Suppr超能文献

对高硫酸盐摄入量且组织铜水平正常的患病猪的观察。

Observations on diseased pigs with high sulfate intake and normal tissue copper levels.

作者信息

Jericho K W, Strausz K I, Martin P J

出版信息

Can J Comp Med. 1973 Jul;37(3):228-38.

Abstract

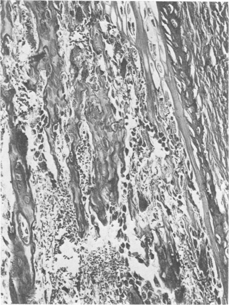
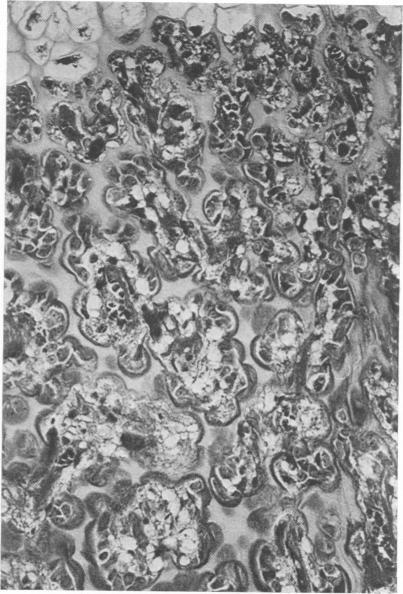
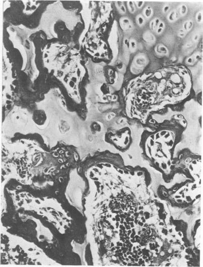
Disease in a large pig herd reared intensively and kept on sulfate-rich drinking water is described. It is the first report of diseased progeny of sows with high sulfate intake. Results of two surveys are presented, one for water with sulfate in excess of 2000 ppm and one for water with less than 1000 ppm. The management practices are described in detail. Disease of Survey I was manifested by high morbidity and mortality (50% of 600) in piglets, incoordination in piglets and some adult stock and osteopathy in piglets and weaners. In Survey II disease was less severe and restricted to piglets. Detailed histopathological studies revealed myelin deficiency in brain and spinal cord of sows and piglets, interferred endochondreal ossification of long bones of piglets and weaners, fatty changes of livers and interstitial nephritis in piglets and weaners. The changes in the nervous tissue were considered due to delayed fixation as tissue was only immersed in fixative and not perfused with it immediately after death. Similar changes have been described for pigs deficient in copper. Copper content of tissue and body fluids of pigs of this study were normal, as were the serum inorganic phosphate and total calcium levels. The bone changes observed have also been reported for rats given dextran sulfate injections, for pigs on experimental low-copper sulfate-enriched diet and for pigs reported low in copper and fed a diet supplemented with sulfide. The cause of the locomotor disturbance and mortality in piglets was not established.

摘要

描述了一个集约化饲养且饮用富含硫酸盐的饮用水的大型猪群中的疾病情况。这是关于高硫酸盐摄入量的母猪后代患病的首次报告。给出了两项调查结果,一项针对硫酸盐含量超过2000 ppm的水,另一项针对硫酸盐含量低于1000 ppm的水。详细描述了管理措施。调查I中的疾病表现为仔猪发病率和死亡率高(600头中有50%),仔猪和一些成年猪出现共济失调,仔猪和断奶仔猪出现骨病。调查II中的疾病较轻,仅局限于仔猪。详细的组织病理学研究显示,母猪和仔猪的脑和脊髓存在髓磷脂缺乏,仔猪和断奶仔猪的长骨软骨内骨化受到干扰,仔猪和断奶仔猪的肝脏出现脂肪变性和间质性肾炎。神经组织的变化被认为是由于固定延迟,因为组织只是浸泡在固定剂中,死后没有立即进行灌注固定。对于缺铜的猪也有类似变化的描述。本研究中猪的组织和体液中的铜含量正常,血清无机磷酸盐和总钙水平也正常。仔猪运动障碍和死亡的原因尚未确定。

https://cdn.ncbi.nlm.nih.gov/pmc/blobs/6536/1319764/f1df549d62a6/compmed00051-0022-a.jpg

文献检索

告别复杂PubMed语法,用中文像聊天一样搜索,搜遍4000万医学文献。AI智能推荐,让科研检索更轻松。

立即免费搜索

文件翻译

保留排版,准确专业,支持PDF/Word/PPT等文件格式,支持 12+语言互译。

免费翻译文档

深度研究

AI帮你快速写综述,25分钟生成高质量综述,智能提取关键信息,辅助科研写作。

立即免费体验