Suppr超能文献

两例惠普尔病在临床和形态学上表现出相似性。

Two cases of Whipple's disease showing clinical and morphological similarity.

作者信息

Oliva H, González Campos C, Navarro V, Mogena H H

出版信息

Gut. 1972 Jun;13(6):430-7. doi: 10.1136/gut.13.6.430.

Abstract

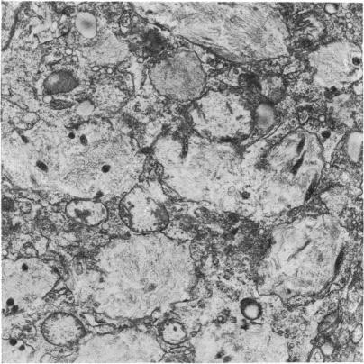
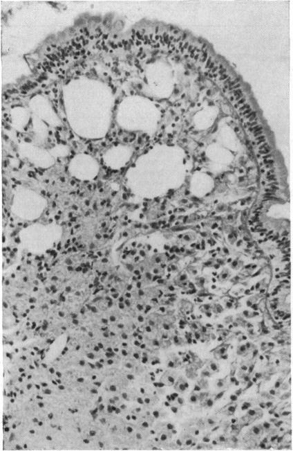
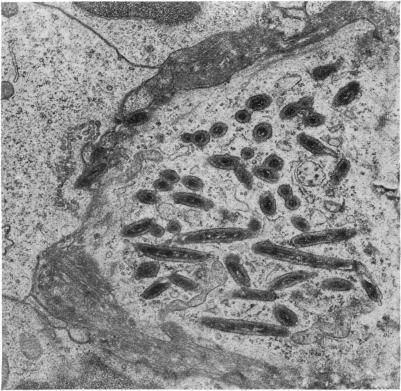
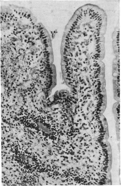
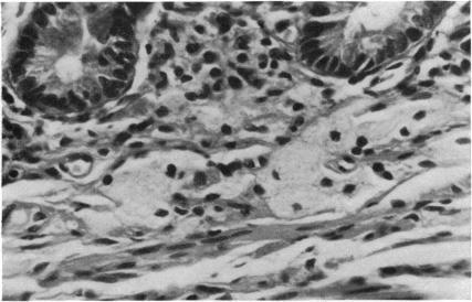
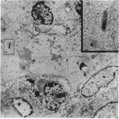
Two cases of Whipple's disease are reported in which a parallel course is confirmed between the clinical and ultrastructural findings. This is not so with light microscopy since it takes much longer for these findings to return to normal. In case 1, the presence of bacilli circulating freely in the sinusoid of a lymph node is described. Case 2 demonstrates the existence of special granulomata formed by atypical macrophage histiocytes which appear in coagulative necrosis together with a closely adherent crown of lymphocytes. Furthermore, these histiocytes have moved towards the deepest part of the lamina propria, and have become dissociated from the muscularis mucosae causing a diverticulosis of the small intestine.

摘要

报告了两例惠普尔病,其临床和超微结构检查结果呈现平行关系。而光学显微镜检查则不然,因为这些结果恢复正常所需时间长得多。病例1描述了杆菌在淋巴结窦中自由循环的情况。病例2显示了由非典型巨噬细胞组织细胞形成的特殊肉芽肿的存在,这些细胞与紧密附着的淋巴细胞冠一起出现在凝固性坏死中。此外,这些组织细胞已向固有层最深部移动,并与黏膜肌层分离,导致小肠憩室形成。

https://cdn.ncbi.nlm.nih.gov/pmc/blobs/a12f/1412205/dcaa16fc10d5/gut00643-0029-a.jpg

文献AI研究员

20分钟写一篇综述,助力文献阅读效率提升50倍。

立即体验

用中文搜PubMed

大模型驱动的PubMed中文搜索引擎

马上搜索

文档翻译

学术文献翻译模型,支持多种主流文档格式。

立即体验