Suppr超能文献

了解患有间质性肺病的吸烟者的肺囊性病变:放射学与病理学的相关性

Understanding cystic lung lesions in smokers with interstitial lung disease: radiologic-pathological correlation.

作者信息

Arenas-Jiménez Juan José, Aranda Ignacio, Shalygina Svetlana, Alenda Cristina, Ferrandez-Ferrandez David, García-Garrigós Elena

机构信息

Department of Radiology, Hospital General Universitario Dr. Balmis de Alicante, Alicante, Spain.

Alicante Institute for Health and Biomedical Research (ISABIAL), Alicante, Spain.

出版信息

Insights Imaging. 2025 Sep 17;16(1):196. doi: 10.1186/s13244-025-02074-7.

Abstract

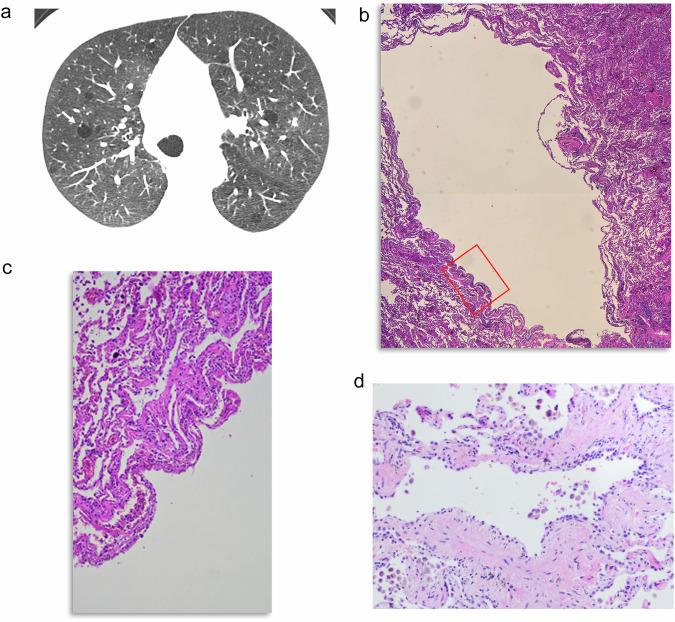
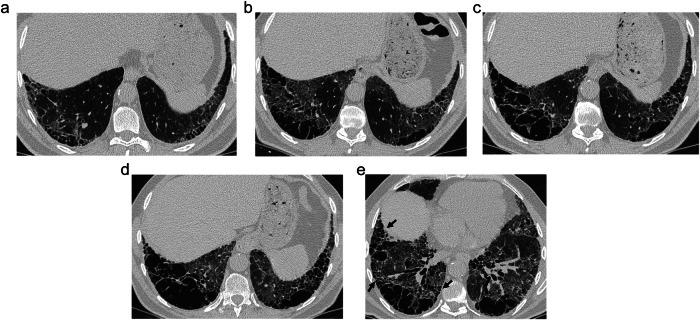
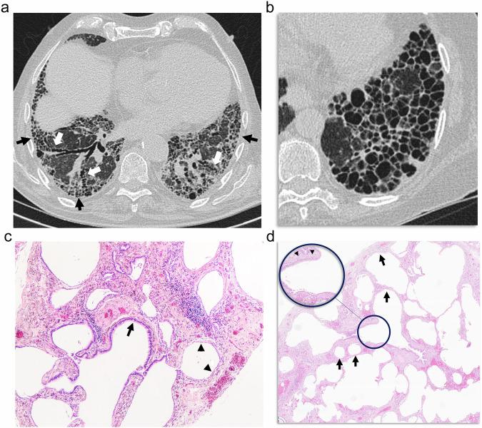
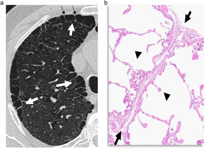
Due to destructive, fibrotic, and remodeling mechanisms, we can find a varied constellation of aerated and cystic lung lesions in smoker patients with interstitial lung disease that pose a diagnostic challenge for both radiologists and pathologists. Radiologic terminology used for cystic lung lesions in smokers is varied and sometimes confusing, and the same applies to their pathologic correlation, with different names for similar findings. Moreover, there is substantial overlap among different cystic lesions in both radiology and pathology. Ultimately, the diagnosis of a given type of cyst may lead to a wrong diagnosis with important clinical implications. In this setting, the goals of this article are to present a diagnostic approach to these lesions by correlating radiologic findings with pathology and describing a series of radiologic characteristics of these lesions, which we have called "the four S of cystic lung lesions in smokers" for size, site, shape, and surrounding of the lesions. We will define the clue radiological findings of centrilobular emphysema, paraseptal emphysema, thin-walled cysts, traction emphysema, honeycombing, smoking-related diffuse cystic lung disease, cysts in Langerhans cell histiocytosis, and cystic lesions appearing in desquamative interstitial pneumonia and we will try to show a correlation of each of these lesions with pathology for a better understanding of radiological findings. Finally, we will deal with fibrosing lung diseases and cystic lung lesions in smokers, specifically with smoking-related interstitial fibrosis and its pathological variants, and with usual interstitial pneumonia, whose prognosis is strikingly different. CRITICAL RELEVANCE STATEMENT: Knowledge of the pathological correlation of the different cystic lesions that appear in smokers with interstitial lung disease permits a better understanding of their radiological manifestations. KEY POINTS: Interstitial lung disease in smokers is characterized by varied cystic lung lesions. Cystic lesions are characterized by their size, site, shape, and surroundings. Cystic lesions in smokers may help to characterize the underlying fibrosing disease.

