• 文献检索
  • 文档翻译
  • 深度研究
  • 学术资讯
  • Suppr Zotero 插件Zotero 插件
  • 邀请有礼
  • 套餐&价格
  • 历史记录
应用&插件
Suppr Zotero 插件Zotero 插件浏览器插件Mac 客户端Windows 客户端微信小程序
定价
高级版会员购买积分包购买API积分包
服务
文献检索文档翻译深度研究API 文档MCP 服务
关于我们
关于 Suppr公司介绍联系我们用户协议隐私条款
关注我们

Suppr 超能文献

核心技术专利:CN118964589B侵权必究
粤ICP备2023148730 号-1Suppr @ 2026

文献检索

告别复杂PubMed语法,用中文像聊天一样搜索,搜遍4000万医学文献。AI智能推荐,让科研检索更轻松。

立即免费搜索

文件翻译

保留排版,准确专业,支持PDF/Word/PPT等文件格式,支持 12+语言互译。

免费翻译文档

深度研究

AI帮你快速写综述,25分钟生成高质量综述,智能提取关键信息,辅助科研写作。

立即免费体验

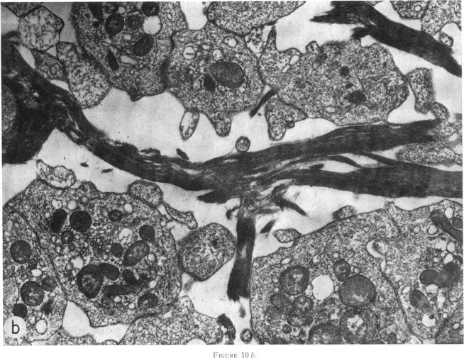
血小板与正在聚合的纤维蛋白的相互作用。

Platelet interaction with polymerizing fibrin.

作者信息

Niewiarowski S, Regoeczi E, Stewart G J, Senyl A F, Mustard J F

出版信息

J Clin Invest. 1972 Mar;51(3):685-99. doi: 10.1172/JCI106857.

DOI:10.1172/JCI106857
PMID:4622107
原文链接:https://pmc.ncbi.nlm.nih.gov/articles/PMC302174/
Abstract

Interaction of washed pig, rabbit, or human platelets with fibrinogen was studied during its transition to fibrin using photometric, isotopic, and electron microscopic techniques. Untreated fibrinogen and fully polymerized fibrin had no detectable effect on platelets. Fibrinogen, incubated with low concentrations of reptilase or thrombin, formed intermediate products which readily became associated with platelets and caused their aggregation. Neutralization of the thrombin did not prevent this interaction. In the absence of fibrinogen, reptilase did not affect platelets. The interaction of polymerizing fibrin with platelets was accompanied by small losses of platelet constituents (serotonin, adenine nucleotides, platelet factor 4, and lactic dehydrogenase). This loss did not appear to be the result of the platelet release reaction. Inhibitors of the release reaction or of adenosine diphosphate (ADP)-induced aggregation did not prevent the interaction of platelets with polymerizing fibrin. Apyrase or prostaglandin E(1) (PGE(1)) reduced the extent of platelet aggregation by polymerizing fibrin, but the amount of protein associated with platelets was slightly increased. The interaction of polymerizing fibrin with platelets was completely inhibited by ethylenediaminetetraacetate (EDTA) or ethylene glycol bis (beta-aminoethyl ether) N, N,N',N'-tetraacetic acid (EGTA).Fibers formed in solutions of polymerizing fibrin were larger in the presence than in the absence of washed platelets, suggesting that platelets affect fibrin polymerization. The adherence of platelets to polymerizing fibrin may be responsible for the establishment of links between platelets and fibrin in hemostatic plugs and thrombi.

