Suppr超能文献

Tumours of the anterior uvea. II. Intranuclear cytoplasmic inclusions in malignant melanoma of the iris.

作者信息

Sunba M S, Rahi A H, Morgan G

出版信息

Br J Ophthalmol. 1980 Jun;64(6):453-6. doi: 10.1136/bjo.64.6.453.

Abstract

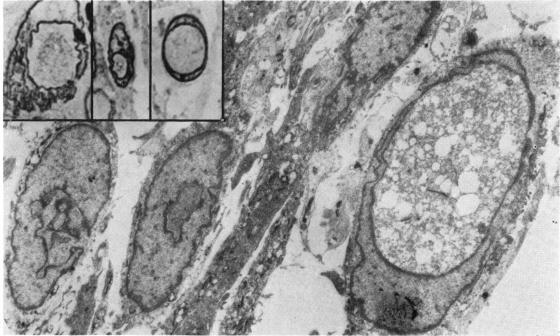
Intranuclear cytoplasmic inclusions have been described previously in both human and animal tissue. So far as we are aware they are described in detail for the first time in this paper in 60 cases of malignant melanoma of the iris, usually in spindle cells. The light microscopic appearances are described, and electron microscopic studies of selected cases show clearly the genesis of these inclusions by cytoplasmic invagination of the nuclear membrane. Their significance is discussed. It is of interest that we have seen identical inclusions in malignant melanomas of the ciliary body, choroid, and conjunctiva but have not as yet reported our findings.

摘要
https://cdn.ncbi.nlm.nih.gov/pmc/blobs/dd72/1043727/7ee7e1e2f4ca/brjopthal00198-0070-a.jpg

文献AI研究员

20分钟写一篇综述,助力文献阅读效率提升50倍。

立即体验

用中文搜PubMed

大模型驱动的PubMed中文搜索引擎

马上搜索

文档翻译

学术文献翻译模型,支持多种主流文档格式。

立即体验