摘要

由于存在破坏、纤维化和重塑机制,我们在患有间质性肺病的吸烟患者中可发现多种不同类型的含气和囊性肺病变,这给放射科医生和病理科医生都带来了诊断挑战。用于描述吸烟患者囊性肺病变的放射学术语多种多样,有时令人困惑,其病理相关性也是如此,相似的表现有不同的名称。此外,不同的囊性病变在放射学和病理学上都有大量重叠。最终,对某一特定类型囊肿的诊断可能会导致错误诊断,产生重要的临床影响。在此背景下,本文的目的是通过将放射学表现与病理学相关联,提出针对这些病变的诊断方法,并描述这些病变的一系列放射学特征,我们将其称为“吸烟患者囊性肺病变的四个S”,即病变的大小、位置、形态和周围情况。我们将定义小叶中心型肺气肿、间隔旁肺气肿、薄壁囊肿、牵拉性肺气肿、蜂窝肺、吸烟相关弥漫性囊性肺疾病、朗格汉斯细胞组织细胞增多症中的囊肿以及脱屑性间质性肺炎中出现的囊性病变的关键放射学表现,并试图展示这些病变与病理学的相关性,以便更好地理解放射学表现。最后,我们将探讨吸烟患者的纤维化性肺病和囊性肺病变,特别是与吸烟相关的间质性纤维化及其病理变体,以及预后截然不同的普通间质性肺炎。关键相关性声明:了解吸烟合并间质性肺病患者出现的不同囊性病变的病理相关性有助于更好地理解其放射学表现。关键点:吸烟患者的间质性肺病以多种囊性肺病变为特征。囊性病变以其大小、位置、形态和周围情况为特征。吸烟患者的囊性病变可能有助于明确潜在的纤维化疾病。

https://cdn.ncbi.nlm.nih.gov/pmc/blobs/d0e5/12443667/747445ce737a/13244_2025_2074_Fig1_HTML.jpg

文献AI研究员

20分钟写一篇综述,助力文献阅读效率提升50倍。

立即体验

用中文搜PubMed

大模型驱动的PubMed中文搜索引擎

马上搜索

文档翻译

学术文献翻译模型,支持多种主流文档格式。

立即体验