Suppr超能文献

尿道下裂患儿阴茎包皮组织中雄激素受体表达下调。

Downregulated androgen receptor expression in preputial tissues of children with hypospadias.

作者信息

Yang Zhilin, Zhang Peiliang, Zhang Tiejun, Yin Jianchun, Zhou Guanglun, Zhao Weiguang, Chen Pengyu, Li Jiaqiang, Li Shoulin

机构信息

Department of Urology and Laboratory of Pelvic Floor Muscle Function, Shenzhen Children's Hospital, Shenzhen, Guangdong, China.

Department of Urology, Shenzhen Children's Hospital of Shantou University Medical College, Shenzhen, Guangdong, China.

出版信息

Front Pediatr. 2025 Aug 29;13:1660777. doi: 10.3389/fped.2025.1660777. eCollection 2025.

Abstract

PURPOSE

To resolve conflicting evidence on androgen receptor (AR) expression in hypospadias, we compared preputial AR levels between affected children and controls.

METHODS

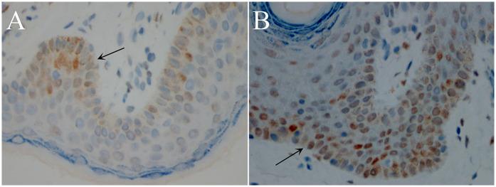
Forty patients with isolated hypospadias (age 2.9 ± 0.79 years, range 1.6-5.2 years) and 40 normal boys (age 3.2 ± 0.79 years, range 1.8-4.7 years) who underwent circumcision for phimosis were included in our study. Inner plates of preputial tissues were analyzed by immunohistochemistry for AR detection.

RESULTS

AR immunoreactivity was predominantly localized to the basal epithelial layer. Significantly reduced AR expression was observed in hypospadias patients vs. controls [average optical density (AOD), 0.38 ± 0.09 vs. 0.56 ± 0.11]. However, there was no difference in AR expression between the proximal and distal hypospadias (AOD, 0.40 ± 0.07 vs. 0.37 ± 0.10,  = 0.22).

CONCLUSIONS

Preputial AR downregulation in hypospadias implicates AR deficiency in pathogenesis, a key controversy in the field.

摘要

目的

为解决关于尿道下裂中雄激素受体(AR)表达的相互矛盾的证据,我们比较了患病儿童和对照组的包皮AR水平。

方法

本研究纳入了40例孤立性尿道下裂患者(年龄2.9±0.79岁,范围1.6 - 5.2岁)和40例因包茎接受包皮环切术的正常男孩(年龄3.2±0.79岁,范围1.8 - 4.7岁)。通过免疫组织化学分析包皮组织的内板以检测AR。

结果

AR免疫反应主要定位于基底上皮层。与对照组相比,尿道下裂患者的AR表达明显降低[平均光密度(AOD),0.38±0.09对0.56±0.11]。然而,近端和远端尿道下裂之间的AR表达没有差异(AOD,0.40±0.07对0.37±0.10,P = 0.22)。

结论

尿道下裂中包皮AR下调表明AR缺乏在发病机制中起作用,这是该领域的一个关键争议点。

https://cdn.ncbi.nlm.nih.gov/pmc/blobs/d2b3/12427030/13353d90443e/fped-13-1660777-g001.jpg

文献检索

告别复杂PubMed语法,用中文像聊天一样搜索,搜遍4000万医学文献。AI智能推荐,让科研检索更轻松。

立即免费搜索

文件翻译

保留排版,准确专业,支持PDF/Word/PPT等文件格式,支持 12+语言互译。

免费翻译文档

深度研究

AI帮你快速写综述,25分钟生成高质量综述,智能提取关键信息,辅助科研写作。

立即免费体验