Suppr超能文献

Sleeper Wire: A Case of Late Subcutaneous Migration of a Fractured Sternal Closure Cable 12 Years After Coronary Artery Bypass Graft.

作者信息

George Ps Benjoe, Nair Sabarish, Chandra Subhash, Micka Rohik, Pk Vasant

机构信息

Internal Medicine, Amrita Institute of Medical Sciences, Kochi, IND.

Emergency Medicine, Amrita Institute of Medical Sciences, Kochi, IND.

出版信息

Cureus. 2025 Aug 24;17(8):e90915. doi: 10.7759/cureus.90915. eCollection 2025 Aug.

Abstract

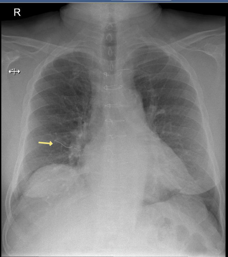
Sternal wire displacement is a rare but important postoperative complication following median sternotomy, commonly performed during cardiothoracic surgeries, such as coronary artery bypass grafting (CABG). While wire breakage and migration are known, migration into the deep subcutaneous plane without involvement of intravascular or muscular structures is extremely uncommon. We report a 71-year-old male with a history of triple vessel disease status post CABG 12 years prior, presenting with acute dyspnea. Imaging revealed pulmonary edema and an incidental finding of a migrated sternal wire in the deep subcutaneous plane anterior to the pectoralis major. Serial chest X-rays demonstrated gradual disruption and migration of the lowermost sternal wire over several years. The patient remains asymptomatic regarding the wire migration and is being managed conservatively with regular follow-up. This case highlights an unusual presentation of sternal wire migration confined to the subcutaneous plane, emphasizing the importance of long-term radiological surveillance in post-sternotomy patients. Although often asymptomatic, displaced sternal wires may pose significant risks, necessitating individualized management strategies. Conservative monitoring with periodic imaging is a reasonable approach when the patient is asymptomatic and the wire is stable.

摘要
https://cdn.ncbi.nlm.nih.gov/pmc/blobs/2903/12460196/00b182b10fd5/cureus-0017-00000090915-i01.jpg

本文引用的文献

1
Poststernotomy Imaging: Pictorial Review of Expected Postsurgical Findings and Complications.
Radiographics. 2025 May;45(5):e240144. doi: 10.1148/rg.240144.
2
Patient-Related Progression of Steeper Sternal Wire Angles: A Case Report.
Cureus. 2024 Oct 12;16(10):e71324. doi: 10.7759/cureus.71324. eCollection 2024 Oct.
3
A radiologist's guide to median sternotomy.
Clin Radiol. 2024 Jan;79(1):33-40. doi: 10.1016/j.crad.2023.10.023. Epub 2023 Nov 10.
4
Migrated fractured sternal wire in proximity to the main pulmonary artery: Case report and review.
J Card Surg. 2020 Mar;35(3):692-695. doi: 10.1111/jocs.14433. Epub 2020 Jan 16.
5
A runaway sternal wire: A rare case and outcome of sternal wire intravascular embolization.
J Cardiol Cases. 2016 Jun 14;14(4):100-102. doi: 10.1016/j.jccase.2016.05.004. eCollection 2016 Oct.
6
Man With Chest Pain and Lump in Neck.
Ann Emerg Med. 2018 Feb;71(2):169-188. doi: 10.1016/j.annemergmed.2017.08.060. Epub 2018 Feb 5.
7
Risk Factors for Sternal Complications After Cardiac Operations: A Systematic Review.
Ann Thorac Surg. 2016 Dec;102(6):2109-2117. doi: 10.1016/j.athoracsur.2016.05.047. Epub 2016 Aug 21.
8
Unusual cause of intraoperative hemoptysis.
J Card Surg. 2013 Nov;28(6):693-4. doi: 10.1111/jocs.12198. Epub 2013 Aug 12.
9
Traumatic Bilateral Pneumothoraces due to Sternal Wire Migration.
Case Rep Med. 2012;2012:438429. doi: 10.1155/2012/438429. Epub 2012 May 27.
10
Migrated sternal wire into the right ventricle: case report in cardiothoracic surgery.
J Card Surg. 2010 Mar;25(2):161-2. doi: 10.1111/j.1540-8191.2009.00955.x. Epub 2009 Nov 30.

文献AI研究员

20分钟写一篇综述,助力文献阅读效率提升50倍。

立即体验

用中文搜PubMed

大模型驱动的PubMed中文搜索引擎

马上搜索

文档翻译

学术文献翻译模型,支持多种主流文档格式。

立即体验