Fernand V S, Hess A
J Physiol. 1969 Feb;200(2):547-54. doi: 10.1113/jphysiol.1969.sp008707.
利用胆碱酯酶染色后的 teased 标本,在光学显微镜下以及电子显微镜下,对猫的鼓膜张肌和镫骨肌的肌纤维进行了检查。
在这两块肌肉中,均发现了两种类型的纤维:具有单个终板的纤维和具有多个神经末梢的纤维。
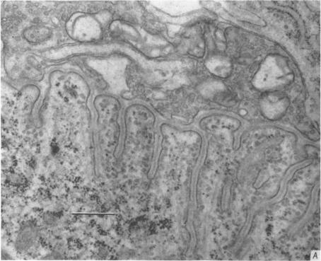
具有终板的镫骨肌纤维,其肌原纤维被肌浆网规则分隔,有一条笔直的 Z 线,横管(T 系统)元件规则地出现在 A 带和 I 带的交界处,有一条 M 线,有一个广泛的终板区域,并且在神经末梢下方有大量的接头后肌膜内褶。鼓膜张肌中的这种类型的肌纤维具有所有这些特征,只是肌原纤维彼此分隔不佳,一些肌节中没有 T 系统元件,并且没有典型的 M 线。
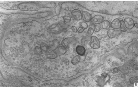
与单个神经支配的纤维相比,具有多个末梢的纤维,其肌原纤维被肌浆网分隔得很差,有一条锯齿状的 Z 线,极少的 T 系统元件,终板区域较不广泛,并且在神经末梢下方基本没有褶皱。这两块肌肉中的这些纤维都有 M 线。
因此,在猫的鼓膜张肌和镫骨肌中均发现了肌纤维,其在神经支配、运动神经末梢的结构以及内部结构方面,与其他地方的慢肌纤维所呈现的许多形态学特征相符。