Suppr超能文献

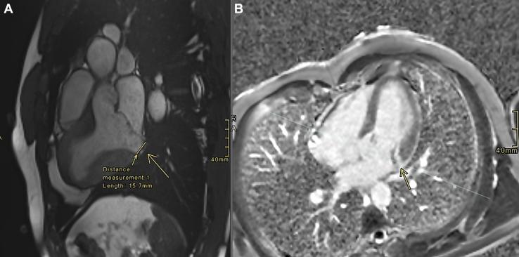
Sudden cardiac arrest during flight in a military helicopter pilot with mitral annular disjunction.

作者信息

Dean John-Henry L, Tunzi Matthew A, Kelly Faith R, Lorenz Giovanni E, Fentanes Emilio, Bush Kelvin N V

机构信息

Division of Cardiology, San Antonio Military Medical Center, Fort Sam Houston, TX.

Department of Radiology, San Antonio Military Medical Center, Fort Sam Houston, TX.

出版信息

HeartRhythm Case Rep. 2025 Apr 19;11(7):599-603. doi: 10.1016/j.hrcr.2025.04.010. eCollection 2025 Jul.

Abstract
摘要
https://cdn.ncbi.nlm.nih.gov/pmc/blobs/c0aa/12432881/8c33375eb627/gr1.jpg

相似文献

1
Sudden cardiac arrest during flight in a military helicopter pilot with mitral annular disjunction.
HeartRhythm Case Rep. 2025 Apr 19;11(7):599-603. doi: 10.1016/j.hrcr.2025.04.010. eCollection 2025 Jul.
2
The reduction of ectopic burden after mitral valve surgery in patients with mitral annular disjunction.
Interdiscip Cardiovasc Thorac Surg. 2025 Jul 3;40(7). doi: 10.1093/icvts/ivaf155.
3
Inheritance of Imaging Parameters of Arrhythmic Risk in Mitral Valve Prolapse: A Pedigree Study.
Circ Cardiovasc Imaging. 2025 Jan;18(1):e017051. doi: 10.1161/CIRCIMAGING.124.017051. Epub 2025 Jan 7.
4
Mitral annular disjunction and mitral valve prolapse: long-term risk of ventricular arrhythmias after surgery.
Eur Heart J. 2025 Jul 21;46(28):2795-2805. doi: 10.1093/eurheartj/ehaf195.
7
Characteristics of Patients With the Arrhythmogenic Mitral Valve Prolapse Syndrome and Sudden Cardiac Arrest and Sustained Ventricular Arrhythmias.
Circ Arrhythm Electrophysiol. 2025 Mar;18(3):e013099. doi: 10.1161/CIRCEP.124.013099. Epub 2025 Feb 20.
8
Mitral annular disjunction and mitral valve prolapse extrapolating adult data to an adolescent cohort?
Curr Opin Cardiol. 2024 Jul 1;39(4):340-347. doi: 10.1097/HCO.0000000000001141. Epub 2024 Apr 8.
9
Mitral annular disjunction in patients with primary severe mitral regurgitation and mitral valve prolapse.
Echocardiography. 2020 Nov;37(11):1716-1722. doi: 10.1111/echo.14896. Epub 2020 Oct 22.

本文引用的文献

1
Mitral Annular Disjunction in the Context of Mitral Valve Prolapse: Identifying the At-Risk Patient.
JACC Cardiovasc Imaging. 2024 Oct;17(10):1229-1245. doi: 10.1016/j.jcmg.2024.03.006. Epub 2024 May 1.
2
New Kid on the Block: Double-Peak Strain Pattern in Arrhythmic Mitral Valve Prolapse.
Circ Cardiovasc Imaging. 2023 Apr;16(4):e015397. doi: 10.1161/CIRCIMAGING.123.015397. Epub 2023 Apr 18.
3
Morphology of Mitral Annular Disjunction in Mitral Valve Prolapse.
J Am Soc Echocardiogr. 2022 Feb;35(2):176-186. doi: 10.1016/j.echo.2021.09.002. Epub 2021 Sep 8.
4
Cardiovascular Screening in the U.S. Military: Time to Reconsider the Electrocardiogram.
Mil Med. 2020 Aug 14;185(7-8):e1039-e1045. doi: 10.1093/milmed/usaa002.
5
Mitral Valve Prolapse, Ventricular Arrhythmias, and Sudden Death.
Circulation. 2019 Sep 10;140(11):952-964. doi: 10.1161/CIRCULATIONAHA.118.034075. Epub 2019 Sep 9.
6
Prevalence and Clinical Outcome of Athletes With Mitral Valve Prolapse.
Circulation. 2018 May 8;137(19):2080-2082. doi: 10.1161/CIRCULATIONAHA.117.033395.
7
Sudden cardiac death associated with physical exertion in the US military, 2005-2010.
Br J Sports Med. 2016 Jan;50(2):118-23. doi: 10.1136/bjsports-2015-094900. Epub 2015 Nov 26.
8
Arrhythmic Mitral Valve Prolapse and Sudden Cardiac Death.
Circulation. 2015 Aug 18;132(7):556-66. doi: 10.1161/CIRCULATIONAHA.115.016291. Epub 2015 Jul 9.
9
Sudden death in young adults: an autopsy-based series of a population undergoing active surveillance.
J Am Coll Cardiol. 2011 Sep 13;58(12):1254-61. doi: 10.1016/j.jacc.2011.01.049.
10
Efficacy of echocardiographic screening of pilot applicants.
Aviat Space Environ Med. 2008 May;79(5):514-7. doi: 10.3357/asem.2156.2008.

文献AI研究员

20分钟写一篇综述,助力文献阅读效率提升50倍。

立即体验

用中文搜PubMed

大模型驱动的PubMed中文搜索引擎

马上搜索

文档翻译

学术文献翻译模型,支持多种主流文档格式。

立即体验