• 文献检索
  • 文档翻译
  • 深度研究
  • 学术资讯
  • Suppr Zotero 插件Zotero 插件
  • 邀请有礼
  • 套餐&价格
  • 历史记录
应用&插件
Suppr Zotero 插件Zotero 插件浏览器插件Mac 客户端Windows 客户端微信小程序
定价
高级版会员购买积分包购买API积分包
服务
文献检索文档翻译深度研究API 文档MCP 服务
关于我们
关于 Suppr公司介绍联系我们用户协议隐私条款
关注我们

Suppr 超能文献

核心技术专利:CN118964589B侵权必究
粤ICP备2023148730 号-1Suppr @ 2026

文献检索

告别复杂PubMed语法,用中文像聊天一样搜索,搜遍4000万医学文献。AI智能推荐,让科研检索更轻松。

立即免费搜索

文件翻译

保留排版,准确专业,支持PDF/Word/PPT等文件格式,支持 12+语言互译。

免费翻译文档

深度研究

AI帮你快速写综述,25分钟生成高质量综述,智能提取关键信息,辅助科研写作。

立即免费体验

一例罕见双侧卵巢混合性生殖细胞肿瘤的诊断与治疗:病例报告

Diagnosis and management of a rare bilateral ovarian mixed germ cell tumor: a case report.

作者信息

Li Xuanling, You Min, Zhang Xiaoyun, Wei Jingjing, Lin Guangyao, Tang Qianjue, Xu Lianwei

机构信息

Department of Gynecology, Longhua Hospital, Shanghai University of Traditional Chinese Medicine, Shanghai, China.

Department of Pathology, Longhua Hospital, Shanghai University of Traditional Chinese Medicine, Shanghai, China.

出版信息

Front Oncol. 2025 Sep 12;15:1504231. doi: 10.3389/fonc.2025.1504231. eCollection 2025.

DOI:10.3389/fonc.2025.1504231
PMID:41018086
原文链接:https://pmc.ncbi.nlm.nih.gov/articles/PMC12463601/
Abstract

BACKGROUND

Mixed ovarian malignant germ cell tumors (MOGCTs) are rare neoplasms composed of two or more malignant germ cell components, representing less than 1% of all ovarian germ cell tumors. They primarily affect adolescents and young women, presenting a clinical challenge due to their histologic heterogeneity, potential for recurrence, and the need to balance oncologic safety with fertility preservation.

CASE PRESENTATION

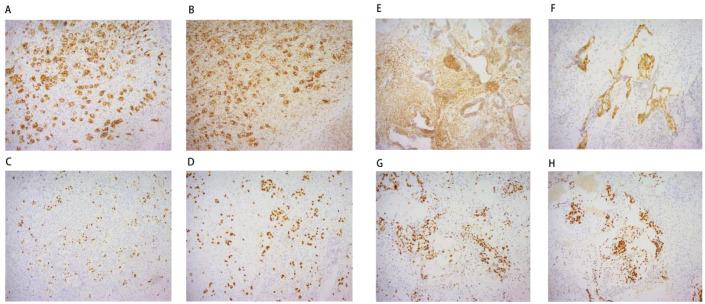
We reported a 22-year-old woman diagnosed with a four-component MOGCT in the right ovary-comprising yolk sac tumor, immature teratoma, embryonal carcinoma, and dysgerminoma-along with a dysgerminoma component in the left ovary. Considering her age and fertility desire, fertility-sparing surgery was performed, followed by adjuvant BEP chemotherapy. At 12-month follow-up, the patient remained disease-free with regular menstruation and no signs of recurrence.

CONCLUSION

This case highlights the feasibility of fertility-sparing treatment in patients with complex bilateral MOGCTs. Given the rarity and histological diversity of such tumors, individualized treatment planning, strict staging, and long-term surveillance are essential to optimize clinical outcomes and preserve reproductive potential.

