Ward A M
J Clin Pathol. 1972 Feb;25(2):119-22. doi: 10.1136/jcp.25.2.119.
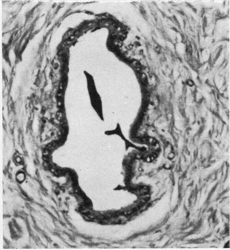
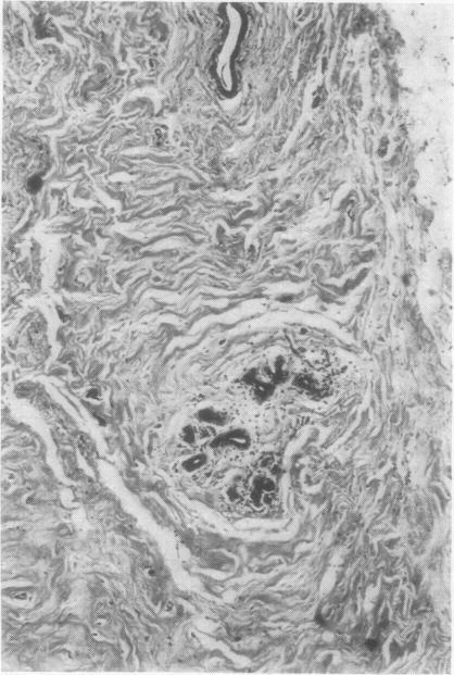
The histological appearances of the breast in a patient with mucoviscidosis are those of complete lobular agenesis. Ducts and ductules are well developed, and there is abundant fibrous tissue giving the breast a normal contour. The appearances are contrasted with those of gynaecomastia, and the aetiology is discussed.
患有黏液黏稠病的患者乳房的组织学表现为完全小叶发育不全。导管和小导管发育良好,有丰富的纤维组织,使乳房具有正常外形。将这些表现与男性乳房发育症的表现进行了对比,并对病因进行了讨论。