摘要

利用光度测定法、同位素法和电子显微镜技术,研究了洗涤过的猪、兔或人血小板在纤维蛋白原向纤维蛋白转变过程中与纤维蛋白原的相互作用。未经处理的纤维蛋白原和完全聚合的纤维蛋白对血小板没有可检测到的影响。与低浓度的蛇毒凝血酶或凝血酶一起孵育的纤维蛋白原形成了中间产物,这些中间产物很容易与血小板结合并导致血小板聚集。凝血酶的中和并不能阻止这种相互作用。在没有纤维蛋白原的情况下,蛇毒凝血酶不会影响血小板。正在聚合的纤维蛋白与血小板的相互作用伴随着血小板成分(5-羟色胺、腺嘌呤核苷酸、血小板因子4和乳酸脱氢酶)的少量损失。这种损失似乎不是血小板释放反应的结果。释放反应抑制剂或二磷酸腺苷(ADP)诱导的聚集抑制剂并不能阻止血小板与正在聚合的纤维蛋白的相互作用。腺苷三磷酸双磷酸酶或前列腺素E(1)(PGE(1))通过使纤维蛋白聚合减少了血小板聚集的程度,但与血小板结合的蛋白量略有增加。正在聚合的纤维蛋白与血小板的相互作用被乙二胺四乙酸(EDTA)或乙二醇双(β-氨基乙醚)N,N,N',N'-四乙酸(EGTA)完全抑制。在有洗涤过的血小板存在的情况下,在正在聚合的纤维蛋白溶液中形成的纤维比没有血小板时更大,这表明血小板会影响纤维蛋白的聚合。血小板与正在聚合的纤维蛋白的黏附可能是止血栓和血栓中血小板与纤维蛋白之间建立联系的原因。

https://cdn.ncbi.nlm.nih.gov/pmc/blobs/63ba/302174/417609fc92e7/jcinvest00175-0246-a.jpg
https://cdn.ncbi.nlm.nih.gov/pmc/blobs/63ba/302174/24a2e3d2fd0d/jcinvest00175-0238-a.jpg
https://cdn.ncbi.nlm.nih.gov/pmc/blobs/63ba/302174/f48767cc6e6a/jcinvest00175-0241-a.jpg
https://cdn.ncbi.nlm.nih.gov/pmc/blobs/63ba/302174/12db0c6c0056/jcinvest00175-0242-a.jpg
https://cdn.ncbi.nlm.nih.gov/pmc/blobs/63ba/302174/583a83d80485/jcinvest00175-0243-a.jpg
https://cdn.ncbi.nlm.nih.gov/pmc/blobs/63ba/302174/ee2469fd27b6/jcinvest00175-0244-a.jpg
https://cdn.ncbi.nlm.nih.gov/pmc/blobs/63ba/302174/d938491e47e5/jcinvest00175-0245-a.jpg
https://cdn.ncbi.nlm.nih.gov/pmc/blobs/63ba/302174/417609fc92e7/jcinvest00175-0246-a.jpg
https://cdn.ncbi.nlm.nih.gov/pmc/blobs/63ba/302174/24a2e3d2fd0d/jcinvest00175-0238-a.jpg
https://cdn.ncbi.nlm.nih.gov/pmc/blobs/63ba/302174/f48767cc6e6a/jcinvest00175-0241-a.jpg
https://cdn.ncbi.nlm.nih.gov/pmc/blobs/63ba/302174/12db0c6c0056/jcinvest00175-0242-a.jpg
https://cdn.ncbi.nlm.nih.gov/pmc/blobs/63ba/302174/583a83d80485/jcinvest00175-0243-a.jpg
https://cdn.ncbi.nlm.nih.gov/pmc/blobs/63ba/302174/ee2469fd27b6/jcinvest00175-0244-a.jpg
https://cdn.ncbi.nlm.nih.gov/pmc/blobs/63ba/302174/d938491e47e5/jcinvest00175-0245-a.jpg
https://cdn.ncbi.nlm.nih.gov/pmc/blobs/63ba/302174/417609fc92e7/jcinvest00175-0246-a.jpg

