Suppr超能文献

通过免疫荧光法对细胞中铁蛋白的蛋白质亚基进行原位检测。

Detection of protein subunits of ferritin in situ in cells by immunofluorescence.

作者信息

Lee J C, Lee S S, Schlesinger K J, Richter G W

出版信息

Am J Pathol. 1974 Jun;75(3):473-87.

Abstract

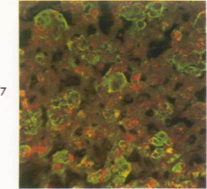
Antisera raised in rabbits against protein subunits of rat liver ferritin contain antibodies (IgG) that precipitate subunits and other antibodies (IgG) that precipitate undissociated ferritin and apoferritin. Removal of the latter antibodies from IgG fractions of immune sera by repeated addition of ferritin leaves antibodies that specifically precipitate subunits. Using these subunit-specific antibodies, we have demonstrated the presence of subunit-positive sites in cells by immunofluorescence. Subunit-positive sites were best demonstrated in rats that had been loaded with iron. These sites were diffusely spread through the cytoplasm of hepatocytes and Kupffer cells in rat livers and of macrophages and fibroblasts in rat livers and hearts. With antibodies to ferritin, the presence of ferritin was demonstrated in the same kinds of cells. Although, by immunofluorescence, the intracellular localization of ferritin-positive and subunit-positive sites was similar, ferritin-positive immunofluorescence was most intense in Prussian blue-positive cytoplasmic granules in which high concentrations of ferritin were presumed to be present on the basis of electron microscopic studies. Our findings can be interpreted to indicate either the presence of unassociated subunits or of fragments of subunits in the cytoplasm of the several kinds of cells studied. It is also possible that partly assembled molecules of ferritin or apoferritin in these cells reacted with subunit-specific antibodies. Subunit-specific antibodies may be useful for localizing sites of assembly of ferritin molecules at the level of cell fine structure and for elucidation of the biosynthesis of ferritin.

摘要

用大鼠肝脏铁蛋白的蛋白质亚基对家兔进行免疫,所产生的抗血清中含有能沉淀亚基的抗体(IgG)以及能沉淀未解离的铁蛋白和脱铁铁蛋白的其他抗体(IgG)。通过反复添加铁蛋白从免疫血清的IgG组分中去除后一种抗体,可得到能特异性沉淀亚基的抗体。利用这些亚基特异性抗体,我们通过免疫荧光法证实了细胞内亚基阳性位点的存在。在已负载铁的大鼠中,亚基阳性位点表现得最为明显。这些位点广泛分布于大鼠肝脏的肝细胞和库普弗细胞的细胞质中,以及大鼠肝脏和心脏的巨噬细胞和成纤维细胞的细胞质中。用抗铁蛋白抗体可在同类型细胞中证实铁蛋白的存在。尽管通过免疫荧光法观察,铁蛋白阳性位点和亚基阳性位点在细胞内的定位相似,但铁蛋白阳性免疫荧光在普鲁士蓝阳性的细胞质颗粒中最为强烈,基于电子显微镜研究推测这些颗粒中存在高浓度的铁蛋白。我们的研究结果可以解释为,在所研究的几种细胞的细胞质中存在未结合的亚基或亚基片段。也有可能这些细胞中铁蛋白或脱铁铁蛋白的部分组装分子与亚基特异性抗体发生了反应。亚基特异性抗体可能有助于在细胞精细结构水平上定位铁蛋白分子的组装位点,并有助于阐明铁蛋白的生物合成过程。

https://cdn.ncbi.nlm.nih.gov/pmc/blobs/1886/1910851/d48d4fe3bdcd/amjpathol00476-0079-a.jpg

文献检索

告别复杂PubMed语法,用中文像聊天一样搜索,搜遍4000万医学文献。AI智能推荐,让科研检索更轻松。

立即免费搜索

文件翻译

保留排版,准确专业,支持PDF/Word/PPT等文件格式,支持 12+语言互译。

免费翻译文档

深度研究

AI帮你快速写综述,25分钟生成高质量综述,智能提取关键信息,辅助科研写作。

立即免费体验