• 文献检索
  • 文档翻译
  • 深度研究
  • 学术资讯
  • Suppr Zotero 插件Zotero 插件
  • 邀请有礼
  • 套餐&价格
  • 历史记录
应用&插件
Suppr Zotero 插件Zotero 插件浏览器插件Mac 客户端Windows 客户端微信小程序
定价
高级版会员购买积分包购买API积分包
服务
文献检索文档翻译深度研究API 文档MCP 服务
关于我们
关于 Suppr公司介绍联系我们用户协议隐私条款
关注我们

Suppr 超能文献

核心技术专利:CN118964589B侵权必究
粤ICP备2023148730 号-1Suppr @ 2026

文献检索

告别复杂PubMed语法,用中文像聊天一样搜索,搜遍4000万医学文献。AI智能推荐,让科研检索更轻松。

立即免费搜索

文件翻译

保留排版,准确专业,支持PDF/Word/PPT等文件格式,支持 12+语言互译。

免费翻译文档

深度研究

AI帮你快速写综述,25分钟生成高质量综述,智能提取关键信息,辅助科研写作。

立即免费体验

感染新冠病毒的孕妇胎盘的变化

Changes in Placentas of Pregnant Women Infected with COVID-19.

作者信息

Kramar Solomiia, Nebesna Zoia, Yakymchuk Yuliia, Boychuk Alla, Shevchuk Oksana, Korda Mykhaylo, Vari Sandor George

机构信息

Department of Histology and Embryology, I. Horbachevsky Ternopil National Medical University, 46001 Ternopil, Ukraine.

Department of the Obstetrics and Gynecology, I. Horbachevsky Ternopil National Medical University, 46001 Ternopil, Ukraine.

出版信息

Int J Mol Sci. 2025 Sep 4;26(17):8596. doi: 10.3390/ijms26178596.

DOI:10.3390/ijms26178596
PMID:40943516
原文链接:https://pmc.ncbi.nlm.nih.gov/articles/PMC12429439/
Abstract

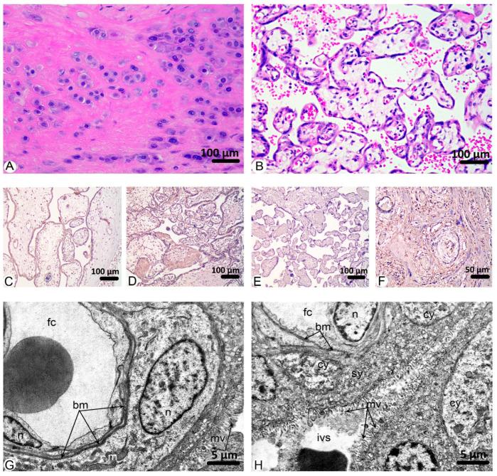
SARS-CoV-2 infection in pregnant women can lead to pregnancy-related complications. This work aims to study the spectrum of pathological changes in the placentas of SARS-CoV-2-infected pregnant women. The study involved 50 pregnant women with COVID-19 disease in the first (group I), second (group II), and third (group III) trimesters. Placental sections were examined by histopathology, electron microscopy, and immunohistochemistry to assess structural and molecular changes. The placentas of SARS-CoV-2-affected pregnant women exhibit nonspecific pathological changes, primarily associated with impaired blood circulation. The most frequent findings include thrombosis, chorangiosis, villous edema, and fibrinoid necrosis, all indicative of endothelial dysfunction. Increased expression of sclerostin and Annexin A2 was also detected in affected placentas. The main submicroscopic manifestations of placental insufficiency in COVID-19-affected women are dystrophic-destructive changes in the stroma of the villi, manifested by edema and fibrous processes, which cause significant disruption of the fetoplacental barrier. SARS-CoV-2 causes thrombotic and sclerotic changes, mainly in the maternal portion of the placenta. The manifestation of pathological changes in the placenta of COVID-19-affected women depends on the pregnancy period during which infection by SARS-CoV-2 has occurred. The established findings may provide insights into the connection between COVID-19 in pregnancy and antenatal and perinatal outcomes.

