Suppr超能文献

枕骨大孔脑膜瘤切除术中后下小脑动脉(PICA)转位的创新技术:病例报告

An Innovative Technique For Posterior Inferior Cerebellar Artery (PICA) Transposition During Foramen Magnum Meningioma Resection: A Case Report.

作者信息

Lim Eddie, Kanesen Davendran

机构信息

Neurosurgery, Sarawak General Hospital, Kuching, MYS.

出版信息

Cureus. 2025 Jul 30;17(7):e89058. doi: 10.7759/cureus.89058. eCollection 2025 Jul.

Abstract

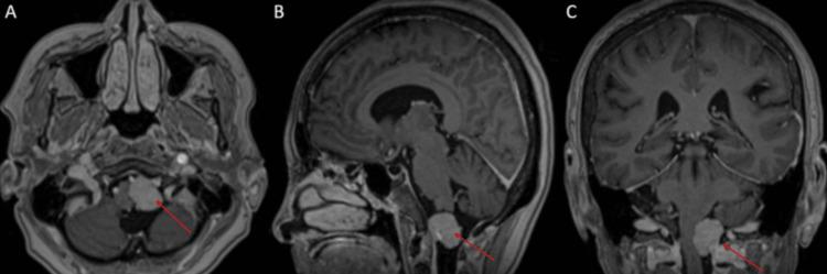
This report outlines the successful excision of an anterolateral foramen magnum meningioma (FMM) in a 69-year-old female patient who exhibited symptoms of vertigo, numbness in the left shoulder, and a fall. Neuroimaging revealed a lesion located at the anterolateral foramen magnum. The tumor was removed using a posterior midline suboccipital approach, with meticulous dissection performed around the left posterior inferior cerebellar artery (PICA). This artery was transposed with the aid of a Yasargil 5 mm curved temporary fenestrated clip (Aesculap AG & Co., Tuttlingen, Germany) to enable a Simpson grade 2 resection. The postoperative recovery was smooth, resulting in discharge on the third day, and histopathological analysis confirmed the diagnosis of an angiomatous meningioma, classified as CNS WHO grade 1. This case highlights the practicality and efficacy of PICA transposition during the resection of anterolateral FMM, showcasing the innovative application of a temporary fenestrated clip to stabilize the vessel while maintaining vascular integrity, thus allowing for safe tumor removal. This technique presents a promising approach for the management of complex foramen magnum lesions, yielding favorable results.

摘要

本报告概述了一名69岁女性患者成功切除前外侧枕骨大孔脑膜瘤(FMM)的病例。该患者出现眩晕、左肩麻木和跌倒症状。神经影像学检查显示病变位于前外侧枕骨大孔。采用枕下后正中入路切除肿瘤,在左小脑后下动脉(PICA)周围进行细致解剖。借助Yasargil 5mm弯曲临时开窗夹(德国图特林根的蛇牌股份公司)将该动脉移位,以实现辛普森2级切除。术后恢复顺利,患者于第三天出院,组织病理学分析确诊为血管母细胞型脑膜瘤,分类为世界卫生组织中枢神经系统1级。该病例突出了在切除前外侧FMM过程中PICA移位的实用性和有效性,展示了临时开窗夹在稳定血管同时保持血管完整性方面的创新应用,从而实现安全的肿瘤切除。该技术为复杂枕骨大孔病变的治疗提供了一种有前景的方法,取得了良好效果。

https://cdn.ncbi.nlm.nih.gov/pmc/blobs/518f/12398313/6a397f75de7b/cureus-0017-00000089058-i01.jpg

文献检索

告别复杂PubMed语法,用中文像聊天一样搜索,搜遍4000万医学文献。AI智能推荐,让科研检索更轻松。

立即免费搜索

文件翻译

保留排版,准确专业,支持PDF/Word/PPT等文件格式,支持 12+语言互译。

免费翻译文档

深度研究

AI帮你快速写综述,25分钟生成高质量综述,智能提取关键信息,辅助科研写作。

立即免费体验