Suppr超能文献

Improved recognition and quantitation technique for oncornaviruses.

作者信息

Stephens R, Traul K, Woolf D, Lowry G, Lelek J

出版信息

J Clin Microbiol. 1975 Feb;1(2):225-33. doi: 10.1128/jcm.1.2.225-233.1975.

Abstract

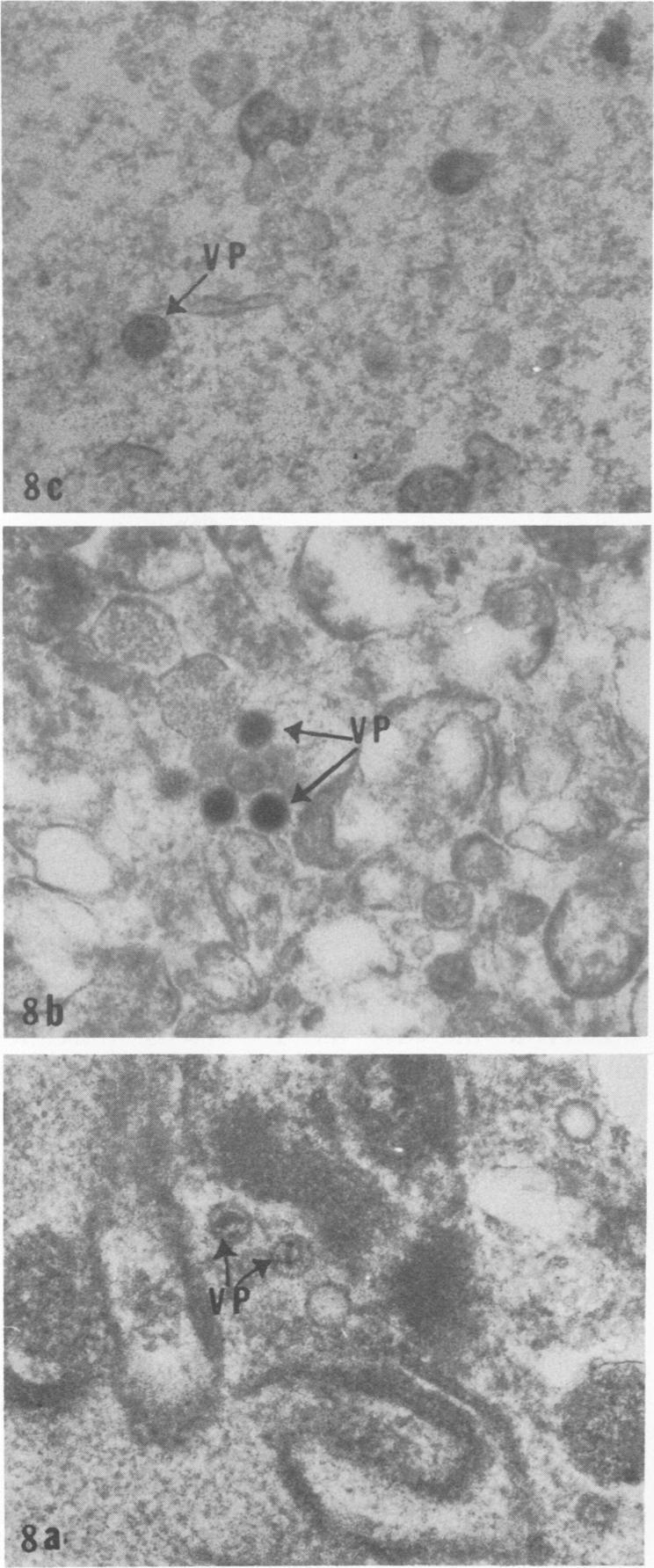
A technique to recognize and quantitate oncornaviruses using perforated pointed BEEM capsules has been developed in our laboratory. Virus samples that presented problems in counting, or those which could not be evaluated at all by negative staining, could be clearly defined and counted using the thin-sectioning BEEM capsule technique. Perforation of the BEEM capsule allowed rapid infiltration of reagents into the tip of the virus pellet and made further manipulation and orientation unnecessary. The sensitivity of this technique, determined by making serial dilutions of viral concentrates, allows observation of as few as 5 times 10(5) virus particles per ml. Precision in counting by this technique varied only +/- 0.3 log in repeat aliquots of identical concentrated virus samples quantitated, making this a highly useful and reliable system.

摘要
https://cdn.ncbi.nlm.nih.gov/pmc/blobs/2f61/275028/a5579a11528d/jcm00234-0123-a.jpg

文献AI研究员

20分钟写一篇综述,助力文献阅读效率提升50倍。

立即体验

用中文搜PubMed

大模型驱动的PubMed中文搜索引擎

马上搜索

文档翻译

学术文献翻译模型,支持多种主流文档格式。

立即体验