Suppr超能文献

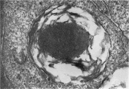
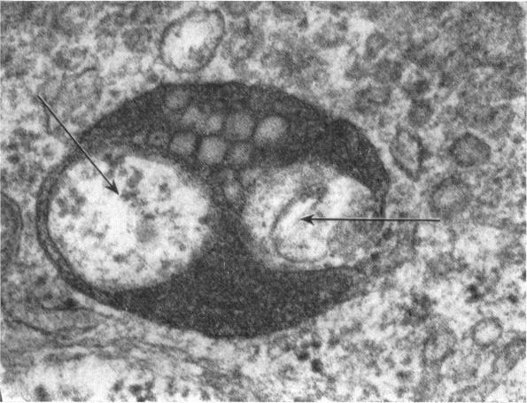
The development of the chick tertiary bronchus. I. General development and the mode of production of the osmiophilic inclusion body.

作者信息

Jones A W, Radnor C J

出版信息

J Anat. 1972 Dec;113(Pt 3):303-24.

Abstract
摘要
https://cdn.ncbi.nlm.nih.gov/pmc/blobs/b4ae/1271405/e562bf2a366e/janat00319-0004-a.jpg

本文引用的文献

1
A morphologic and cytochemical study on the great alveolar cell.
J Histochem Cytochem. 1966 Dec;14(12):884-97. doi: 10.1177/14.12.884.
2
Alveolar epithelial cell mitochondria as source of the surface-active lung lining.
Science. 1962 Sep 7;137(3532):750-1. doi: 10.1126/science.137.3532.750.
4
PULMONARY ALVEOLAR CELL INCLUSIONS: THEIR DEVELOPMENT IN THE RAT.
Science. 1964 Sep 11;145(3637):1192-3. doi: 10.1126/science.145.3637.1192.
6
LAMINATED MEMBRANE SURFACE AND OSMIOPHILIC INCLUSIONS IN AVIAN LUNG EPITHELIUM.
J Cell Biol. 1964 Jan;20(1):157-64. doi: 10.1083/jcb.20.1.157.
8
The ultrastructure of lung tissue from newborn and embryo mice.
J Ultrastruct Res. 1958 Nov;2(1):28-54. doi: 10.1016/s0022-5320(58)90046-7.
9

文献AI研究员

20分钟写一篇综述,助力文献阅读效率提升50倍。

立即体验

用中文搜PubMed

大模型驱动的PubMed中文搜索引擎

马上搜索

文档翻译

学术文献翻译模型,支持多种主流文档格式。

立即体验