Suppr超能文献

抗人IV型胶原单克隆抗体:用于证明该分子异源三聚体性质的有用试剂。

Monoclonal antibodies to human type IV collagen: useful reagents to demonstrate the heterotrimeric nature of the molecule.

作者信息

Odermatt B F, Lang A B, Rüttner J R, Winterhalter K H, Trüeb B

出版信息

Proc Natl Acad Sci U S A. 1984 Dec;81(23):7343-7. doi: 10.1073/pnas.81.23.7343.

Abstract

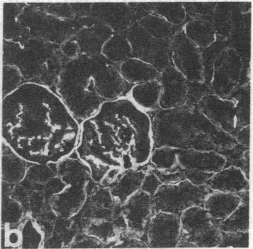
Monoclonal antibodies (mAbs) have been prepared against type IV collagen isolated from human kidney. Two mAbs, designated CIV 22 and CIV 16, were extensively characterized. CIV 22 reacted only with native type IV collagen, whereas CIV 16 also bound to fragments derived from the alpha 1(IV) chain after reduction and alkylation of the molecule. Therefore, CIV 22 recognizes a conformational epitope on the triple helical type IV collagen, whereas CIV 16 binds to a sequential determinant in the carboxyl-terminal half of the alpha 1(IV) chain. By immunofluorescence, typical basement membrane structures were stained with both mAbs on frozen sections of different human organs. The mAbs were used to investigate the chain composition of type IV collagen. Radiolabeled type IV collagen bound to CIV 22, proving its triple helical configuration. These native probes, containing both the alpha 1(IV) and the alpha 2(IV) chains, also bound to CIV 16. Since CIV 16 does not react with the isolated alpha 2(IV) chain, both chains must be arranged in a single triple helical molecule (heterotrimer).

摘要

已制备出针对从人肾中分离出的IV型胶原的单克隆抗体(mAb)。对两种单克隆抗体,即CIV 22和CIV 16进行了广泛的特性分析。CIV 22仅与天然IV型胶原反应,而CIV 16在分子还原和烷基化后也与源自α1(IV)链的片段结合。因此,CIV 22识别三螺旋IV型胶原上的构象表位,而CIV 16结合α1(IV)链羧基末端一半中的连续决定簇。通过免疫荧光法,在不同人体器官的冰冻切片上,两种单克隆抗体均对典型的基底膜结构进行了染色。这些单克隆抗体被用于研究IV型胶原的链组成。与CIV 22结合的放射性标记IV型胶原,证明了其具有三螺旋结构。这些包含α1(IV)链和α2(IV)链的天然探针也与CIV 16结合。由于CIV 16不与分离出的α2(IV)链反应,两条链必定排列在单个三螺旋分子(异源三聚体)中。

https://cdn.ncbi.nlm.nih.gov/pmc/blobs/8c55/392142/055c1a1fc0f7/pnas00624-0083-a.jpg

文献检索

告别复杂PubMed语法,用中文像聊天一样搜索,搜遍4000万医学文献。AI智能推荐,让科研检索更轻松。

立即免费搜索

文件翻译

保留排版,准确专业,支持PDF/Word/PPT等文件格式,支持 12+语言互译。

免费翻译文档

深度研究

AI帮你快速写综述,25分钟生成高质量综述,智能提取关键信息,辅助科研写作。

立即免费体验