于临床评估,不过组织病理学检查可提供确诊依据。WSN一般无症状,无需治疗;然而,其外观可能会引起心理不适。虽然恶变罕见,但某些抗菌疗法在症状管理方面已显示出前景。本报告描述了一名23岁伊朗女性的WSN病例,详细介绍了临床表现、诊断过程及潜在治疗策略。尽管其本质为良性,但进一步研究发病机制和治疗选择对于改善患者护理和生活质量至关重要。

https://cdn.ncbi.nlm.nih.gov/pmc/blobs/7e40/12398418/cbfb65733ec7/CCR3-13-e70833-g002.jpg
https://cdn.ncbi.nlm.nih.gov/pmc/blobs/7e40/12398418/309aabfa7e08/CCR3-13-e70833-g001.jpg
https://cdn.ncbi.nlm.nih.gov/pmc/blobs/7e40/12398418/7f23aee420a5/CCR3-13-e70833-g003.jpg
https://cdn.ncbi.nlm.nih.gov/pmc/blobs/7e40/12398418/cbfb65733ec7/CCR3-13-e70833-g002.jpg
https://cdn.ncbi.nlm.nih.gov/pmc/blobs/7e40/12398418/309aabfa7e08/CCR3-13-e70833-g001.jpg
https://cdn.ncbi.nlm.nih.gov/pmc/blobs/7e40/12398418/7f23aee420a5/CCR3-13-e70833-g003.jpg
https://cdn.ncbi.nlm.nih.gov/pmc/blobs/7e40/12398418/cbfb65733ec7/CCR3-13-e70833-g002.jpg

相似文献

1
Oral White Sponge Nevus: A Rare Case Report.口腔白色海绵状痣:一例罕见病例报告。
Clin Case Rep. 2025 Aug 30;13(9):e70833. doi: 10.1002/ccr3.70833. eCollection 2025 Sep.
2
Prescription of Controlled Substances: Benefits and Risks管制药品的处方:益处与风险
3
Beckwith-Wiedemann Syndrome贝克威思-维德曼综合征
4
Ophthalmia Neonatorum新生儿眼炎
5
Elbow Fractures Overview肘部骨折概述
6
Autoimmune Lymphoproliferative Syndrome自身免疫性淋巴细胞增生综合征
7
Nocardia Keratitis诺卡菌性角膜炎
8
Management of urinary stones by experts in stone disease (ESD 2025).结石病专家对尿路结石的管理(2025年结石病专家共识)
Arch Ital Urol Androl. 2025 Jun 30;97(2):14085. doi: 10.4081/aiua.2025.14085.
9
Dystrophic Epidermolysis Bullosa营养不良性大疱性表皮松解症
10
- and -Related Osteogenesis Imperfecta与……相关的成骨不全症 (你提供的原文不完整,推测这里可能是想表达“某种因素与成骨不全症相关”,但仅从现有的“- and -Related Osteogenesis Imperfecta”很难准确翻译出完整准确的内容,以上是基于可能情况的翻译 )

本文引用的文献

1
Malignant transformation of white sponge nevus: a case report of a novel keratin 4 mutation.白色海绵状痣恶变:一例新型角蛋白 4 突变的病例报告。
BMC Oral Health. 2024 May 21;24(1):588. doi: 10.1186/s12903-024-04300-y.
2
A Rare Clinical Case of Oral White Sponge Nevus and the Associated Challenges in Its Differential Diagnosis.一例罕见的口腔白色海绵状痣临床病例及其鉴别诊断中的相关挑战。
Case Rep Dent. 2024 Mar 18;2024:2251450. doi: 10.1155/2024/2251450. eCollection 2024.
3
Exfoliative Cytology and Genetic Analysis for a Non-Invasive Approach to the Diagnosis of White Sponge Nevus: Case Series.
用于白色海绵状痣诊断的非侵入性方法:病例系列的脱落细胞学和基因分析
Bioengineering (Basel). 2023 Jan 23;10(2):154. doi: 10.3390/bioengineering10020154.
4
A Case Report on Familial White Sponge Nevus in Saudi Arabia.沙特阿拉伯家族性白色海绵状痣病例报告
Cureus. 2022 Dec 18;14(12):e32674. doi: 10.7759/cureus.32674. eCollection 2022 Dec.
5
White Sponge Nevus Caused by Keratin 4 Gene Mutation: A Case Report.角化蛋白 4 基因突变致白色海绵状斑痣 1 例报告
Genes (Basel). 2022 Nov 22;13(12):2184. doi: 10.3390/genes13122184.
6
Successful Treatment of White Sponge Nevus With Oral Doxycycline: A Case Report and Review of the Literature.
Actas Dermosifiliogr (Engl Ed). 2021 May;112(5):463-466. doi: 10.1016/j.ad.2019.10.009. Epub 2020 Nov 18.
7
White sponge nevus: A condition not always clinically suspected.
J Cutan Pathol. 2020 Jan;47(1):22-26. doi: 10.1111/cup.13581. Epub 2019 Oct 7.
8
A novel keratin 13 variant in a four-generation family with white sponge nevus.一个患有白色海绵状痣的四代家族中的一种新型角蛋白13变体。
Clin Case Rep. 2017 Jul 29;5(9):1503-1509. doi: 10.1002/ccr3.1073. eCollection 2017 Sep.