Suppr超能文献

不明飞行物:一例感染性左心耳血栓作为耐甲氧西林金黄色葡萄球菌持续菌血症病灶

Unidentified Flying Objects: An Infected Left Atrial Appendage Thrombus as a Nidus for Persistent Methicillin-Resistant Staphylococcus aureus Bacteremia.

作者信息

Hemstreet Mason, Carlyle Jackson, Hancock Warren S, Campos Seegers Celia, Cantley Bradley W

机构信息

Department of Research, Edward Via College of Osteopathic Medicine, Auburn, USA.

Department of Family Medicine, Edward Via College of Osteopathic Medicine, Auburn, USA.

出版信息

Cureus. 2025 Aug 18;17(8):e90387. doi: 10.7759/cureus.90387. eCollection 2025 Aug.

Abstract

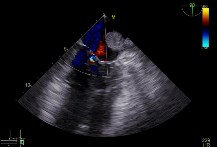
Infections of intracardiac thrombi are exceptionally rare but pose significant clinical risks, especially when located in the left atrial appendage (LAA). We present a unique case of a 51-year-old male with multiple comorbidities who was found to have an infected LAA thrombus causing persistent methicillin-resistant (MRSA) bacteremia and systemic symptoms. Initial presentation included altered mental status, diabetic ketoacidosis, and classic signs of endocarditis such as splinter hemorrhages. Transesophageal echocardiogram imaging revealed a thrombus in the LAA, which was later confirmed to be infected and was acting as a nidus for sepsis. Surgical intervention and targeted antibiotic therapy led to clinical improvement. This case highlights the need for heightened clinical suspicion and a multidisciplinary approach when managing unexplained bacteremia, particularly in patients with known thrombotic risk factors. It also underscores the rare but significant potential for cardiac thrombi to become secondarily infected, warranting further study into diagnostic and therapeutic strategies.

摘要

心内血栓感染极为罕见,但会带来重大临床风险,尤其是位于左心耳(LAA)时。我们报告了一例独特病例,一名51岁男性,患有多种合并症,发现其左心耳血栓感染,导致持续性耐甲氧西林金黄色葡萄球菌(MRSA)菌血症和全身症状。初始表现包括精神状态改变、糖尿病酮症酸中毒以及心内膜炎的典型体征,如瘀点出血。经食管超声心动图成像显示左心耳有血栓,后来证实已感染,并成为败血症的病灶。手术干预和针对性抗生素治疗使临床症状得到改善。该病例强调,在处理不明原因菌血症时,尤其是对于有已知血栓形成危险因素的患者,需要提高临床怀疑度并采取多学科方法。它还凸显了心脏血栓继发感染虽罕见但具有重大可能性,值得进一步研究诊断和治疗策略。

https://cdn.ncbi.nlm.nih.gov/pmc/blobs/9e1f/12442511/dca00c2aaf4d/cureus-0017-00000090387-i01.jpg

文献检索

告别复杂PubMed语法,用中文像聊天一样搜索,搜遍4000万医学文献。AI智能推荐,让科研检索更轻松。

立即免费搜索

文件翻译

保留排版,准确专业,支持PDF/Word/PPT等文件格式,支持 12+语言互译。

免费翻译文档

深度研究

AI帮你快速写综述,25分钟生成高质量综述,智能提取关键信息,辅助科研写作。

立即免费体验