Suppr超能文献

作为恙虫病并发症的重症肺炎:来自流行地区的病例报告

Severe Pneumonia as a Complication of Scrub Typhus: A Case Report From an Endemic Region.

作者信息

Aung Kyaw Zin, Hassan Ibrahim, Cho Ei E, Bo Phyo S, Sah Randhir K

机构信息

Internal Medicine, Kulhudhuffushi Regional Hospital, Kulhudhuffushi City, MDV.

Emergency Department, Kulhudhuffushi Regional Hospital, Kulhudhuffushi City, MDV.

出版信息

Cureus. 2025 Jul 30;17(7):e89084. doi: 10.7759/cureus.89084. eCollection 2025 Jul.

Abstract

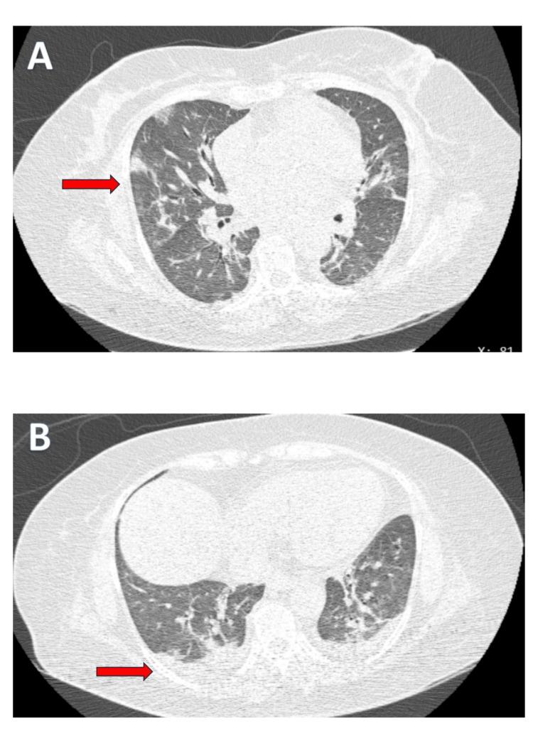
Scrub typhus, caused by , transmitted through bites from infected chiggers (larval mites), is a common infection in the Asia-Pacific region, including the Maldives, and typically presents with fever with myalgia, rash, eschar, and internal organ involvement. Pulmonary complications like severe pneumonia are less common but can be life-threatening. We report a case of a 51-year-old woman with underlying hypertension and rheumatoid arthritis on immunosuppressive therapy, who presented with high-grade fever, dry cough, and worsening shortness of breath. Physical examination revealed an eschar on her left thigh and crackles at both lung bases. Chest imaging showed bilateral ground-glass opacities consistent with interstitial pneumonia. Serological testing confirmed scrub typhus infection. She was treated with a combination therapy of doxycycline and azithromycin, along with supportive care in the ICU, resulting in full recovery. This case highlights the need to consider scrub typhus in patients with severe pneumonia from endemic areas, especially in those with underlying health conditions, to ensure timely diagnosis and treatment, which is critical for reducing complications of pneumonia and morbidity.

摘要

恙虫病由恙虫病东方体引起,通过被感染的恙螨(幼虫螨)叮咬传播,在包括马尔代夫在内的亚太地区是一种常见感染,通常表现为发热伴肌痛、皮疹、焦痂和内脏器官受累。像重症肺炎这样的肺部并发症不太常见,但可能危及生命。我们报告一例51岁女性病例,该患者患有高血压和类风湿关节炎,正在接受免疫抑制治疗,出现高热、干咳和进行性加重的气短。体格检查发现其左大腿有一个焦痂,双肺底部有啰音。胸部影像学显示双侧磨玻璃影,符合间质性肺炎表现。血清学检测确诊为恙虫病感染。她接受了多西环素和阿奇霉素联合治疗,并在重症监护病房接受支持治疗,最终完全康复。该病例强调,对于来自流行地区的重症肺炎患者,尤其是有基础健康问题的患者,需要考虑恙虫病,以确保及时诊断和治疗,这对于减少肺炎并发症和发病率至关重要。

https://cdn.ncbi.nlm.nih.gov/pmc/blobs/a393/12396972/f836f7c0950e/cureus-0017-00000089084-i01.jpg

文献AI研究员

20分钟写一篇综述,助力文献阅读效率提升50倍。

立即体验

用中文搜PubMed

大模型驱动的PubMed中文搜索引擎

马上搜索

文档翻译

学术文献翻译模型,支持多种主流文档格式。

立即体验