Suppr超能文献

联合免疫缺陷综合征的组织病理学发现。

Histopathological findings in the combined immunity-deficiency syndrome.

作者信息

Berry C L

出版信息

J Clin Pathol. 1970 Apr;23(3):193-202. doi: 10.1136/jcp.23.3.193.

Abstract

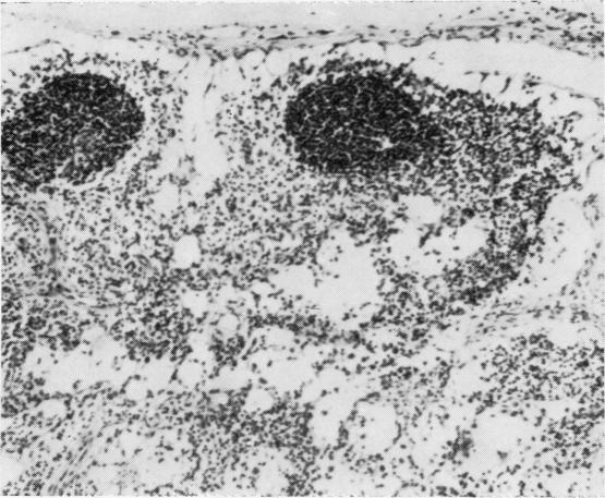
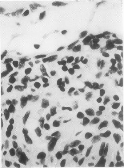
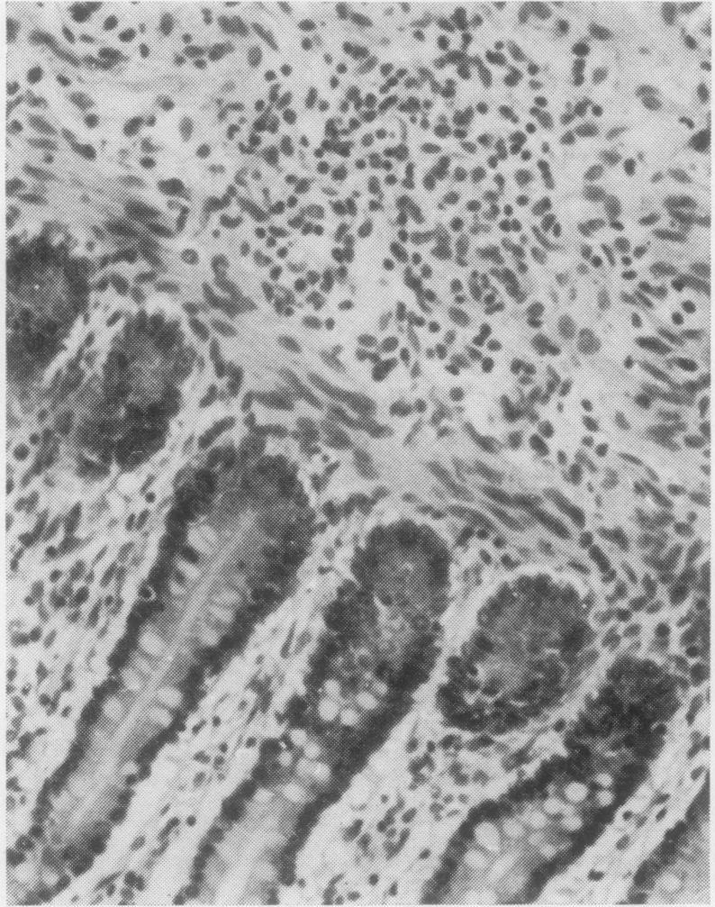
The histopathological appearances of the thymus, lymph nodes, spleen, and gut-associated lymphoid tissue (tonsil, Peyer's patches, and appendix) in cases of the combined immunity-deficiency syndrome are presented. The appearance of tissues remaining after foetal thymic transplants and the effects of such transplants on the morphology of lymph nodes are also discussed. Although thymic appearances are remarkably constant the picture in the lymph nodes and spleen may vary considerably. The tonsils, Peyer's patches, and appendix appear to constitute one lymphoid organ in man, at least with regard to the developmental arrest that may occur in this syndrome.

摘要

本文呈现了联合免疫缺陷综合征病例中胸腺、淋巴结、脾脏及肠道相关淋巴组织(扁桃体、派伊尔结和阑尾)的组织病理学表现。还讨论了胎儿胸腺移植后剩余组织的外观以及此类移植对淋巴结形态的影响。尽管胸腺的表现非常一致,但淋巴结和脾脏的情况可能有很大差异。扁桃体、派伊尔结和阑尾在人类中似乎构成一个淋巴器官,至少就该综合征可能出现的发育停滞而言是这样。

https://cdn.ncbi.nlm.nih.gov/pmc/blobs/a0c4/474524/49c27fda4427/jclinpath00386-0002-a.jpg

文献检索

告别复杂PubMed语法,用中文像聊天一样搜索,搜遍4000万医学文献。AI智能推荐,让科研检索更轻松。

立即免费搜索

文件翻译

保留排版,准确专业,支持PDF/Word/PPT等文件格式,支持 12+语言互译。

免费翻译文档

深度研究

AI帮你快速写综述,25分钟生成高质量综述,智能提取关键信息,辅助科研写作。

立即免费体验