Suppr超能文献

Ischemia potentiating cryosurgery of primate liver.

作者信息

Neel H B, Ketcham A S, Hammond W G

出版信息

Ann Surg. 1971 Aug;174(2):309-18. doi: 10.1097/00000658-197108000-00019.

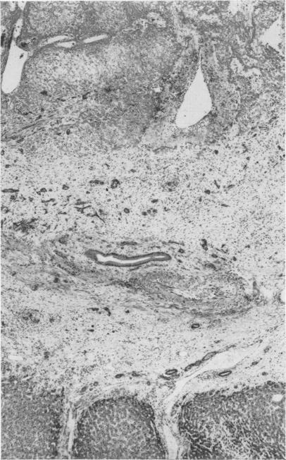
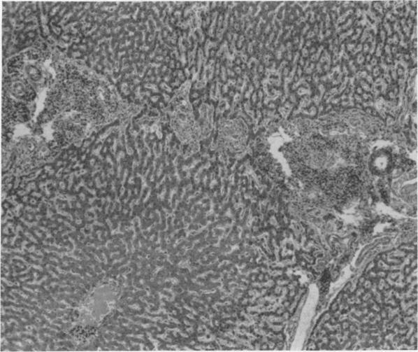
Abstract
摘要
https://cdn.ncbi.nlm.nih.gov/pmc/blobs/a944/1397458/51d4077ecc23/annsurg00391-0158-a.jpg

文献AI研究员

20分钟写一篇综述,助力文献阅读效率提升50倍。

立即体验

用中文搜PubMed

大模型驱动的PubMed中文搜索引擎

马上搜索

文档翻译

学术文献翻译模型,支持多种主流文档格式。

立即体验