相似文献

1
Platelet interaction with polymerizing fibrin.血小板与正在聚合的纤维蛋白的相互作用。
J Clin Invest. 1972 Mar;51(3):685-99. doi: 10.1172/JCI106857.
2
Conditions influencing platelet lysis.影响血小板溶解的条件。
Lab Invest. 1975 Mar;32(3):352-8.
3
Plasmin inhibition of thrombin-induced platelet aggregation.纤溶酶对凝血酶诱导的血小板聚集的抑制作用。
Thromb Diath Haemorrh. 1975 Apr 30;33(2):286-309.
4
In vitro and in vivo functions of thrombin-treated platelets.凝血酶处理的血小板的体外和体内功能
Thromb Haemost. 1976 Feb 29;35(1):151-66.
5
Fibrin-induced release of platelet serotonin.
Am J Physiol. 1976 Aug;231(2):344-50. doi: 10.1152/ajplegacy.1976.231.2.344.
6
Aggregation of platelets and inert particles induced by thrombin.凝血酶诱导的血小板与惰性颗粒的聚集。
Thromb Haemost. 1976 Jun 30;35(3):717-36.
7
Comparison of the interactions of fibrinogen and soluble fibrin with washed rabbit platelets stimulated with ADP.纤维蛋白原和可溶性纤维蛋白与经二磷酸腺苷刺激的洗涤兔血小板相互作用的比较。
Thromb Haemost. 1985 Apr 22;53(2):183-7.
8
Thrombin interaction with human platelets. Potentiation of thrombin-induced aggregation and release by inactivated thrombin.凝血酶与人类血小板的相互作用。灭活凝血酶对凝血酶诱导的聚集和释放的增强作用。
Thromb Diath Haemorrh. 1974 Sep 30;32(1):207-15.
9
Effects on platelet function of removal of platelet sialic acid by neuraminidase.神经氨酸酶去除血小板唾液酸对血小板功能的影响。
Lab Invest. 1975 Apr;32(4):476-84.
10
Factors influencing the deaggregation of human and rabbit platelets.影响人和兔血小板解聚的因素。
Thromb Haemost. 1983 Jun 28;49(3):162-7.

引用本文的文献

1
Comprehensive Coagulation Profiling at the Point-of-Care Using a Novel Laser-Based Approach.即时检测新型激光法的全面凝血分析。
Semin Thromb Hemost. 2019 Apr;45(3):264-274. doi: 10.1055/s-0039-1683842. Epub 2019 Mar 18.
2
Strong Binding of Platelet Integrin αIIbβ3 to Fibrin Clots: Potential Target to Destabilize Thrombi.血小板整合素 αIIbβ3 与纤维蛋白凝块的强结合:潜在的血栓不稳定靶点。
Sci Rep. 2017 Oct 11;7(1):13001. doi: 10.1038/s41598-017-12615-w.
3
Introduction of thromboelastometry-guided administration of fresh-frozen plasma is associated with decreased allogeneic blood transfusions and post-operative blood loss in cardiopulmonary-bypass surgery.