摘要

背景

混合性卵巢恶性生殖细胞肿瘤(MOGCTs)是由两种或更多种恶性生殖细胞成分组成的罕见肿瘤,占所有卵巢生殖细胞肿瘤的比例不到1%。它们主要影响青少年和年轻女性,由于其组织学异质性、复发可能性以及在肿瘤安全性与生育力保留之间取得平衡的必要性,带来了临床挑战。

病例报告

我们报告了一名22岁女性,其右侧卵巢被诊断为包含卵黄囊瘤、未成熟畸胎瘤、胚胎癌和无性细胞瘤的四成分MOGCT,同时左侧卵巢有一个无性细胞瘤成分。考虑到她的年龄和生育意愿,实施了保留生育功能的手术,随后进行了辅助性BEP化疗。在12个月的随访中,患者疾病无复发,月经规律,无复发迹象。

结论

该病例突出了对复杂双侧MOGCT患者进行保留生育功能治疗的可行性。鉴于此类肿瘤的罕见性和组织学多样性,个体化的治疗计划、严格的分期以及长期监测对于优化临床结局和保留生殖潜能至关重要。

https://cdn.ncbi.nlm.nih.gov/pmc/blobs/4395/12463601/eaae6767d55a/fonc-15-1504231-g004.jpg
https://cdn.ncbi.nlm.nih.gov/pmc/blobs/4395/12463601/c5414ec2d3dd/fonc-15-1504231-g001.jpg
https://cdn.ncbi.nlm.nih.gov/pmc/blobs/4395/12463601/ffd2b28915e5/fonc-15-1504231-g002.jpg
https://cdn.ncbi.nlm.nih.gov/pmc/blobs/4395/12463601/3a72a8681e6c/fonc-15-1504231-g003.jpg
https://cdn.ncbi.nlm.nih.gov/pmc/blobs/4395/12463601/eaae6767d55a/fonc-15-1504231-g004.jpg
https://cdn.ncbi.nlm.nih.gov/pmc/blobs/4395/12463601/c5414ec2d3dd/fonc-15-1504231-g001.jpg
https://cdn.ncbi.nlm.nih.gov/pmc/blobs/4395/12463601/ffd2b28915e5/fonc-15-1504231-g002.jpg
https://cdn.ncbi.nlm.nih.gov/pmc/blobs/4395/12463601/3a72a8681e6c/fonc-15-1504231-g003.jpg
https://cdn.ncbi.nlm.nih.gov/pmc/blobs/4395/12463601/eaae6767d55a/fonc-15-1504231-g004.jpg

相似文献

1
Diagnosis and management of a rare bilateral ovarian mixed germ cell tumor: a case report.一例罕见双侧卵巢混合性生殖细胞肿瘤的诊断与治疗:病例报告
Front Oncol. 2025 Sep 12;15:1504231. doi: 10.3389/fonc.2025.1504231. eCollection 2025.
2
Vesicoureteral Reflux膀胱输尿管反流
3
Management of bilateral malignant ovarian germ cell tumors: a MITO-9 retrospective study.双侧恶性卵巢生殖细胞肿瘤的管理:一项MITO-9回顾性研究
Int J Gynecol Cancer. 2015 Feb;25(2):203-7. doi: 10.1097/IGC.0000000000000358.
4
Prescription of Controlled Substances: Benefits and Risks管制药品的处方:益处与风险
5
Effectiveness of different treatment modalities for the management of adult-onset granulosa cell tumours of the ovary (primary and recurrent).不同治疗方式对成人卵巢颗粒细胞瘤(原发性和复发性)治疗的有效性
Cochrane Database Syst Rev. 2014 Apr 21;2014(4):CD006912. doi: 10.1002/14651858.CD006912.pub2.
6
Outcome and risk factors for recurrence in malignant ovarian germ cell tumors: a MITO-9 retrospective study.恶性卵巢生殖细胞肿瘤的结局和复发因素:MITO-9 回顾性研究。
Int J Gynecol Cancer. 2011 Nov;21(8):1414-21. doi: 10.1097/IGC.0b013e3182236582.
7
Chemotherapy for malignant germ cell ovarian cancer in adult patients with early stage, advanced and recurrent disease.成年早期、晚期及复发性恶性卵巢生殖细胞癌患者的化疗。
Cochrane Database Syst Rev. 2011 Mar 16;2011(3):CD007584. doi: 10.1002/14651858.CD007584.pub2.
8
Mid Forehead Brow Lift额中眉提升术
9
Salzmanns Nodular Corneal Degeneration萨尔茨曼结节状角膜变性
10
A Rare Case of Malignant Ovarian Germ Cell Tumor: Dysgerminoma and Seminoma in the Same Patient.一例罕见的恶性卵巢生殖细胞肿瘤:同一患者同时患有无性细胞瘤和精原细胞瘤。
Reports (MDPI). 2023 Mar 3;6(1):14. doi: 10.3390/reports6010014.

