Suppr超能文献

在乳腺筛查钼靶检查中偶然发现罕见的转移性基底细胞癌。

Incidental detection of rare metastatic basal cell carcinoma on screening mammography.

作者信息

DiTommaso Alexandra, Mangone Ciera, Cimino-Mathews Ashley, Panigrahi Babita

机构信息

Department of Radiology, Johns Hopkins School of Medicine, 601 N. Caroline St., Baltimore, MD 21287, USA.

Department of Pathology, Johns Hopkins School of Medicine, 401 N. Broadway St., Baltimore, MD 21287, USA.

出版信息

Radiol Case Rep. 2025 Sep 2;20(11):5769-5773. doi: 10.1016/j.radcr.2025.08.015. eCollection 2025 Nov.

Abstract

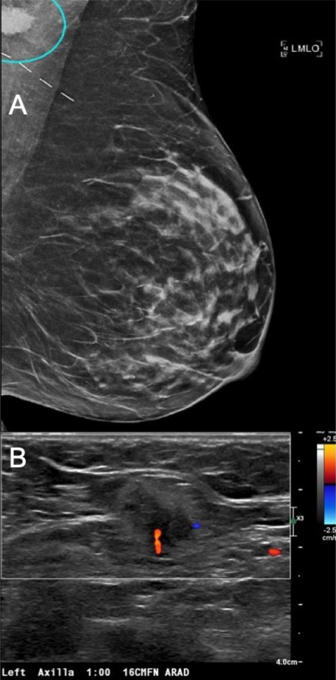
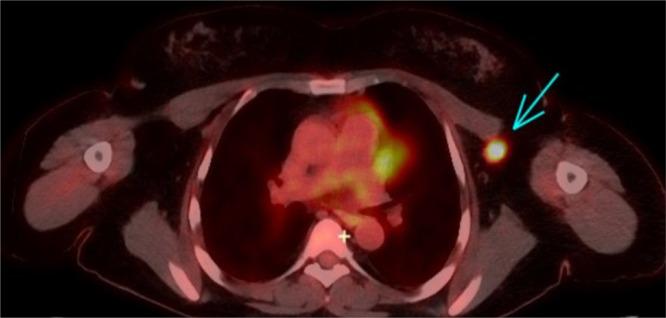
Basal cell carcinoma (BCC) is the most common nonmelanoma skin cancer but rarely metastasizes, with an estimated metastatic rate of 0.1%. Metastatic spread to axillary lymph nodes is extremely uncommon, and to our knowledge, no prior cases have reported incidental detection on screening mammography. We report the case of a 48-year-old Caucasian female with a history of renal transplants, chronic immunosuppression, and multiple biopsy-confirmed BCCs and cutaneous squamous cell carcinomas who presented with a new axillary mass incidentally found on screening mammography. Final pathology following axillary lymph node dissection revealed metastatic BCC. This case illustrates the diagnostic complexity of axillary masses found on screening mammography and underscores the need for vigilant evaluation of BCC metastases in immunosuppressed patients. It highlights the diagnostic limitations of imaging and core biopsy in distinguishing BCC from cutaneous squamous cell carcinomas or metastatic breast carcinoma. Given the poor prognosis of metastatic BCC, this report supports more proactive imaging strategies in high-risk individuals and emphasizes the need for further research into optimal management.

摘要

基底细胞癌(BCC)是最常见的非黑色素瘤皮肤癌,但很少发生转移,估计转移率为0.1%。转移至腋窝淋巴结极为罕见,据我们所知,此前尚无在乳腺钼靶筛查时偶然发现转移的病例报道。我们报告一例48岁的白种女性,有肾移植、慢性免疫抑制病史,且经多次活检确诊患有基底细胞癌和皮肤鳞状细胞癌,其在乳腺钼靶筛查时偶然发现腋窝有一新肿块。腋窝淋巴结清扫术后的最终病理显示为转移性基底细胞癌。该病例说明了乳腺钼靶筛查时发现腋窝肿块的诊断复杂性,并强调了对免疫抑制患者基底细胞癌转移进行警惕性评估的必要性。它突出了影像学检查和粗针活检在区分基底细胞癌与皮肤鳞状细胞癌或转移性乳腺癌方面的诊断局限性。鉴于转移性基底细胞癌预后较差,本报告支持对高危个体采取更积极的影像学策略,并强调需要进一步研究最佳治疗方案。

https://cdn.ncbi.nlm.nih.gov/pmc/blobs/8c43/12433477/fdf952068e05/gr1.jpg

文献检索

告别复杂PubMed语法,用中文像聊天一样搜索,搜遍4000万医学文献。AI智能推荐,让科研检索更轻松。

立即免费搜索

文件翻译

保留排版,准确专业,支持PDF/Word/PPT等文件格式,支持 12+语言互译。

免费翻译文档

深度研究

AI帮你快速写综述,25分钟生成高质量综述,智能提取关键信息,辅助科研写作。

立即免费体验