Suppr超能文献

Attempted prevention of arteriolar lesions in accelerated rat hypertension by immunosuppression.

作者信息

Gardner D L, Quagliata F, Drossman M, Kalish M, Schimmer B

出版信息

Br J Exp Pathol. 1970 Jun;51(3):242-52.

Abstract

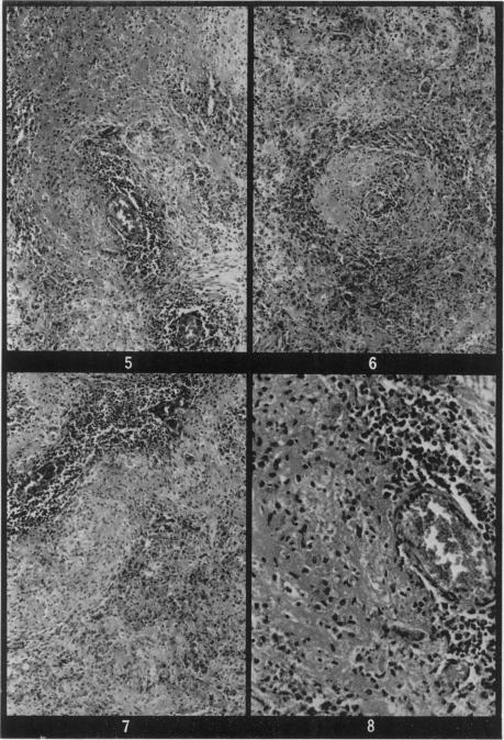
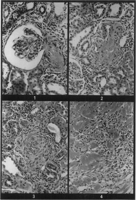
Reasons are given for suspecting that one component in the injury to small arteries and arterioles in accelerated hypertension may be an immunological mechanism. To test this hypothesis, rats were subjected to a deoxycortone/unilateral nephrectomy/salt load regime and simultaneously treated with one of three immunosuppressive procedures: cyclophosphamide, whole-body X-irradiation or rabbit anti-rat lymphocytic serum (ALS). Histological evidence of a depressive effect on the lymphoreticular tissues was obtained but interference with the normal development of arterial and arteriolar necrosis and of plasmatic vasculosis varied. ALS displayed no protective effect whatever. Cyclophosphamide interfered with the development of hypertensive vascular lesions but caused, by itself, a high mortality among non-hypertensive control animals. X-irradiation prevented hypertensive arteriolar injury but probably exerted this effect by an action distinct from blood pressure since animals so treated developed marked left ventricular hypertrophy, perhaps due to the combined hypertension-provoking insults of deoxycortone and irradiation.

摘要
https://cdn.ncbi.nlm.nih.gov/pmc/blobs/0190/2072268/8ec8c492243d/brjexppathol00429-0027-a.jpg

文献AI研究员

20分钟写一篇综述,助力文献阅读效率提升50倍。

立即体验

用中文搜PubMed

大模型驱动的PubMed中文搜索引擎

马上搜索

文档翻译

学术文献翻译模型,支持多种主流文档格式。

立即体验