Suppr超能文献

衣原体感染对过氧化物酶的刺激作用:豚鼠结膜上皮细胞的细胞化学研究

Stimulation of peroxidase by chlamydial infection: cytochemistry of guinea pig conjunctival epithelium.

作者信息

Malaty R, Nichols B, Schachter J, Togni B, Dawson C

出版信息

Infect Immun. 1979 Jul;25(1):417-26. doi: 10.1128/iai.25.1.417-426.1979.

Abstract

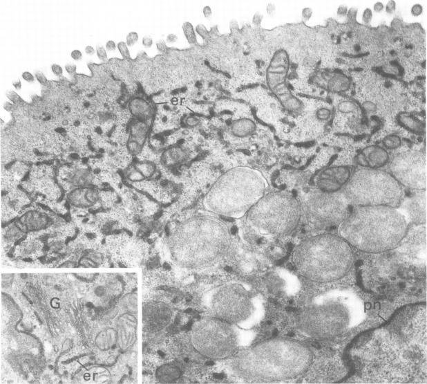
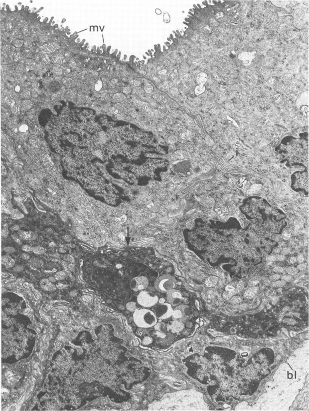
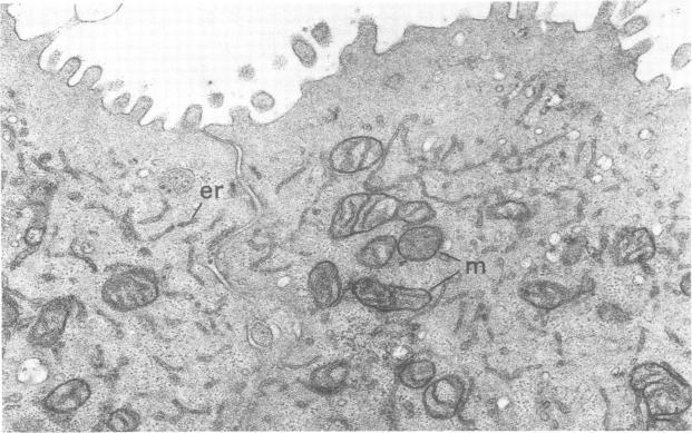
Guinea pig inclusion conjunctivitis, a naturally occurring chlamydial disease of guinea pigs, resolves spontaneously after 3 to 4 weeks. The factors responsible for curbing the infection have not yet been specifically defined. Since Iwata (Invest. Ophthalmol. 15:297-301, 1976) reported cytochemical activity for peroxidase in the conjunctival epithelium of the normal rat, we undertook these studies to determine whether a similar activity exists in the guinea pig, and if so, whether it functions in the elimination of this Chlamydia psittaci infection. Tarsal conjunctivas of 14 normal guinea pigs, 34 infected ones, and 7 control guinea pigs (inoculated with yolk sac only) were excised and tested for peroxidase by the Graham and Karnovsky method (J. Histochem. Cytochem. 14:291-302, 1966). We found that peroxidase activity, virtually absent in normal animals, was intensely stimulated by the infection. This enzymatic activity appeared 2 days after inoculation of the conjunctiva with chlamydia and persisted for 6 to 7 weeks. The enzyme was localized in the rough endoplasmic reticulum and perinuclear cisternae of all layers of the conjunctival epithelium from the external surface to the basal lamina, including cells with no apparent inclusions as well as those heavily parasitized. Reaction in the Golgi complex was variable. No reaction, however, was ever evident in the chlamydial vacuoles or lysosomes, and the organisms continued to grow and multiply during peak enzymatic activity. We therefore concluded that the stimulated enzyme is apparently not directly responsible for the waning of the infection, but instead reflects an alteration of host metabolism that occurs as a consequence of the infection.

摘要

豚鼠包涵体结膜炎是豚鼠自然发生的一种衣原体疾病,3至4周后可自发痊愈。抑制感染的因素尚未明确界定。自岩田(《Invest. Ophthalmol.》15:297 - 301,1976年)报道正常大鼠结膜上皮中过氧化物酶具有细胞化学活性以来,我们开展了这些研究,以确定豚鼠是否存在类似活性,若存在,其是否在消除这种鹦鹉热衣原体感染中发挥作用。切除14只正常豚鼠、34只感染豚鼠和7只对照豚鼠(仅接种卵黄囊)的睑结膜,采用格雷厄姆和卡尔诺夫斯基方法(《J. Histochem. Cytochem.》14:291 - 302,1966年)检测过氧化物酶。我们发现,正常动物几乎不存在的过氧化物酶活性在感染后受到强烈刺激。这种酶活性在结膜接种衣原体后2天出现,并持续6至7周。该酶定位于从外表面到基底层的结膜上皮各层的粗面内质网和核周池,包括无明显包涵体的细胞以及严重寄生的细胞。高尔基体中的反应各不相同。然而,衣原体空泡或溶酶体中从未出现明显反应,并且在酶活性高峰期病原体继续生长繁殖。因此,我们得出结论,受刺激的酶显然不是感染减弱的直接原因,而是反映了感染导致的宿主代谢改变。

https://cdn.ncbi.nlm.nih.gov/pmc/blobs/8c2d/414467/dd1692e8e95a/iai00187-0431-a.jpg

文献检索

告别复杂PubMed语法,用中文像聊天一样搜索,搜遍4000万医学文献。AI智能推荐,让科研检索更轻松。

立即免费搜索

文件翻译

保留排版,准确专业,支持PDF/Word/PPT等文件格式,支持 12+语言互译。

免费翻译文档

深度研究

AI帮你快速写综述,25分钟生成高质量综述,智能提取关键信息,辅助科研写作。

立即免费体验