Suppr超能文献

肾上腺皮质萎缩和弥漫性脑硬化。

Adrenocortical atrophy and diffuse cerebral sclerosis.

作者信息

Forsyth C C, Forbes M, Cumings J N

出版信息

Arch Dis Child. 1971 Jun;46(247):273-84. doi: 10.1136/adc.46.247.273.

Abstract

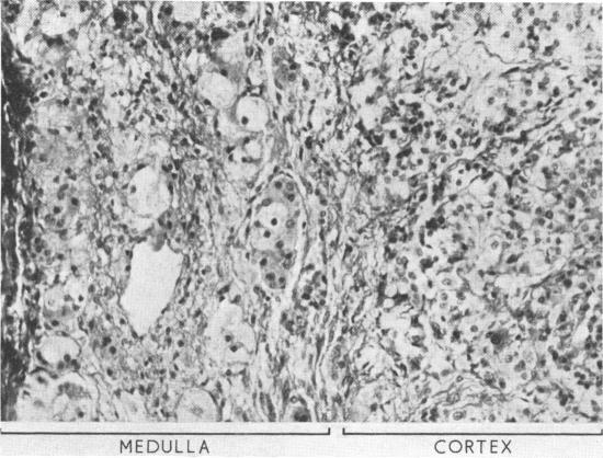
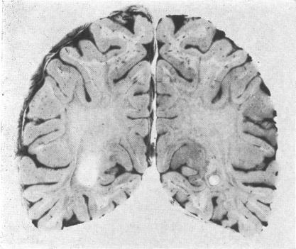
A boy, diagnosed as having Addison's disease due to idiopathic atrophy of the adrenal glands at the age of 7 years, developed the first evidence of what was originally thought to be Schilder's disease' at 8 years and 10 months. He died at 9 years and 11 months. There was a very striking family history of autoimmune disorders on the mother's side. The clinical and pathological aspects of his case are outlined. Detailed studies of adrenal function during life showed a diminution in excretion of adrenal androgens and corticosteroids before therapy which was not evident from the 17-oxosteroid and 17-hydroxycorticosteroid assays in the resting state, though the initial diagnosis was based on the failure of ACTH to produce a rise in the 17-hydroxycorticosteroid excretion. No unusual or abnormal steroids were detected nor was there any disproportion between the androgen and corticosteroid excretion to suggest an adrenal enzyme deficiency. The biochemistry of the brain at necropsy revealed the changes expected in a demyelinating disorder, but the detection of abnormalities in the grey matter distinguished the condition from Schilder's disease' in which the biochemistry of the grey matter is normal. There are 12 fully documented reports of boys with adrenocortical atrophy and diffuse cerebral sclerosis, and it is thought that this rare entity is inherited as an X-linked recessive characteristic. The two likely theories of causation involve either an error of metabolism common to the adrenal cortex and the brain, or the possibility that both the adrenal and brain pathology are due to an autoimmune disorder.

摘要

一名男孩在7岁时因特发性肾上腺萎缩被诊断为患有艾迪生病,在8岁10个月时出现了最初被认为是“席尔德病”的首个症状。他于9岁11个月时死亡。其母系家族有非常显著的自身免疫性疾病家族史。本文概述了该病例的临床和病理情况。生前对肾上腺功能的详细研究表明,治疗前肾上腺雄激素和皮质类固醇的排泄减少,尽管最初的诊断是基于促肾上腺皮质激素未能使17-羟皮质类固醇排泄增加,但在静息状态下的17-氧类固醇和17-羟皮质类固醇检测中并不明显。未检测到异常或异常类固醇,雄激素和皮质类固醇排泄之间也没有任何失衡表明肾上腺酶缺乏。尸检时大脑的生物化学显示出脱髓鞘疾病预期的变化,但灰质中异常的检测将该病症与“席尔德病”区分开来,在“席尔德病”中灰质生物化学是正常的。有12份关于患有肾上腺皮质萎缩和弥漫性脑硬化男孩的充分记录报告,据认为这种罕见病症是作为X连锁隐性特征遗传的。两种可能的病因理论要么涉及肾上腺皮质和大脑共有的代谢错误,要么涉及肾上腺和大脑病变均由自身免疫性疾病引起的可能性。

https://cdn.ncbi.nlm.nih.gov/pmc/blobs/320c/1647695/90e228ebbc63/archdisch00879-0058-a.jpg

