Suppr超能文献

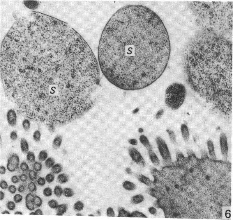
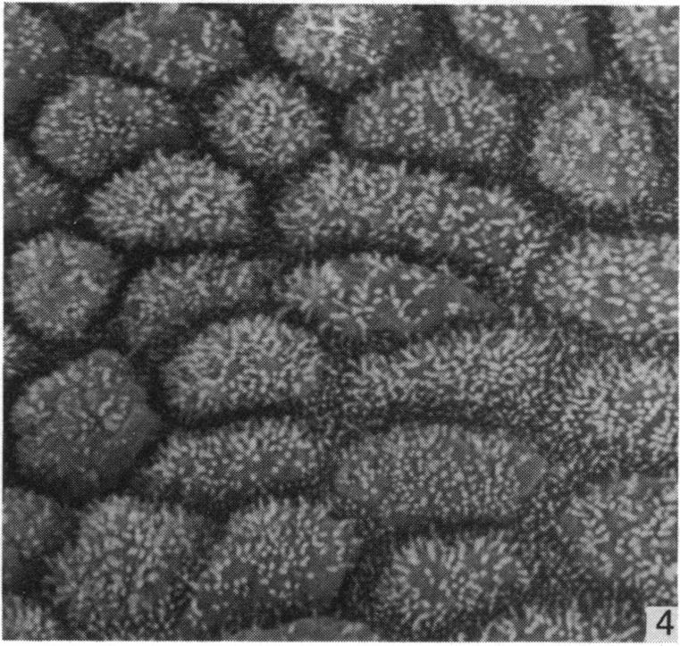
Ultrastructural aspects of uterine secretion during the establishment of pregnancy in the rabbit: role of the egg.

作者信息

Segalen J, Lescoat D, Chambon Y

出版信息

J Anat. 1982 Sep;135(Pt 2):281-9.

Abstract
摘要
https://cdn.ncbi.nlm.nih.gov/pmc/blobs/3b1e/1168233/7a1122e109a6/janat00214-0056-a.jpg

文献AI研究员

20分钟写一篇综述,助力文献阅读效率提升50倍。

立即体验

用中文搜PubMed

大模型驱动的PubMed中文搜索引擎

马上搜索

文档翻译

学术文献翻译模型,支持多种主流文档格式。

立即体验