本文引用的文献

1
PLASMA THROMBOCYTE-AGGLUTINATING ACTIVITY AND FIBRINOGEN. SYNERGISM WITH ADENOSINE DIPHOSPHATE.血浆血小板凝集活性与纤维蛋白原。与二磷酸腺苷的协同作用。
Lab Invest. 1965 Apr;14:335-42.
2
RELATIONSHIP OF APPEARANCE OF ADENOSINE DIPHOSPHATE, FIBRIN FORMATION AND PLATELET AGGREGATION IN THE HAEMOSTATIC PLUG IN VIVO.体内止血栓子中三磷酸腺苷的出现、纤维蛋白形成与血小板聚集的关系
Nature. 1965 Jan 16;205:259-62. doi: 10.1038/205259a0.
3
EFFECT OF FIBRINOGEN ON THE AGGREGATION OF PLATELETS BY ADENOSINE DIPHOSPHATE.纤维蛋白原对二磷酸腺苷诱导的血小板聚集的影响
血栓弹力描记术引导的新鲜冰冻血浆输注与体外循环心脏手术中异体输血和术后失血减少相关。
Blood Transfus. 2018 May;16(3):244-252. doi: 10.2450/2017.0265-16. Epub 2017 Mar 23.
4
Platelet aggregation but not activation and degranulation during the acute post-ischemic reperfusion phase in livers with no underlying disease.在无基础疾病的肝脏急性缺血再灌注阶段,血小板发生聚集,但未发生激活和脱颗粒。
J Clin Transl Res. 2015;1(2):107-115. doi: 10.18053/jctres.201502.001. Epub 2015 Sep 13.
5
Thrombin-dependent Incorporation of von Willebrand Factor into a Fibrin Network.凝血酶依赖性血管性血友病因子掺入纤维蛋白网络。
J Biol Chem. 2014 Dec 26;289(52):35979-86. doi: 10.1074/jbc.M114.591677. Epub 2014 Nov 7.
6
Assessing blood coagulation status with laser speckle rheology.用激光散斑流变学评估血液凝固状态。
Biomed Opt Express. 2014 Feb 24;5(3):817-31. doi: 10.1364/BOE.5.000817. eCollection 2014 Mar 1.
7
Mechanics and contraction dynamics of single platelets and implications for clot stiffening.单细胞血小板的力学和收缩动力学及其对血栓硬度的影响。
Nat Mater. 2011 Jan;10(1):61-6. doi: 10.1038/nmat2903. Epub 2010 Dec 5.
8
Thrombin-induced conversion of fibrinogen to fibrin results in rapid platelet trapping which is not dependent on platelet activation or GPIb.凝血酶诱导纤维蛋白原转化为纤维蛋白会导致快速的血小板捕获,这并不依赖于血小板激活或糖蛋白Ib。
Br J Pharmacol. 2003 Feb;138(4):574-83. doi: 10.1038/sj.bjp.0705095.
9
Thrombosis: its role and prevention in cardiovascular events--Part I. Concepts of thrombogenesis and its prevention.血栓形成:其在心血管事件中的作用及预防——第一部分。血栓形成的概念及其预防。
West J Med. 1981 Mar;134(3):234-41.
10
The prostanoids in hemostasis and thrombosis: a review.前列腺素类物质在止血和血栓形成中的作用:综述
Am J Pathol. 1980 Jun;99(3):743-804.
Thromb Diath Haemorrh. 1964 Dec 31;12:524-7.
4
EFFECT OF ADENOSINE NUCLEOTIDES ON PLATELET AGGREGATION AND CLOTTING TIME.腺苷核苷酸对血小板聚集和凝血时间的影响。
J Lab Clin Med. 1964 Oct;64:548-59.
5
MECHANISM OF PLATELET PLUG FORMATION AND ROLE OF ADENOSINE DIPHOSPHATE.血小板栓子形成机制及二磷酸腺苷的作用
Am J Physiol. 1964 Jun;206:1267-74. doi: 10.1152/ajplegacy.1964.206.6.1267.
6
Platelet-platelet interaction: relationship to hemostasis and thrombosis.
Fed Proc. 1967 Jan-Feb;26(1):95-105.
7
Studies on the mechanism of interference by fibrinogen degradation products (FDP) with the platelet function role of fibrinogen in the platelet atmosphere.关于纤维蛋白原降解产物(FDP)对纤维蛋白原在血小板环境中血小板功能作用的干扰机制的研究。
Thromb Diath Haemorrh. 1966 May 15;15(3):476-90.
8
Platelet aggregation during fibrin polymerization.纤维蛋白聚合过程中的血小板聚集。
Scand J Clin Lab Invest. 1966;18(6):577-87. doi: 10.3109/00365516609049041.
9
Aggregation, adhesion, and viscous metamorphosis of platelets in congenital fibrinogen deficiencies.先天性纤维蛋白原缺乏症中血小板的聚集、黏附及粘性变形
J Lab Clin Med. 1966 Jul;68(1):21-32.
10
Platelet factor 4 and adenosine diphosphate release during human platelet aggregation.人类血小板聚集过程中血小板因子4和二磷酸腺苷的释放
Nature. 1969 Jun 28;222(5200):1269-70. doi: 10.1038/2221269a0.