• 文献检索
  • 文档翻译
  • 深度研究
  • 学术资讯
  • Suppr Zotero 插件Zotero 插件
  • 邀请有礼
  • 套餐&价格
  • 历史记录
应用&插件
Suppr Zotero 插件Zotero 插件浏览器插件Mac 客户端Windows 客户端微信小程序
定价
高级版会员购买积分包购买API积分包
服务
文献检索文档翻译深度研究API 文档MCP 服务
关于我们
关于 Suppr公司介绍联系我们用户协议隐私条款
关注我们

Suppr 超能文献

核心技术专利:CN118964589B侵权必究
粤ICP备2023148730 号-1Suppr @ 2026

文献检索

告别复杂PubMed语法,用中文像聊天一样搜索,搜遍4000万医学文献。AI智能推荐,让科研检索更轻松。

立即免费搜索

文件翻译

保留排版,准确专业,支持PDF/Word/PPT等文件格式,支持 12+语言互译。

免费翻译文档

深度研究

AI帮你快速写综述,25分钟生成高质量综述,智能提取关键信息,辅助科研写作。

立即免费体验

18F-氟脱氧葡萄糖(FDG)正电子发射断层扫描(PET)/计算机断层扫描(CT)在常规成像阴性的甲状腺髓样癌复发检测中的价值:一例报告

Value of 18F-Fluorodeoxyglucose (FDG) Positron Emission Tomography (PET)/Computed Tomography (CT) in the Detection of Recurrence in Medullary Thyroid Carcinoma With Negative Conventional Imaging: A Case Report.

作者信息

Gutierrez Albenda David, Murillo Jiménez Julyana, Rodríguez Varela Laura Natalia, Ulate Blanco Paula, Sánchez Hidalgo Nelson Mauricio

机构信息

Cyclotron-PET/CT Laboratory, University of Costa Rica, San José, CRI.

School of Medicine, University of Costa Rica, San José, CRI.

出版信息

Cureus. 2025 Aug 4;17(8):e89326. doi: 10.7759/cureus.89326. eCollection 2025 Aug.

DOI:10.7759/cureus.89326
PMID:40909087
原文链接:https://pmc.ncbi.nlm.nih.gov/articles/PMC12406753/
Abstract

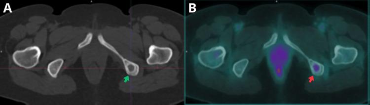
Medullary thyroid carcinoma (MTC) is a rare neuroendocrine tumor with variable clinical presentation, posing both diagnostic and therapeutic challenges. Disease recurrence is common and may manifest solely as elevated tumor markers in the absence of clinical findings or positive morphological imaging. We present the case of a 56-year-old woman diagnosed with MTC in 2011, treated with total thyroidectomy and adjuvant therapy. In 2021, a locoregional recurrence was detected, requiring left-sided neck dissection. During follow-up in 2025, elevated tumor markers were identified despite negative findings on computed tomography (CT). Consequently, an F-fluorodeoxyglucose (FDG) positron emission tomography (PET)/CT was performed, revealing disease recurrence with multiple lesions suggestive of bone metastases. This case underscores the value of F-FDG PET/CT in the follow-up and detection of MTC recurrence.

摘要

甲状腺髓样癌(MTC)是一种罕见的神经内分泌肿瘤,临床表现多样,给诊断和治疗带来挑战。疾病复发很常见,可能仅表现为肿瘤标志物升高,而无临床症状或形态学影像学阳性表现。我们报告一例56岁女性病例,该患者于2011年被诊断为MTC,接受了甲状腺全切除术及辅助治疗。2021年,检测到局部区域复发,需要进行左侧颈部清扫术。在2025年的随访中,尽管计算机断层扫描(CT)结果为阴性,但肿瘤标志物升高。因此,进行了氟脱氧葡萄糖(FDG)正电子发射断层扫描(PET)/CT检查,结果显示疾病复发,有多个提示骨转移的病灶。该病例强调了F-FDG PET/CT在MTC复发随访和检测中的价值。

