Suppr超能文献

猪实验性水肿病(大肠杆菌肠毒血症)。3. 病理学与发病机制。

Experimental edema disease of swine (E. coli enterotoxemia). 3. Pathology and pathogenesis.

作者信息

Clugston R E, Nielsen N O, Smith D L

出版信息

Can J Comp Med. 1974 Jan;38(1):34-43.

Abstract

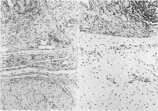
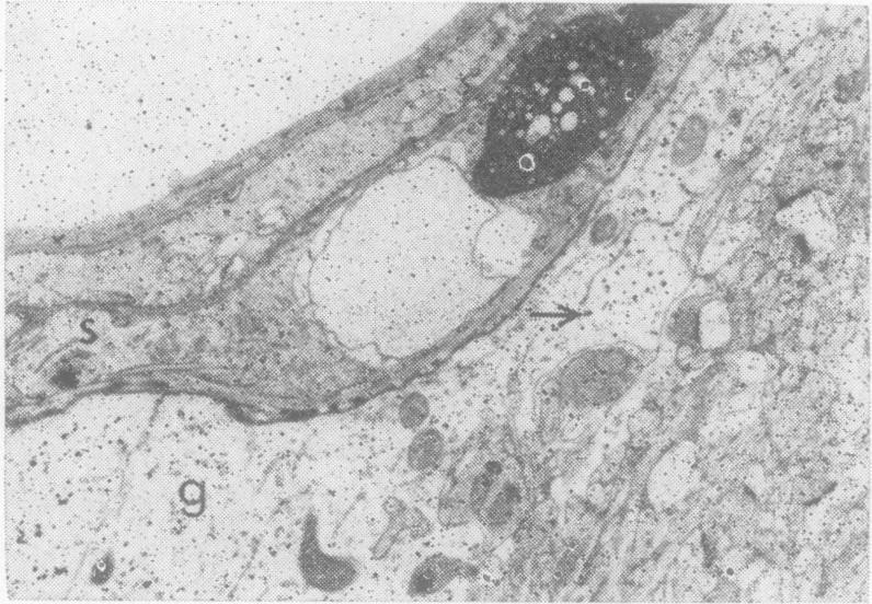
Experimental colibacillary (Escherichia coli) enterotoxemia as described in this report mimics natural edema disease both clinically and in gross pathology. The histopathology is characterized by accumulations of non-inflammatory edema and by arteriopathy. The smaller arterial and arteriolar changes recorded here are similar to those described in natural edema disease. The vascular changes described in recovered cases of experimental colibacillary enterotoxemia concur with those reported in so-called subacute and chronic edema disease. The arteriolar changes that occur in colibacillary enterotoxemia of swine are comparable to those associated with hypertension. Thin sections of cerebral cortex from four pigs with acute experimental edema disease were examined by electron microscopy in an attempt to demonstrate brain edema. Sections from one pig taken during the convulsive phase of disease revealed dilatation of perivascular glial processes. However, examination of sections taken from three other pigs during an earlier phase of the neurological disturbance revealed no significant lesions. We were unable to ascertain the role of brain edema in the pathogenesis of the nervous system disturbance in these experiments.

摘要

本报告中描述的实验性大肠杆菌肠毒血症在临床和大体病理学方面均模拟了自然水肿病。组织病理学特征为非炎性水肿积聚和动脉病变。此处记录的较小动脉和小动脉变化与自然水肿病中描述的变化相似。实验性大肠杆菌肠毒血症康复病例中描述的血管变化与所谓的亚急性和慢性水肿病中报道的变化一致。猪大肠杆菌肠毒血症中发生的小动脉变化与高血压相关的变化相当。对4头患有急性实验性水肿病的猪的大脑皮质薄切片进行了电子显微镜检查,试图证明脑水肿。在疾病惊厥期取自1头猪的切片显示血管周围神经胶质细胞突起扩张。然而,对另外3头猪在神经功能障碍早期阶段所取切片的检查未发现明显病变。在这些实验中,我们无法确定脑水肿在神经系统功能障碍发病机制中的作用。

https://cdn.ncbi.nlm.nih.gov/pmc/blobs/609c/1319964/132147beba46/compmed00045-0041-a.jpg

文献检索

告别复杂PubMed语法,用中文像聊天一样搜索,搜遍4000万医学文献。AI智能推荐,让科研检索更轻松。

立即免费搜索

文件翻译

保留排版,准确专业,支持PDF/Word/PPT等文件格式,支持 12+语言互译。

免费翻译文档

深度研究

AI帮你快速写综述,25分钟生成高质量综述,智能提取关键信息,辅助科研写作。

立即免费体验