本文引用的文献

1
Reproductive outcomes after conservative treatment in early and advanced stage MOGCTs.早期和晚期 MO-GCT 保守治疗后的生殖结局。
Gynecol Oncol. 2024 Feb;181:28-32. doi: 10.1016/j.ygyno.2023.11.023. Epub 2023 Dec 16.
2
The Polyvalent Role of CD30 for Cancer Diagnosis and Treatment.CD30 在癌症诊断和治疗中的多效作用。
Cells. 2023 Jul 5;12(13):1783. doi: 10.3390/cells12131783.
3
Immature Teratoma: Diagnosis and Management-A Review of the Literature.未成熟畸胎瘤:诊断与管理——文献综述
Diagnostics (Basel). 2023 Apr 23;13(9):1516. doi: 10.3390/diagnostics13091516.
4
Fertility sparing surgery in malignant ovarian Germ cell tumor (MOGCT): 15 years experiences.保留生育功能的恶性卵巢生殖细胞肿瘤(MOGCT)手术:15 年经验。
BMC Womens Health. 2021 Aug 4;21(1):282. doi: 10.1186/s12905-021-01437-8.
5
Misleading Diagnosis of Dysgerminoma in a Young Asymptomatic Patient.年轻无症状患者的卵黄囊瘤误诊。
Kathmandu Univ Med J (KUMJ). 2020;18(72):425-427.
6
Analysis of the genomic landscape of yolk sac tumors reveals mechanisms of evolution and chemoresistance.分析卵黄囊瘤的基因组图谱揭示了其进化和化疗耐药的机制。
Nat Commun. 2021 Jun 11;12(1):3579. doi: 10.1038/s41467-021-23681-0.
7
Ovarian yolk sac tumor.卵巢卵黄囊瘤。
Int J Gynecol Cancer. 2021 May;31(5):797-798. doi: 10.1136/ijgc-2021-002538.
8
Clinicopathological Features, Prognostic Factors, Survival Trends, and Treatment of Malignant Ovarian Germ Cell Tumors: A SEER Database Analysis.恶性卵巢生殖细胞肿瘤的临床病理特征、预后因素、生存趋势和治疗:SEER 数据库分析。
Oncol Res Treat. 2021;44(4):145-153. doi: 10.1159/000509189. Epub 2021 Mar 11.
9
Ovarian Cancer, Version 2.2020, NCCN Clinical Practice Guidelines in Oncology.卵巢癌临床实践指南(2020 年第 2 版),NCCN 肿瘤学临床实践指南
J Natl Compr Canc Netw. 2021 Feb 2;19(2):191-226. doi: 10.6004/jnccn.2021.0007.
10
Reproductive outcomes following fertility-sparing surgery for malignant ovarian germ cell tumors: A systematic review of the literature.保留生育功能的手术治疗恶性卵巢生殖细胞肿瘤的生殖结局:文献系统评价。
Gynecol Oncol. 2020 Aug;158(2):476-483. doi: 10.1016/j.ygyno.2020.05.036. Epub 2020 Jun 5.