Suppr超能文献

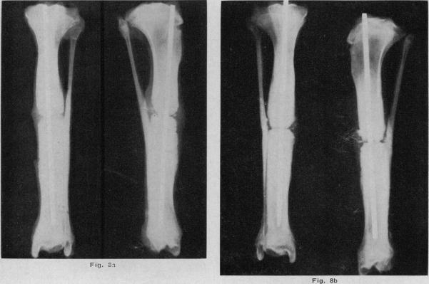
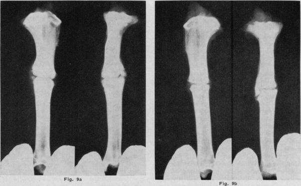
The effect of heat on the healing of fractures: a preliminary experimental report.

作者信息

Eagleson W M, Deckert K I, Townsend E E, Arnott J R

出版信息

Can Med Assoc J. 1967 Aug 5;97(6):274-80.

Abstract
摘要
https://cdn.ncbi.nlm.nih.gov/pmc/blobs/287d/1923214/78f1cd775a67/canmedaj01227-0008-a.jpg

文献AI研究员

20分钟写一篇综述,助力文献阅读效率提升50倍。

立即体验

用中文搜PubMed

大模型驱动的PubMed中文搜索引擎

马上搜索

文档翻译

学术文献翻译模型,支持多种主流文档格式。

立即体验