Suppr超能文献

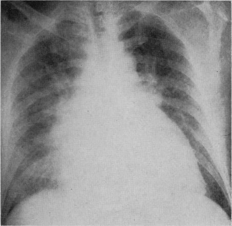
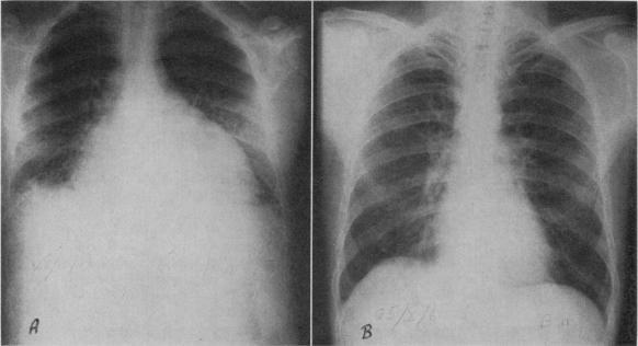
Quebec beer-drinkers' cardiomyopathy: radiological aspects.

作者信息

Lapointe A

出版信息

Can Med Assoc J. 1967 Oct 7;97(15):905-9.

Abstract
摘要
https://cdn.ncbi.nlm.nih.gov/pmc/blobs/160b/1923397/97705739ea62/canmedaj01236-0027-a.jpg

文献AI研究员

20分钟写一篇综述,助力文献阅读效率提升50倍。

立即体验

用中文搜PubMed

大模型驱动的PubMed中文搜索引擎

马上搜索

文档翻译

学术文献翻译模型,支持多种主流文档格式。

立即体验