相似文献

1
Adrenocortical atrophy and diffuse cerebral sclerosis.
Arch Dis Child. 1971 Jun;46(247):273-84. doi: 10.1136/adc.46.247.273.
3
Adrenocortical atrophy and diffuse cerebral sclerosis (Addison-Schilder's disease).
J Pediatr. 1966 Sep;69(3):406-12. doi: 10.1016/s0022-3476(66)80085-9.
4
Addison's disease and diffuse cerebral sclerosis.
J Neurol Neurosurg Psychiatry. 1969 Aug;32(4):344-7. doi: 10.1136/jnnp.32.4.344.
6
Adrenocortical atrophy and diffuse cerebral sclerosis: biochemical studies.
Arch Dis Child. 1970 Oct;45(243):713. doi: 10.1136/adc.45.243.713-a.
8
Adrenocortical insufficiency and diffuse cerebral sclerosis. Problems of presentation and diagnosis.
J Neurol Sci. 1975 Mar;24(3):305-12. doi: 10.1016/0022-510x(75)90250-6.
9
[Adrenoleukodystrophy (melanodermic leukodystrophy). Report of an anatomo-clinical case].
Arq Neuropsiquiatr. 1979 Jun;37(2):169-79. doi: 10.1590/s0004-282x1979000200008.

引用本文的文献

1
Endocrine dysfunction in adrenoleukodystrophy.
Handb Clin Neurol. 2021;182:257-267. doi: 10.1016/B978-0-12-819973-2.00018-6.
3
Adrenoleucodystrophy: neurophysiological aspects.
J Neurol Neurosurg Psychiatry. 1981 Sep;44(9):781-5. doi: 10.1136/jnnp.44.9.781.
4
Congenital adrenal hyperplasia. Report of a case with neurological complications.
Arch Dis Child. 1973 Jul;48(7):554-9. doi: 10.1136/adc.48.7.554.
5
Investigation of degenerative disease of the central nervous system.
Arch Dis Child. 1972 Apr;47(252):163-70. doi: 10.1136/adc.47.252.163.
8
Letter: Schilder's disease: cholesterol metabolism in cultured fibroblasts.
Arch Dis Child. 1976 Mar;51(3):242-3. doi: 10.1136/adc.51.3.242.
9
Skin and conjunctival biopsies in adrenoleukodystrophy.
Acta Neuropathol. 1977 Jun 15;38(3):247-50. doi: 10.1007/BF00688074.

本文引用的文献

2
The morbid anatomy of the demyelinative disease.
Am J Med. 1952 May;12(5):510-46. doi: 10.1016/0002-9343(52)90234-9.
3
Familial Addison's disease with spastic paraplegia.
J Clin Endocrinol Metab. 1955 Jun;15(6):739-44. doi: 10.1210/jcem-15-6-739.
4
THE CEREBRAL LIPID COMPOSITION OF THE BRAIN IN SIX CASES OF KRABBE'S DISEASE.
Neurology. 1965 Feb;15:177-83. doi: 10.1212/wnl.15.2.177.
5
[ADDISON'S DISEASE AND SCHILDER'S DIFFUSE SCLEROSIS].
Helv Paediatr Acta. 1964 Dec;19:528-55.
6
SUDANOPHILIC LEUKODYSTROPHY AND ADRENAL CORTICAL ATROPHY.
Arch Neurol. 1964 Dec;11:626-31. doi: 10.1001/archneur.1964.00460240058008.
9
Adrenal function in children.
Arch Dis Child. 1963 Feb;38(197):49-53. doi: 10.1136/adc.38.197.49.
10
Diffuse cerebral degeneration in infancy (Alpers' disease).
Arch Dis Child. 1963 Jun;38(199):193-204. doi: 10.1136/adc.38.199.193.

文献AI研究员

20分钟写一篇综述,助力文献阅读效率提升50倍。

立即体验

用中文搜PubMed

大模型驱动的PubMed中文搜索引擎

马上搜索

文档翻译

学术文献翻译模型,支持多种主流文档格式。

立即体验