Suppr超能文献

pp30(一种对多胺和促肾上腺皮质激素敏感的大鼠脑多核糖体蛋白)的多重磷酸化

Multiple phosphorylation of pp30, a rat brain polyribosomal protein, sensitive to polyamines and corticotropin.

作者信息

Schrama L H, Weeda G, Edwards P M, Oestreicher A B, Schotman P

出版信息

Biochem J. 1984 Dec 15;224(3):747-53. doi: 10.1042/bj2240747.

Abstract

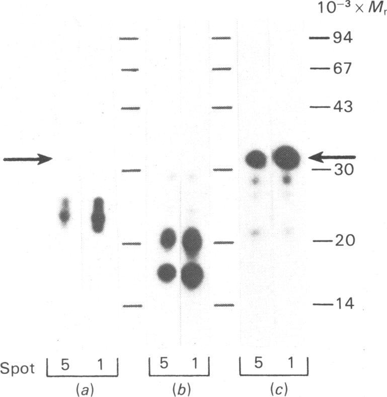
A rat brain polyribosomal protein with an apparent Mr of 30 000, designated pp30, was further characterized. The protein was identified by its phosphorylation by an endogenous protein kinase sensitive to both corticotropin and spermine. Two-dimensional separation of a polyribosomal fraction was applied, combining non-equilibrium pH-gradient-gel electrophoresis in the first and sodium dodecyl sulphate/polyacrylamide-gel electrophoresis in the second dimension. In this system, pp30 was separated into at least five defined phosphoprotein spots. Pulse-labelling with [gamma-32P]ATP followed by a chase for various time periods with excess unlabelled ATP resulted in a shift of the distribution of radioactivity and protein staining along the spots towards the anode. This suggests that the various spots of pp30 may represent multiple phosphorylation states. Limited proteolysis of the five spots with three different proteinases resulted in the same one-dimensional peptide maps with a given proteinase, indicating that all five spots represent different forms of a single phosphoprotein. Inhibition of the overall phosphorylation of pp30 by corticotropin or spermine was accompanied by a shift in the recovery of labelled phosphate towards spots nearer the cathode. Immunoblotting with monoclonal antibodies directed against ribosomal protein S6 stained only one band, a protein that had an apparent Mr of 34 000 and was clearly distinct from pp30.

摘要

对一种表观分子量为30000的大鼠脑多核糖体蛋白(命名为pp30)进行了进一步表征。该蛋白通过对促肾上腺皮质激素和精胺均敏感的内源性蛋白激酶磷酸化而得以鉴定。采用多核糖体组分的二维分离方法,第一维采用非平衡pH梯度凝胶电泳,第二维采用十二烷基硫酸钠/聚丙烯酰胺凝胶电泳。在该系统中,pp30被分离成至少五个明确的磷蛋白斑点。用[γ-32P]ATP进行脉冲标记,随后用过量未标记的ATP进行不同时间段的追踪,导致放射性分布和蛋白染色沿斑点向阳极移动。这表明pp30的各个斑点可能代表多种磷酸化状态。用三种不同的蛋白酶对这五个斑点进行有限的蛋白水解,对于给定的蛋白酶产生相同的一维肽图,表明所有五个斑点代表单一磷蛋白的不同形式。促肾上腺皮质激素或精胺对pp30整体磷酸化的抑制伴随着标记磷酸盐向更靠近阴极的斑点的回收转移。用针对核糖体蛋白S6的单克隆抗体进行免疫印迹仅染出一条带,一种表观分子量为34000且明显不同于pp30的蛋白。

https://cdn.ncbi.nlm.nih.gov/pmc/blobs/5c94/1144509/131c1636643d/biochemj00313-0067-a.jpg

文献检索

告别复杂PubMed语法,用中文像聊天一样搜索,搜遍4000万医学文献。AI智能推荐,让科研检索更轻松。

立即免费搜索

文件翻译

保留排版,准确专业,支持PDF/Word/PPT等文件格式,支持 12+语言互译。

免费翻译文档

深度研究

AI帮你快速写综述,25分钟生成高质量综述,智能提取关键信息,辅助科研写作。

立即免费体验