摘要

孕妇感染严重急性呼吸综合征冠状病毒2(SARS-CoV-2)可导致与妊娠相关的并发症。这项研究旨在探讨SARS-CoV-2感染孕妇胎盘的病理变化谱。该研究纳入了50例处于妊娠第一期(第一组)、第二期(第二组)和第三期(第三组)的新冠肺炎孕妇。通过组织病理学、电子显微镜和免疫组织化学检查胎盘切片,以评估结构和分子变化。受SARS-CoV-2影响的孕妇胎盘呈现非特异性病理变化,主要与血液循环受损有关。最常见的表现包括血栓形成、绒毛膜血管增多、绒毛水肿和纤维蛋白样坏死,所有这些均提示内皮功能障碍。在受影响的胎盘中还检测到硬化蛋白和膜联蛋白A2的表达增加。新冠肺炎感染女性胎盘功能不全的主要亚微观表现为绒毛基质的营养不良性破坏变化,表现为水肿和纤维样改变,这会导致胎盘屏障严重受损。SARS-CoV-2主要在胎盘的母体部分引起血栓形成和硬化改变。受新冠肺炎影响女性胎盘病理变化的表现取决于感染SARS-CoV-2时的孕周。这些既定的发现可能有助于深入了解妊娠期新冠肺炎与产前和围产期结局之间的联系。

https://cdn.ncbi.nlm.nih.gov/pmc/blobs/75c4/12429439/39007d444d7b/ijms-26-08596-g005.jpg
https://cdn.ncbi.nlm.nih.gov/pmc/blobs/75c4/12429439/a4d5e91ce8fb/ijms-26-08596-g001.jpg
https://cdn.ncbi.nlm.nih.gov/pmc/blobs/75c4/12429439/c90e6122f7f5/ijms-26-08596-g002.jpg
https://cdn.ncbi.nlm.nih.gov/pmc/blobs/75c4/12429439/88bbd67543cd/ijms-26-08596-g003.jpg
https://cdn.ncbi.nlm.nih.gov/pmc/blobs/75c4/12429439/222d5f950105/ijms-26-08596-g004.jpg
https://cdn.ncbi.nlm.nih.gov/pmc/blobs/75c4/12429439/39007d444d7b/ijms-26-08596-g005.jpg
https://cdn.ncbi.nlm.nih.gov/pmc/blobs/75c4/12429439/a4d5e91ce8fb/ijms-26-08596-g001.jpg
https://cdn.ncbi.nlm.nih.gov/pmc/blobs/75c4/12429439/c90e6122f7f5/ijms-26-08596-g002.jpg
https://cdn.ncbi.nlm.nih.gov/pmc/blobs/75c4/12429439/88bbd67543cd/ijms-26-08596-g003.jpg
https://cdn.ncbi.nlm.nih.gov/pmc/blobs/75c4/12429439/222d5f950105/ijms-26-08596-g004.jpg
https://cdn.ncbi.nlm.nih.gov/pmc/blobs/75c4/12429439/39007d444d7b/ijms-26-08596-g005.jpg

相似文献

1
Changes in Placentas of Pregnant Women Infected with COVID-19.感染新冠病毒的孕妇胎盘的变化
Int J Mol Sci. 2025 Sep 4;26(17):8596. doi: 10.3390/ijms26178596.
2
Coronavirus disease 2019 (Covid-19) during pregnancy: Pathomorphological changes in the terminal villi of the placenta.
Pol Merkur Lekarski. 2025;53(4):485-494. doi: 10.36740/Merkur202504108.
3
Post-pandemic planning for maternity care for local, regional, and national maternity systems across the four nations: a mixed-methods study.针对四个地区的地方、区域和国家孕产妇保健系统的疫情后规划:一项混合方法研究。
Health Soc Care Deliv Res. 2025 Sep;13(35):1-25. doi: 10.3310/HHTE6611.
4
Maternal Obesity Modifies the Impact of Active SARS-CoV-2 Infection on Placental Pathology.孕妇肥胖改变了活跃的新冠病毒感染对胎盘病理学的影响。
Viruses. 2025 Jul 18;17(7):1013. doi: 10.3390/v17071013.
5
Placental histopathology after SARS-CoV-2 infection in pregnancy: a systematic review and meta-analysis.妊娠期感染 SARS-CoV-2 后的胎盘组织病理学:系统评价和荟萃分析。
Am J Obstet Gynecol MFM. 2021 Nov;3(6):100468. doi: 10.1016/j.ajogmf.2021.100468. Epub 2021 Aug 21.
6
Immunohistochemical Analysis of Placental Tissue of Women Infected with SARS-CoV-2 During Pregnancy-A Prospective Clinical Study.孕期感染新型冠状病毒2的女性胎盘组织的免疫组织化学分析——一项前瞻性临床研究
Int J Mol Sci. 2025 Aug 7;26(15):7659. doi: 10.3390/ijms26157659.
7
SARS-CoV-2 placentitis and severe pregnancy outcome after maternal infection: A Danish case series.SARS-CoV-2 胎盘炎和母体感染后严重的妊娠结局:丹麦病例系列。
Acta Obstet Gynecol Scand. 2023 May;102(5):567-576. doi: 10.1111/aogs.14541. Epub 2023 Mar 23.
8
The relationship between maternal COVID-19 with fetal and neonatal complications and intrauterine vertical transmission: A cohort study on pregnant women.孕产妇新冠病毒感染与胎儿及新生儿并发症及宫内垂直传播的关系:一项针对孕妇的队列研究
PLoS One. 2025 Jul 16;20(7):e0326450. doi: 10.1371/journal.pone.0326450. eCollection 2025.
9
Association of SARS-CoV-2 Infection during pregnancy with placental weight and histopathologic lesions.孕期感染严重急性呼吸综合征冠状病毒2与胎盘重量及组织病理学病变的关联。
Placenta. 2025 Jan;159:180-186. doi: 10.1016/j.placenta.2024.12.017. Epub 2024 Dec 25.
10
A systematic review of pregnant women with COVID-19 and their neonates.对 COVID-19 孕妇及其新生儿的系统评价。
Arch Gynecol Obstet. 2021 Jul;304(1):5-38. doi: 10.1007/s00404-021-06049-z. Epub 2021 Apr 2.

