Suppr超能文献

激素与免疫能力。V. 新生期胸腺切除的无菌小鼠腺垂体中生长激素分泌细胞的改变:一项电子显微镜研究

Hormones and the immunological capacity. V. Modification of growth hormone-producing cells in the adenohypophysis of neonatally thymectomized germ-free mice: an electron microscopical study.

作者信息

Pierpaoli W, Bianchi E, Sorkin E

出版信息

Clin Exp Immunol. 1971 Dec;9(6):889-901.

Abstract

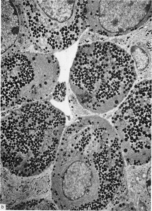
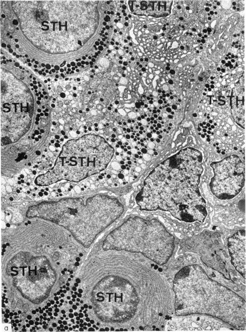
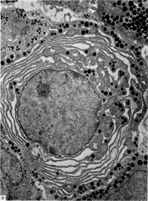
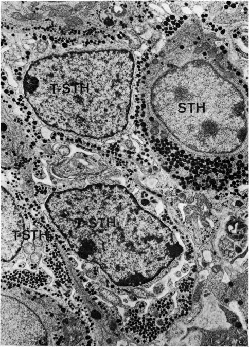
An electron microscopical study has been carried out to evaluate the effect of neonatal thymectomy on the hypophysis of germ-free mice at different times after the operation. The results fully confirm the previous findings in neonatally thymectomized, conventional mice. Also neonatal thymectomy in germ-free mice results in degranulation of growth hormone-producing cells in the anterior pituitary gland. A large number of these cells show an enlarged endoplasmic reticulum with formation of cisternae and loss of hormone granuli. This alteration of growth hormone-producing cells is similar to that observed in other cells of the hypophysis after removal of other target glands such as thyroid or gonads. The changes in the growth hormone-producing cells in neonatally thymectomized germ-free mice occur even in the first days after birth, when the number of differentiated growth hormone-producing cells is still very low. Some thymectomized germ-free mice showed symptoms of the wasting syndrome but the alterations in their hypophysis were not more pronounced than those observed in thymectomized germ-free but nonwasting mice. The data fit well our suggestion that the perinatal thymus is under hypophysial control and that immunological maturation depends on endocrine function.

摘要

已进行了一项电子显微镜研究,以评估新生期胸腺切除对无菌小鼠术后不同时间垂体的影响。结果充分证实了先前在新生期胸腺切除的常规小鼠中的发现。同样,无菌小鼠的新生期胸腺切除会导致垂体前叶中产生生长激素的细胞脱颗粒。大量这些细胞显示内质网扩张,形成池状结构,激素颗粒丢失。产生生长激素的细胞的这种改变类似于在切除其他靶腺(如甲状腺或性腺)后垂体其他细胞中观察到的改变。新生期胸腺切除的无菌小鼠中产生生长激素的细胞的变化甚至在出生后的头几天就会出现,此时分化的产生生长激素的细胞数量仍然非常少。一些胸腺切除的无菌小鼠出现了消瘦综合征的症状,但其垂体的改变并不比在胸腺切除的无菌但未消瘦的小鼠中观察到的更明显。这些数据很好地符合了我们的建议,即围产期胸腺受垂体控制,免疫成熟取决于内分泌功能。

https://cdn.ncbi.nlm.nih.gov/pmc/blobs/7d00/1713124/8261c902cabe/clinexpimmunol00373-0187-a.jpg

文献AI研究员

20分钟写一篇综述,助力文献阅读效率提升50倍。

立即体验

用中文搜PubMed

大模型驱动的PubMed中文搜索引擎

马上搜索

文档翻译

学术文献翻译模型,支持多种主流文档格式。

立即体验