Suppr超能文献

Simultaneous Osteochondral Fractures of the Medial Patella and Lateral Femoral Condyle Following Lateral Patellar Dislocation: A Case Report.

作者信息

Bolisetti Akhil, Ravi Sreeram, Gallo Robert A

机构信息

Orthopaedics, Penn State College of Medicine, Hershey, USA.

Orthopaedics, Penn State Health Milton S. Hershey Medical Center, Hershey, USA.

出版信息

Cureus. 2025 Aug 27;17(8):e91128. doi: 10.7759/cureus.91128. eCollection 2025 Aug.

Abstract

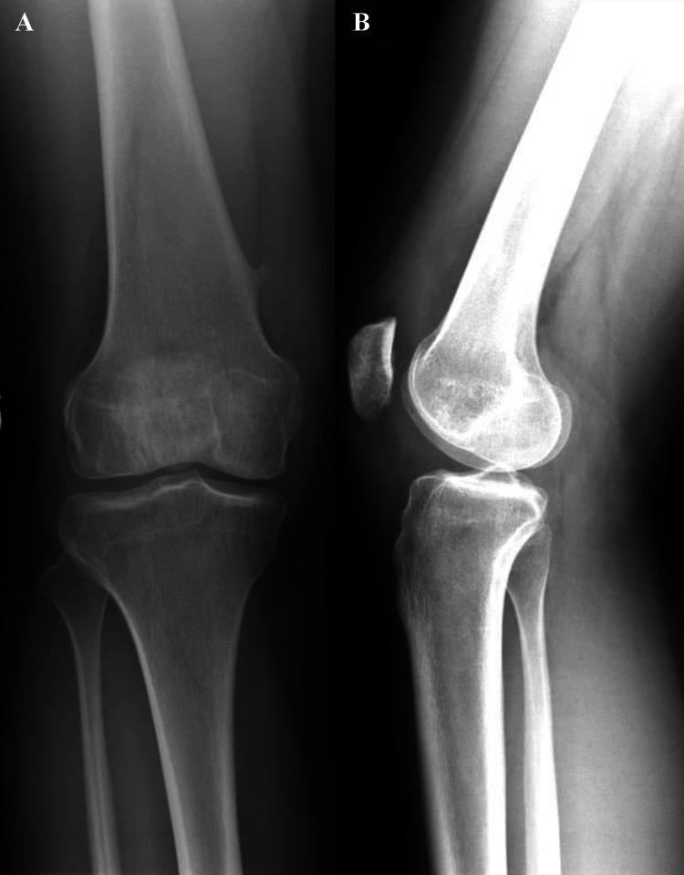
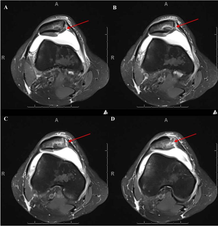
Patellar dislocation most commonly occurs laterally and is associated with underlying anatomical abnormalities such as trochlear dysplasia and patella alta. While osteochondral injuries typically involve the lateral femoral condyle, simultaneous osteochondral fractures of the medial patella and lateral femoral condyle are extremely rare and often under-diagnosed due to subtle imaging findings and spontaneous patellar reduction. The purpose of this report is to highlight a rare injury pattern following lateral patellar dislocation and to emphasize the importance of early diagnosis using advanced imaging to prevent long-term complications. This retrospective case report describes a 22-year-old female patient who presented two weeks after a lateral patellar dislocation with knee pain and limited range of motion. Diagnostic imaging, including CT and MRI, was used to evaluate the extent of injury. The patient underwent surgical intervention consisting of arthroscopic and open fixation of osteochondral fragments using K-wires and ConMed smart nails, along with retinacular release. Postoperative outcomes were monitored over an eight-month period to assess recovery, range of motion, and symptom resolution. Intraoperatively, a large osteochondral fragment was found embedded in the medial patella, matching a defect in the lateral femoral condyle. Fixation was successful. At one-week follow-up, the patient showed improvement in pain and function. By eight months, she regained full range of motion, ligamentous stability, and resolution of symptoms. Simultaneous osteochondral injury to the medial patella and lateral femoral condyle is a rare but significant complication of lateral patellar dislocation. Prompt diagnosis and surgical fixation lead to favorable outcomes.

摘要
https://cdn.ncbi.nlm.nih.gov/pmc/blobs/94f2/12470478/a0d725a5ced1/cureus-0017-00000091128-i01.jpg

相似文献

7
[The treatment of patellar dislocation: a systematic review].
Z Orthop Unfall. 2011 Dec;149(6):630-45. doi: 10.1055/s-0030-1250691. Epub 2011 May 3.
8
Surgical versus non-surgical interventions for treating patellar dislocation.
Cochrane Database Syst Rev. 2023 Jan 24;1(1):CD008106. doi: 10.1002/14651858.CD008106.pub4.
10
[Effectiveness of modified single patellar tunnel medial patella femoral ligament reconstruction for recurrent patellar dislocation].
Zhongguo Xiu Fu Chong Jian Wai Ke Za Zhi. 2025 Jan 15;39(1):20-25. doi: 10.7507/1002-1892.202409002.

本文引用的文献

1
Management of the first episode of traumatic patellar dislocation: an international survey.
Knee Surg Sports Traumatol Arthrosc. 2023 Jun;31(6):2257-2265. doi: 10.1007/s00167-022-07273-z. Epub 2022 Dec 7.
2
Hybrid Treatment of Osteochondral Fracture of the Patella With Particulated Juvenile Cartilage and Fragment Fixation.
Arthrosc Tech. 2022 Jun 14;11(7):e1189-e1193. doi: 10.1016/j.eats.2022.02.030. eCollection 2022 Jul.
5
Medial Patellofemoral Ligament Reconstruction for Adolescents With Acute First-Time Patellar Dislocation With an Associated Loose Body.
Am J Sports Med. 2021 Jul;49(8):2159-2164. doi: 10.1177/03635465211013543. Epub 2021 Jun 7.
6
Characteristics of Osteochondral Fractures Caused by Patellar Dislocation.
Orthop J Sports Med. 2021 Jan 26;9(1):2325967120974649. doi: 10.1177/2325967120974649. eCollection 2021 Jan.
7
Patellofemoral Arthritis After Lateral Patellar Dislocation: A Matched Population-Based Analysis.
Am J Sports Med. 2017 Apr;45(5):1012-1017. doi: 10.1177/0363546516680604. Epub 2016 Dec 22.
8
An Unexpected Complication after Headless Compression Screw Fixation of an Osteochondral Fracture of Patella.
Case Rep Orthop. 2016;2016:7290104. doi: 10.1155/2016/7290104. Epub 2016 Mar 14.
9
Transient patellar dislocation resulting in simultaneous osteochondral fractures of patella and lateral femoral condyle - a case report.
J Clin Diagn Res. 2014 Oct;8(10):LD04-6. doi: 10.7860/JCDR/2014/8857.4944. Epub 2014 Oct 20.
10

文献AI研究员

20分钟写一篇综述,助力文献阅读效率提升50倍。

立即体验

用中文搜PubMed

大模型驱动的PubMed中文搜索引擎

马上搜索

文档翻译

学术文献翻译模型,支持多种主流文档格式。

立即体验