https://cdn.ncbi.nlm.nih.gov/pmc/blobs/35c9/12406753/98d6405f4cf4/cureus-0017-00000089326-i03.jpg
https://cdn.ncbi.nlm.nih.gov/pmc/blobs/35c9/12406753/4d39ebc64e1c/cureus-0017-00000089326-i01.jpg
https://cdn.ncbi.nlm.nih.gov/pmc/blobs/35c9/12406753/f340ec78631d/cureus-0017-00000089326-i02.jpg
https://cdn.ncbi.nlm.nih.gov/pmc/blobs/35c9/12406753/98d6405f4cf4/cureus-0017-00000089326-i03.jpg
https://cdn.ncbi.nlm.nih.gov/pmc/blobs/35c9/12406753/4d39ebc64e1c/cureus-0017-00000089326-i01.jpg
https://cdn.ncbi.nlm.nih.gov/pmc/blobs/35c9/12406753/f340ec78631d/cureus-0017-00000089326-i02.jpg
https://cdn.ncbi.nlm.nih.gov/pmc/blobs/35c9/12406753/98d6405f4cf4/cureus-0017-00000089326-i03.jpg

相似文献

1
Value of 18F-Fluorodeoxyglucose (FDG) Positron Emission Tomography (PET)/Computed Tomography (CT) in the Detection of Recurrence in Medullary Thyroid Carcinoma With Negative Conventional Imaging: A Case Report.18F-氟脱氧葡萄糖(FDG)正电子发射断层扫描(PET)/计算机断层扫描(CT)在常规成像阴性的甲状腺髓样癌复发检测中的价值:一例报告
Cureus. 2025 Aug 4;17(8):e89326. doi: 10.7759/cureus.89326. eCollection 2025 Aug.
2
123I-MIBG scintigraphy and 18F-FDG-PET imaging for diagnosing neuroblastoma.用于诊断神经母细胞瘤的123I-间碘苄胍闪烁扫描术和18F-氟代脱氧葡萄糖正电子发射断层显像
Cochrane Database Syst Rev. 2015 Sep 29;2015(9):CD009263. doi: 10.1002/14651858.CD009263.pub2.
3
Fluorine-18-fluorodeoxyglucose (FDG) positron emission tomography (PET) computed tomography (CT) for the detection of bone, lung, and lymph node metastases in rhabdomyosarcoma.氟-18-氟代脱氧葡萄糖(FDG)正电子发射断层扫描(PET)计算机断层扫描(CT)用于检测横纹肌肉瘤中的骨、肺和淋巴结转移。
Cochrane Database Syst Rev. 2021 Nov 9;11(11):CD012325. doi: 10.1002/14651858.CD012325.pub2.
4
Role of Metabolic Parameters of 18F-Fluorodeoxyglucose Positron Emission Tomography-Computed Tomography (18F-FDG PET-CT) Imaging in Predicting Progression-Free Survival of Radioiodine-Refractory Differentiated Thyroid Cancer: A Single-Center Study.18F-氟脱氧葡萄糖正电子发射断层扫描-计算机断层扫描(18F-FDG PET-CT)成像的代谢参数在预测放射性碘难治性分化型甲状腺癌无进展生存期方面的作用:一项单中心研究
Cureus. 2025 May 28;17(5):e84998. doi: 10.7759/cureus.84998. eCollection 2025 May.
5
¹⁸F-FDG PET/CT: a review of diagnostic and prognostic features in multiple myeloma and related disorders.¹⁸F-FDG PET/CT:多发性骨髓瘤及相关疾病的诊断和预后特征综述
Clin Exp Med. 2015 Feb;15(1):1-18. doi: 10.1007/s10238-014-0308-3. Epub 2014 Sep 14.
6
Diagnostic Performance of ¹⁸F-FDG PET and PET/CT for the Detection of Recurrent Esophageal Cancer After Treatment with Curative Intent: A Systematic Review and Meta-Analysis.¹⁸F-FDG PET 和 PET/CT 检测根治性治疗后复发性食管癌的诊断性能:系统评价和荟萃分析。
J Nucl Med. 2015 Jul;56(7):995-1002. doi: 10.2967/jnumed.115.155580. Epub 2015 May 7.
7
3-year overall survival benefit of systematic follow-up with 18F-FDG PET/CT in asymptomatic patients treated for head and neck squamous cell carcinoma: a multicenter study.18F-FDG PET/CT系统随访对无症状头颈鳞状细胞癌患者的3年总生存获益:一项多中心研究
Eur J Nucl Med Mol Imaging. 2025 Feb 26. doi: 10.1007/s00259-025-07147-9.
8
The value of FDG positron emission tomography/computerised tomography (PET/CT) in pre-operative staging of colorectal cancer: a systematic review and economic evaluation.18F-氟脱氧葡萄糖正电子发射断层扫描/计算机断层扫描(FDG-PET/CT)在结直肠癌术前分期中的价值:系统评价和经济评估。
Health Technol Assess. 2011 Sep;15(35):1-192, iii-iv. doi: 10.3310/hta15350.
9
Gastric Cancer Metastasis to the Prostate Detected on 18F-Fluorodeoxyglucose Positron Emission Tomography/Computed Tomography (18F-FDG PET/CT): A Report of a Rare Case.18F-氟脱氧葡萄糖正电子发射断层扫描/计算机断层扫描(18F-FDG PET/CT)检测到胃癌转移至前列腺:1例罕见病例报告
Cureus. 2025 Jul 16;17(7):e88048. doi: 10.7759/cureus.88048. eCollection 2025 Jul.
10
Comparison of [Ga]Ga-FAPI-04 and [F]FDG PET/CT for detection of bone metastases of lung cancer.[镓]Ga-FAPI-04与[氟]FDG PET/CT在检测肺癌骨转移中的比较。
Quant Imaging Med Surg. 2025 Sep 1;15(9):8627-8640. doi: 10.21037/qims-2025-234. Epub 2025 Aug 18.

