Suppr超能文献

青少年特发性脊柱侧凸进展的表观遗传候选生物标志物的局部表达

Local Expression of Epigenetic Candidate Biomarkers of Adolescent Idiopathic Scoliosis Progression.

作者信息

Neri Simona, Ruffilli Alberto, Assirelli Elisa, Manzetti Marco, Viroli Giovanni, Traversari Matteo, Ialuna Marco, Naldi Susanna, Ciaffi Jacopo, Ursini Francesco, Faldini Cesare

机构信息

Medicine and Rheumatology Unit, IRCCS Istituto Ortopedico Rizzoli, 40136 Bologna, Italy.

1st Orthopaedic and Traumatologic Clinic, IRCCS Istituto Ortopedico Rizzoli, 40136 Bologna, Italy.

出版信息

Int J Mol Sci. 2025 Aug 30;26(17):8453. doi: 10.3390/ijms26178453.

Abstract

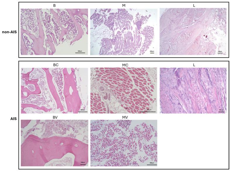
Adolescent idiopathic scoliosis (AIS) is a multifactorial disease with environmental and genetic components. AIS clinical management is complicated by the lack of reliable predictive markers of progression. Recent studies have highlighted a potential role for epigenetic mechanisms in disease progression. However, most findings derive from peripheral blood analyses, with little data available on musculoskeletal tissues directly affected by AIS. Given the tissue-specific nature of epigenetic regulation, validating blood-based biomarkers in disease-relevant tissues is essential. We performed a comparative multi-gene RT-qPCR analysis, arranged in a custom array format, to assess the local expression of candidate epigenetically regulated genes associated with AIS progression across bone, paravertebral muscle, spinal ligament, and peripheral blood, all collected from the same patients. Tissue- and gene-specific expression patterns were observed, supporting the presence of local regulatory mechanisms. Peripheral blood expression of , , , , , , , , , and resembled bone expression, while , , , , , and reflected muscle and ligament; reflected only muscle. In contrast, and were expressed only in muscle and ligament and and only in muscle, suggesting limited systemic biomarker potential. Compared to non-AIS tissues, AIS samples showed downregulation of and in bone and , , , and in muscle. and were upregulated in muscle and in ligament. In conclusion, the results highlight differential gene expression across AIS tissues, supporting tissue-specific regulation in some of the genes analyzed. Only a subset of markers exhibited blood expression patterns that reflected those in specific tissues, suggesting that certain blood biomarkers may act as surrogates for distinct tissue compartments. These results lay the groundwork for future DNA-based studies to confirm the epigenetic nature of this regulation and to identify reliable biomarkers for AIS progression.

摘要

青少年特发性脊柱侧凸(AIS)是一种具有环境和遗传因素的多因素疾病。AIS的临床管理因缺乏可靠的疾病进展预测标志物而变得复杂。最近的研究强调了表观遗传机制在疾病进展中的潜在作用。然而,大多数研究结果来自外周血分析,关于直接受AIS影响的肌肉骨骼组织的数据很少。鉴于表观遗传调控的组织特异性,在与疾病相关的组织中验证基于血液的生物标志物至关重要。我们进行了一项比较多基因RT-qPCR分析,以定制阵列形式排列,以评估与AIS进展相关的候选表观遗传调控基因在骨、椎旁肌、脊柱韧带和外周血中的局部表达,所有样本均来自同一患者。观察到了组织和基因特异性表达模式,支持局部调控机制的存在。、、、、、、、、和在外周血中的表达与骨相似,而、、、、和反映肌肉和韧带;仅反映肌肉。相比之下,和仅在肌肉和韧带中表达,和仅在肌肉中表达,表明全身生物标志物潜力有限。与非AIS组织相比,AIS样本在骨中显示和下调,在肌肉中显示、、和下调。和在肌肉中上调,在韧带中上调。总之,结果突出了AIS组织间的差异基因表达,支持了所分析的一些基因中的组织特异性调控。只有一部分标志物在外周血中的表达模式反映了特定组织中的表达模式,这表明某些血液生物标志物可能作为不同组织区域的替代物。这些结果为未来基于DNA的研究奠定了基础,以证实这种调控的表观遗传性质,并确定AIS进展的可靠生物标志物。

https://cdn.ncbi.nlm.nih.gov/pmc/blobs/0b01/12429667/208eff15299a/ijms-26-08453-g001.jpg

文献检索

告别复杂PubMed语法,用中文像聊天一样搜索,搜遍4000万医学文献。AI智能推荐,让科研检索更轻松。

立即免费搜索

文件翻译

保留排版,准确专业,支持PDF/Word/PPT等文件格式,支持 12+语言互译。

免费翻译文档

深度研究

AI帮你快速写综述,25分钟生成高质量综述,智能提取关键信息,辅助科研写作。

立即免费体验