Suppr超能文献

大鼠实验性肾小球肾炎的病理生理学

Pathophysiology of experimental glomerulonephritis in rats.

作者信息

Allison M E, Wilson C B, Gottschalk C W

出版信息

J Clin Invest. 1974 May;53(5):1402-23. doi: 10.1172/JCI107689.

Abstract

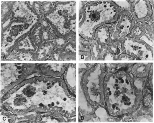
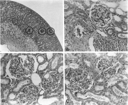
Micropuncture, clearance, immunofluorescence and light microscopy techniques were used to study kidney structure and single nephron function in rats with autologous immune complex nephritis (AICN), a membranous glomerulonephritis developing over 5 to 20 mo, in the more acute and proliferative glomerular basement membrane (GBM) nephritis and in controls. Both models are known to have clinical counterparts in human disease. Kidney functional abnormalities correlated with the degree of architectural derangement. In both AICN and anti-GBM nephritis filtration fraction fell in direct proportion to the fall in glomerular filtration rate (GFR), renal plasma flow being unchanged. Fractional electrolyte excretion increased as the GFR fell. Despite marked heterogeneity of single nephron filtration rate (SNGFR) (AICN, 5-93 nl/min; anti-GBM, 0-50 nl/min) and of proximal tubular hydrostatic pressure (4-48 mm Hg), each nephron showed almost complete glomerulotubular balance, absolute reabsorption to the late proximal convolution varying directly with filtration rate. In addition SNGFR could be related both to proximal intratubular hydrostatic pressure and to calculated glomerular capillary pressure (Pg), being lowest in those nephrons with the highest intratubular pressure. Nephrons with very high filtration rates did not apparently reach filtration equilibrium. Mean SNGFR was significantly lower in the anti-GBM group, while calculated Pg was the same in both. This probably reflects the acute and diffuse involvement of the anti-GBM lesion with different filtration characteristics from the more chronic AICN disease. Tubular damage was more marked in AICN, and extraction of p-aminohippurate was reduced in this group.

摘要

采用微穿刺、清除率、免疫荧光和光学显微镜技术,对患有自体免疫复合物肾炎(AICN)的大鼠的肾脏结构和单肾单位功能进行研究。AICN是一种在5至20个月内发展的膜性肾小球肾炎,在更急性和增殖性的肾小球基底膜(GBM)肾炎以及对照组中进行研究。已知这两种模型在人类疾病中都有临床对应物。肾脏功能异常与结构紊乱程度相关。在AICN和抗GBM肾炎中,滤过分数均与肾小球滤过率(GFR)的下降成正比,肾血浆流量不变。随着GFR下降,电解质排泄分数增加。尽管单肾单位滤过率(SNGFR)(AICN为5 - 93 nl/min;抗GBM为0 - 50 nl/min)和近端肾小管静水压(4 - 48 mmHg)存在明显异质性,但每个肾单位几乎都表现出完全的球管平衡,近端曲管后期的绝对重吸收与滤过率直接相关。此外,SNGFR既与近端肾小管内静水压有关,也与计算出的肾小球毛细血管压(Pg)有关,在肾小管内压力最高的那些肾单位中最低。滤过率非常高的肾单位显然未达到滤过平衡。抗GBM组的平均SNGFR显著较低,而两组计算出的Pg相同。这可能反映了抗GBM病变的急性和弥漫性累及,其具有与更慢性的AICN疾病不同的滤过特征。AICN组的肾小管损伤更明显,该组对对氨基马尿酸的摄取减少。

https://cdn.ncbi.nlm.nih.gov/pmc/blobs/2b09/302629/9b371309cbd4/jcinvest00188-0213-a.jpg

文献检索

告别复杂PubMed语法,用中文像聊天一样搜索,搜遍4000万医学文献。AI智能推荐,让科研检索更轻松。

立即免费搜索

文件翻译

保留排版,准确专业,支持PDF/Word/PPT等文件格式,支持 12+语言互译。

免费翻译文档

深度研究

AI帮你快速写综述,25分钟生成高质量综述,智能提取关键信息,辅助科研写作。

立即免费体验