Carvalho R M, Meirelles M N, de Souza W, Leon W
Infect Immun. 1981 Aug;33(2):546-54. doi: 10.1128/iai.33.2.546-554.1981.
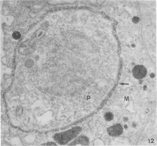
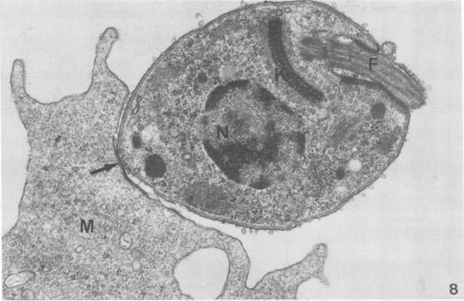
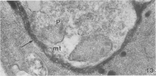
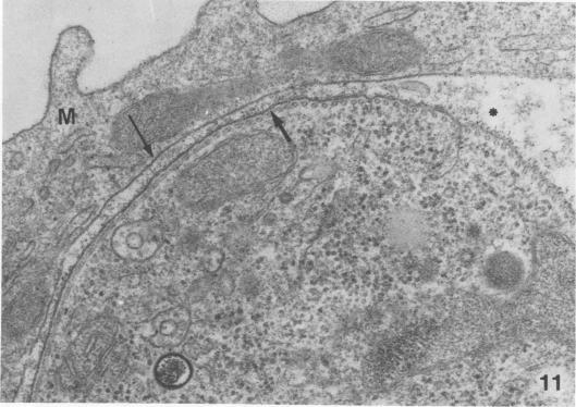
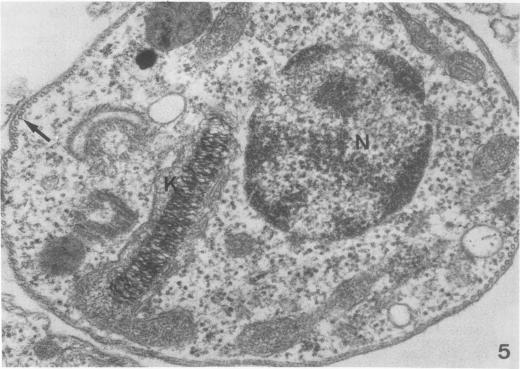
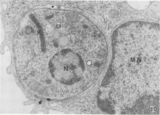
Interaction between Trypanosoma cruzi spheromastigotes (amastigotes) and mouse macrophages was studied. The spheromastigotes, isolated from the spleens of infected mice, were incorporated and digested by the macrophages. By use of horseradish peroxidase labeling of the macrophage lysosomes we showed that fusion of lysosomes with phagocytic vacuoles containing T. cruzi occurred. Parasites showing alterations indicative of digestion were seen inside the phagocytic vacuoles. Our results suggest that intracellular sphermastigotes of T. cruzi, isolated from the spleens of infected mice, and not able to induce a protective infection in mouse macrophages maintained in vitro.
研究了克氏锥虫球形鞭毛体(无鞭毛体)与小鼠巨噬细胞之间的相互作用。从感染小鼠脾脏中分离出的球形鞭毛体被巨噬细胞摄取并消化。通过用辣根过氧化物酶标记巨噬细胞溶酶体,我们发现溶酶体与含有克氏锥虫的吞噬泡发生了融合。在吞噬泡内可见到显示出消化迹象改变的寄生虫。我们的结果表明,从感染小鼠脾脏中分离出的克氏锥虫细胞内球形鞭毛体,在体外培养的小鼠巨噬细胞中不能诱导保护性感染。