Suppr超能文献

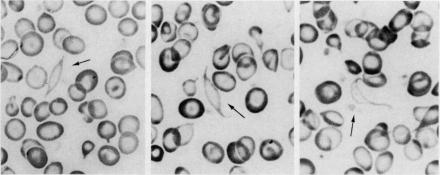
Sickled hypochromic red blood cells.

作者信息

Haddy T B, Castro O L

出版信息

J Natl Med Assoc. 1983 Apr;75(4):423, 426.

Abstract
摘要
https://cdn.ncbi.nlm.nih.gov/pmc/blobs/124f/2561567/dbe88110d0d5/jnma00227-0102-a.jpg

相似文献

1
Sickled hypochromic red blood cells.
J Natl Med Assoc. 1983 Apr;75(4):423, 426.
3
Detection of hemoglobin S polymerization in intact red cells by P-31 NMR.
Biochem Biophys Res Commun. 1980 Dec 31;97(4):1399-406. doi: 10.1016/s0006-291x(80)80022-2.
5
Iron deficiency and sickle cell anemia.
Arch Intern Med. 1983 May;143(5):1030-2.
9
Erythrocyte composition in sickle-cell anemia.
J Lab Clin Med. 1974 Apr;83(4):611-24.

本文引用的文献

3
Overt iron deficiency in sickle cell disease.
Arch Intern Med. 1982 Sep;142(9):1621-4.
4
A study of induced hyponatremia in the prevention and treatment of sickle-cell crisis.
N Engl J Med. 1980 Nov 13;303(20):1138-43. doi: 10.1056/NEJM198011133032002.
5
Iron-deficiency anemia and sickle-cell disease: a hypothesis.
Lancet. 1973 Aug 4;2(7823):260-1. doi: 10.1016/s0140-6736(73)93163-2.

文献AI研究员

20分钟写一篇综述,助力文献阅读效率提升50倍。

立即体验

用中文搜PubMed

大模型驱动的PubMed中文搜索引擎

马上搜索

文档翻译

学术文献翻译模型,支持多种主流文档格式。

立即体验