本文引用的文献

1
The diagnostic challenges of medullary thyroid carcinoma: A practical guide for cytopathologists.甲状腺髓样癌的诊断挑战:细胞病理学家实用指南。
Cancer Cytopathol. 2025 Jun;133(6):e70023. doi: 10.1002/cncy.70023.
2
Overview of management and therapeutic advances in medullary thyroid cancer.甲状腺髓样癌的管理与治疗进展概述
Endocr Oncol. 2025 Mar 11;5(1):e240077. doi: 10.1530/EO-24-0077. eCollection 2025 Jan.
3
The Efficacy of Positron Emission Tomography/Computed Tomography Scan (PET CT Scan) in the Diagnosis of Local Recurrence and Metastases in Surgical Patients with Medullary Thyroid Carcinoma: A Systematic Review and Meta-Analysis of the Last 5 Years (2020-2024).
正电子发射断层扫描/计算机断层扫描(PET CT扫描)在甲状腺髓样癌手术患者局部复发和转移诊断中的疗效:过去5年(2020 - 2024年)的系统评价和荟萃分析
Cancers (Basel). 2024 Dec 19;16(24):4236. doi: 10.3390/cancers16244236.
4
Fundamentals and recent advances in the evaluation and management of medullary thyroid carcinoma.甲状腺髓样癌的评估和管理的基础及最新进展。
Mol Cell Endocrinol. 2024 Oct 1;592:112295. doi: 10.1016/j.mce.2024.112295. Epub 2024 Jun 12.
5
Hepatic Superscan in Medullary Thyroid Carcinoma: A Rare Presentation in [F]FDG PET/CT.甲状腺髓样癌中的肝脏超扫描:[F]FDG PET/CT中的罕见表现
Nucl Med Mol Imaging. 2024 May;58(3):147-149. doi: 10.1007/s13139-023-00836-z. Epub 2024 Jan 18.
6
Medullary thyroid carcinoma.甲状腺髓样癌
Expert Rev Anticancer Ther. 2023 Jul-Dec;23(9):943-957. doi: 10.1080/14737140.2023.2247566. Epub 2023 Aug 30.
7
Medullary Thyroid Cancer: Updates and Challenges.甲状腺髓样癌:更新与挑战。
Endocr Rev. 2023 Sep 15;44(5):934-946. doi: 10.1210/endrev/bnad013.
8
Update on Management of Medullary Thyroid Carcinoma: Focus on Nuclear Medicine.甲状腺髓样癌治疗进展:聚焦核医学。
Semin Nucl Med. 2023 Jul;53(4):481-489. doi: 10.1053/j.semnuclmed.2023.01.003. Epub 2023 Jan 24.
9
Management of medullary carcinoma of the thyroid: a review.甲状腺髓样癌的治疗:综述。
J Int Med Res. 2022 Jul;50(7):3000605221110698. doi: 10.1177/03000605221110698.
10
Medullary thyroid cancer - An update.甲状腺髓样癌——最新进展
Best Pract Res Clin Endocrinol Metab. 2023 Jan;37(1):101655. doi: 10.1016/j.beem.2022.101655. Epub 2022 Mar 31.