Lam K S, Kasper C B
Proc Natl Acad Sci U S A. 1980 Apr;77(4):1927-31. doi: 10.1073/pnas.77.4.1927.
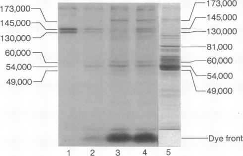
Recently, we demonstrated that highly purified rat liver microsomal membrane was capable of selectively phosphorylating two intrinsic membrane polypeptides (M(r) 145,000 and M(r) 130,000) and that the course of the reaction was kinetically divided into two distinct stages [Lam, K. S. & Kasper, C. B. (1980) J. Biol. Chem. 255, 259-266]. Evidence was also presented that strongly suggested that a phosphoryl donor other than ATP was involved in the second stage of phosphorylation. In the present study, we demonstrate that incubation of microsomal membrane with [gamma-(32)P]ATP produces a prominent (32)P-labeled compound detectable by thin-layer chromatography on polyethyleneimine-impregnated cellulose. DEAE-cellulose fractionation of detergent-solubilized microsomal membrane generated a protein fraction that could convert in excess of 90% of the [gamma-(32)P]ATP into this newly (32)P-labeled unknown compound (I approximately P) without the formation of significant levels of (32)P(i). When [alpha-(32)P]ATP was used, I approximately P was unlabeled. Enzymically synthesized I approximately P was purified and determined to be pyrophosphate by using (31)P NMR spectroscopy. [(32)P]Pyrophosphate, synthesized chemically or enzymically, was capable of selectively phosphorylating the M(r) 145,000 and M(r) 130,000 polypeptides. Time course studies utilizing pyrophosphate as the phosphate source showed only one phase of phosphorylation that was strongly inhibited by micromolar levels of ATP as well as by NaF (5 mM). These studies further establish that pyrophosphate is the phosphoryl donor involved in the second stage of phosphorylation.
最近,我们证明了高度纯化的大鼠肝微粒体膜能够选择性地磷酸化两种内在膜多肽(分子量分别为145,000和130,000),并且反应过程在动力学上可分为两个不同阶段[Lam, K. S. & Kasper, C. B. (1980) J. Biol. Chem. 255, 259 - 266]。同时也有证据强烈表明,在磷酸化的第二阶段涉及一种不同于ATP的磷酸供体。在本研究中,我们证明用[γ-(32)P]ATP孵育微粒体膜会产生一种在聚乙烯亚胺浸渍纤维素上进行薄层层析可检测到的显著的(32)P标记化合物。用去污剂增溶的微粒体膜进行DEAE - 纤维素分级分离产生了一种蛋白质组分,该组分能将超过90%的[γ-(32)P]ATP转化为这种新的(32)P标记的未知化合物(I≈P)且不会形成显著水平的(32)P(i)。当使用[α-(32)P]ATP时,I≈P未被标记。通过酶促合成纯化得到的I≈P,并利用(31)P核磁共振光谱确定其为焦磷酸。化学合成或酶促合成的[(32)P]焦磷酸能够选择性地磷酸化分子量为145,000和130,000的多肽。以焦磷酸作为磷源的时间进程研究表明只有一个磷酸化阶段,该阶段受到微摩尔水平的ATP以及NaF(5 mM)的强烈抑制。这些研究进一步证实焦磷酸是参与磷酸化第二阶段的磷酸供体。