Aires Karine V, da Silva Ana Paula, de Andrade Leonardo G, Boyer Alexandre, Zamberlam Gustavo, Portela Valerio M, Antoniazzi Alfredo Q, St-Jean Guillaume
Laboratory of Biotechnology and Animal Reproduction (BioRep), Federal University of Santa Maria, Santa Maria 97105-900, RS, Brazil.
Centre de Recherche en Reproduction et Fertilité, Université de Montréal, Saint-Hyacinthe, QC J2S 2M2, Canada.
Animals (Basel). 2025 Aug 27;15(17):2520. doi: 10.3390/ani15172520.
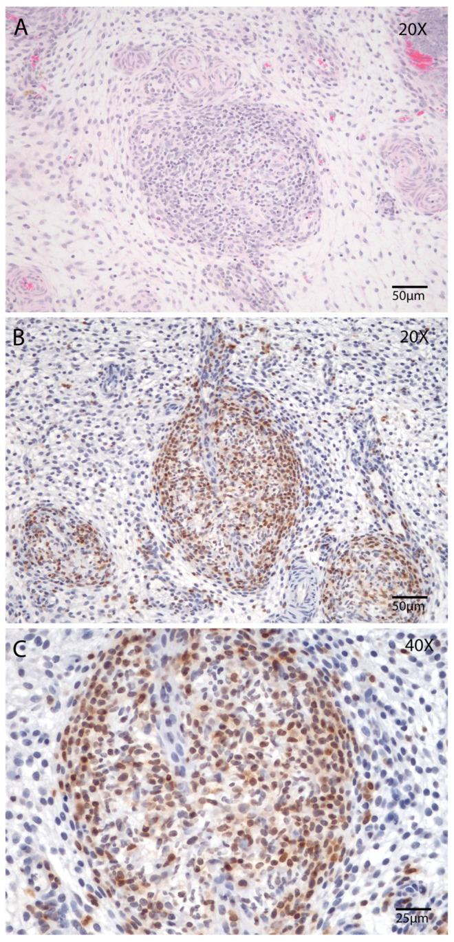
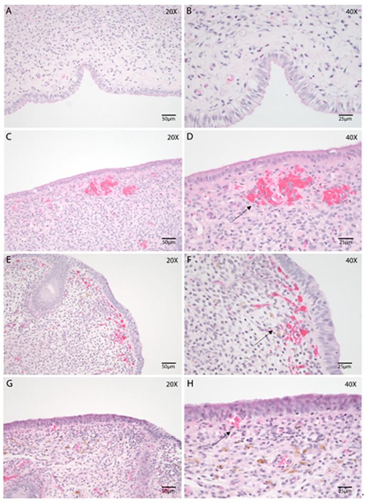
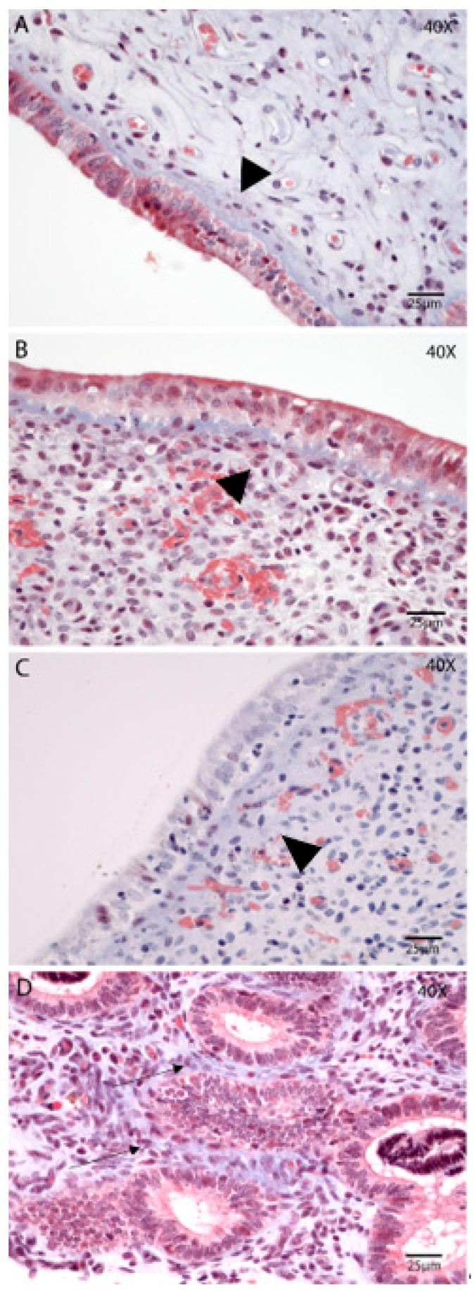
Postpartum uterine involution in cattle involves complex morphological and immunological changes essential for restoring uterine health and fertility. This study evaluated endometrial biopsies collected at four postpartum time points to characterize tissue remodeling and immune cell dynamics during involution. Histology revealed intact luminal columnar epithelium in 92.98% of samples, with stable stromal architecture. Stromal edema decreased by Day 7 but increased again by Day 35, while endometrial gland numbers significantly rose at Day 35, suggesting glandular recovery linked to resumed cyclicity. Subepithelial collagen deposition peaked on Day 21, indicating active extracellular matrix remodeling. Immunologically, early postpartum was marked by increased PMNs and macrophages, whereas Day 21 showed peak infiltration of natural killer (NK) cells and T and B lymphocytes, sometimes forming lymphoid aggregates. Manual and automated immune cell quantifications correlated well. These findings demonstrate a dynamic shift from acute neutrophil-dominated inflammation to a lymphocyte-rich environment during uterine involution. This immune modulation may contribute to the earlier diagnosis of subclinical endometritis, typically identified at later stages of postpartum period. Overall, this study provides insight into the temporal immunomorphological events supporting uterine recovery, with potential implications for reproductive management in dairy cattle.
母牛产后子宫复旧涉及复杂的形态学和免疫学变化,这些变化对于恢复子宫健康和生育能力至关重要。本研究评估了在四个产后时间点采集的子宫内膜活检样本,以表征复旧过程中的组织重塑和免疫细胞动态变化。组织学检查显示,92.98%的样本中管腔柱状上皮完整,基质结构稳定。基质水肿在第7天有所减轻,但在第35天再次增加,而子宫内膜腺体数量在第35天显著增加,表明腺体恢复与周期性恢复有关。上皮下胶原沉积在第21天达到峰值,表明细胞外基质正在进行活跃重塑。在免疫学方面,产后早期以中性粒细胞和巨噬细胞增加为特征,而在第21天,自然杀伤(NK)细胞以及T和B淋巴细胞的浸润达到峰值,有时会形成淋巴样聚集物。手动和自动免疫细胞定量结果相关性良好。这些发现表明,在子宫复旧过程中,从以急性中性粒细胞为主的炎症向富含淋巴细胞的环境发生了动态转变。这种免疫调节可能有助于亚临床子宫内膜炎的早期诊断,亚临床子宫内膜炎通常在产后后期才被发现。总体而言,本研究深入了解了支持子宫恢复的时间性免疫形态学事件,对奶牛的繁殖管理具有潜在意义。