Suppr超能文献

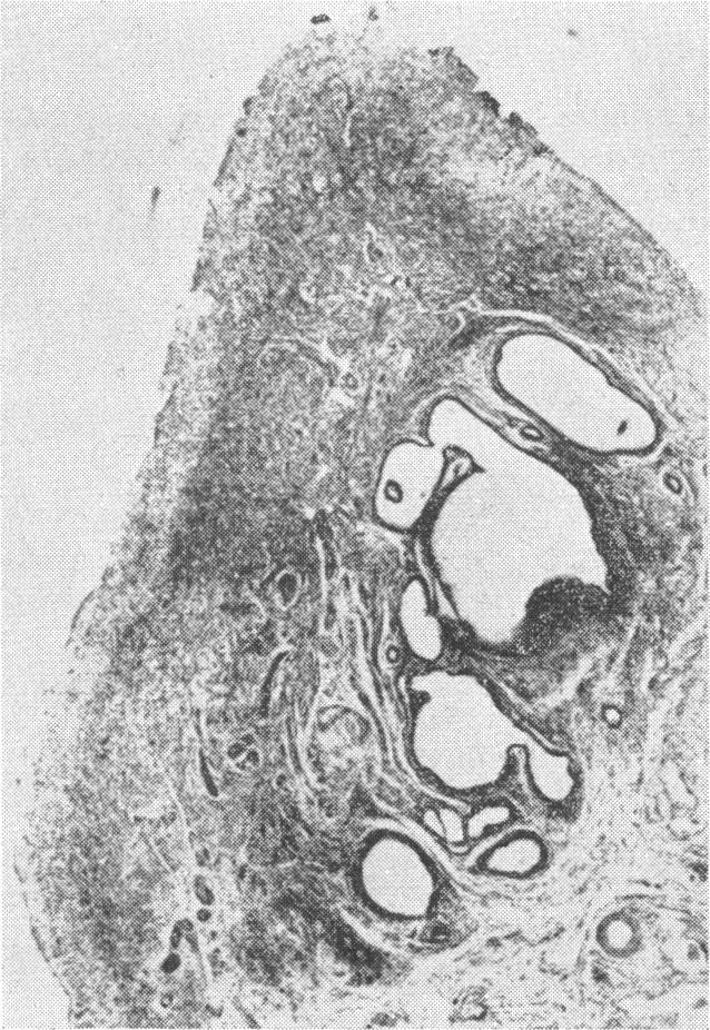
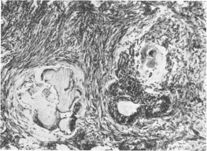
Ovarian pathology in primary amenorrhoea.

作者信息

Hughesdon P E

出版信息

Proc R Soc Med. 1970 Mar;63(3):294-7. doi: 10.1177/003591577006300337.

Abstract
摘要
https://cdn.ncbi.nlm.nih.gov/pmc/blobs/4510/1811371/4b1a17cc4098/procrsmed00298-0099-a.jpg

文献AI研究员

20分钟写一篇综述,助力文献阅读效率提升50倍。

立即体验

用中文搜PubMed

大模型驱动的PubMed中文搜索引擎

马上搜索

文档翻译

学术文献翻译模型,支持多种主流文档格式。

立即体验