本文引用的文献

1
Infection with SARS-CoV-2 during pregnancy and risk of stillbirth: a Scandinavian registry study.孕期感染严重急性呼吸综合征冠状病毒2型与死产风险:一项斯堪的纳维亚登记研究
BMJ Public Health. 2023 Oct 25;1(1):e000314. doi: 10.1136/bmjph-2023-000314. eCollection 2023 Nov.
2
COVID-19 and Pregnancy: A Dangerous Mix for Bone Turnover and Metabolism Biomarkers in Placenta and Colostrum.新冠病毒与妊娠:对胎盘和初乳中骨转换及代谢生物标志物而言是危险组合。
J Clin Med. 2024 Apr 6;13(7):2124. doi: 10.3390/jcm13072124.
3
Effect of PLGF and EZH2 Expression in Placenta Tissue on GDM Placental Structure and Pregnancy Outcome.
PLGF 和 EZH2 在胎盘组织中表达对 GDM 胎盘结构和妊娠结局的影响。
Altern Ther Health Med. 2024 Oct;30(10):206-211.
4
Covid-19 during Pregnancy - Histopathological Lesions of the Placenta.孕期新冠病毒感染——胎盘的组织病理学病变
Z Geburtshilfe Neonatol. 2024 Feb;228(1):49-56. doi: 10.1055/a-2180-7302. Epub 2023 Nov 2.
5
Clinical value of placental examination for paediatricians.
Arch Dis Child Fetal Neonatal Ed. 2024 Jun 19;109(4):362-370. doi: 10.1136/archdischild-2023-325674.
6
The impact of COVID-19 on maternal death and fetal death, a cohort study in Brazil.COVID-19 对孕产妇死亡和胎儿死亡的影响:巴西的一项队列研究。
PLoS One. 2023 Aug 17;18(8):e0290343. doi: 10.1371/journal.pone.0290343. eCollection 2023.
7
Sclerostin and Cardiovascular Disease.骨硬化蛋白与心血管疾病。
Curr Osteoporos Rep. 2023 Oct;21(5):519-526. doi: 10.1007/s11914-023-00810-w. Epub 2023 Jul 25.
8
The effects of COVID-19 on placental morphology.COVID-19 对胎盘形态的影响。
Placenta. 2023 Jul;138:88-96. doi: 10.1016/j.placenta.2023.05.009. Epub 2023 May 18.
9
Moderate COVID-19 Disease Is Associated With Reduced Bone Turnover.中度 COVID-19 疾病与骨转换减少有关。
J Bone Miner Res. 2023 Jul;38(7):943-950. doi: 10.1002/jbmr.4822. Epub 2023 May 18.
10
Human Placental LRP5 and Sclerostin are Increased in Gestational Diabetes Mellitus Pregnancies.妊娠期糖尿病患者的人胎盘 LRP5 和 Sclerostin 增加。
J Clin Endocrinol Metab. 2023 Sep 18;108(10):2666-2675. doi: 10.1210/clinem/dgad164.