• 文献检索
  • 文档翻译
  • 深度研究
  • 学术资讯
  • Suppr Zotero 插件Zotero 插件
  • 邀请有礼
  • 套餐&价格
  • 历史记录
应用&插件
Suppr Zotero 插件Zotero 插件浏览器插件Mac 客户端Windows 客户端微信小程序
定价
高级版会员购买积分包购买API积分包
服务
文献检索文档翻译深度研究API 文档MCP 服务
关于我们
关于 Suppr公司介绍联系我们用户协议隐私条款
关注我们

Suppr 超能文献

核心技术专利:CN118964589B侵权必究
粤ICP备2023148730 号-1Suppr @ 2026

文献检索

告别复杂PubMed语法,用中文像聊天一样搜索,搜遍4000万医学文献。AI智能推荐,让科研检索更轻松。

立即免费搜索

文件翻译

保留排版,准确专业,支持PDF/Word/PPT等文件格式,支持 12+语言互译。

免费翻译文档

深度研究

AI帮你快速写综述,25分钟生成高质量综述,智能提取关键信息,辅助科研写作。

立即免费体验

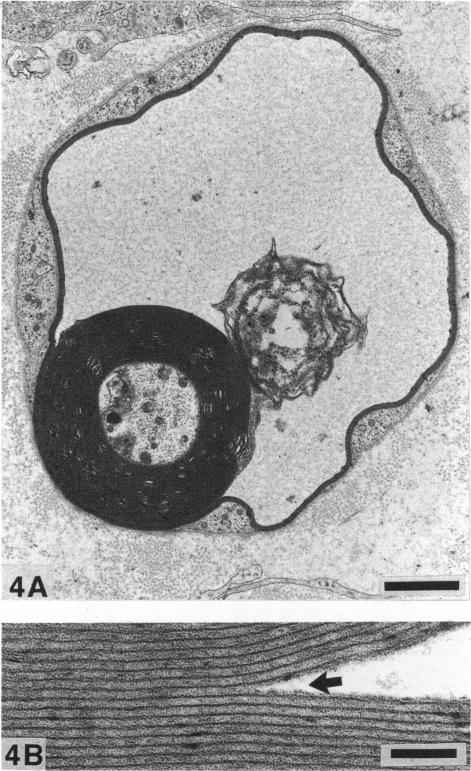
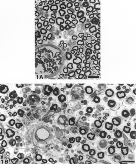
再灌注神经损伤中的血管周围脱髓鞘和髓鞘内水肿。

Perivascular demyelination and intramyelinic oedema in reperfusion nerve injury.

作者信息

Nukada H, McMorran P D

机构信息

Department of Medicine, Univeristy of Otago Medical School, Dunedin, New Zealand.

出版信息

J Anat. 1994 Oct;185 ( Pt 2)(Pt 2):259-66.

PMID:7961132
原文链接:https://pmc.ncbi.nlm.nih.gov/articles/PMC1166755/
Abstract

Nerve ischaemia plays a major role in the development of pathological alterations in various neuropathies, and the effects of ischaemia are amplified by reperfusion in various tissues. While pathological alterations in acutely ischaemic nerve have been established, nerve pathology resulting from reperfusion injury has never been elucidated. To evaluate what cell type in peripheral nerve is affected by reoxygenation following a hypoxic episode, we developed an animal model of transient severe limb ischaemia. Near-complete ischaemia, confirmed by the measurement of nerve blood flow, was achieved by clamping multiple arteries of supply to rat hindlimb. After 3, 5 or 7 h of limb ischaemia, vascular clips were released to reperfuse blood flow. Pathology in sciatic, tibial and peroneal nerves at the lower thigh level was examined at 7 d after reperfusion. All reperfused nerves developed demyelinated nerve fibres, particularly in perivascular regions. Although 3 h of ischaemia followed by reperfusion caused demyelination, perivascular demyelination was more prominent after a longer period of ischaemia with reperfusion. Two types of nerve oedema were observed; endoneurial oedema especially in perivascular and subperineurial spaces, and intramyelinic oedema. Nerve fibres with intramyelinic oedema were not confined to the perivascular region. Swollen endothelial cells in endoneurial vessels were also invariably observed. Nerve ischaemia per se, without reperfusion, did not induce these pathological changes. Because myelin appears to be particularly susceptible to activated free radicals, oxidative stress, activated neutrophils, and cytokine formation seem to be important underlying mechanisms in the development of perivascular demyelination and intramyelinic oedema in ischaemic/reperfused nerves.(ABSTRACT TRUNCATED AT 250 WORDS)

摘要

神经缺血在各种神经病变的病理改变发展过程中起主要作用,并且缺血的影响在各种组织中会因再灌注而放大。虽然急性缺血性神经的病理改变已得到确认,但再灌注损伤导致的神经病理变化从未被阐明。为了评估缺氧发作后外周神经中哪种细胞类型受复氧影响,我们建立了一个短暂性严重肢体缺血的动物模型。通过夹闭大鼠后肢的多条供血动脉实现了近乎完全的缺血,这通过测量神经血流得以证实。肢体缺血3、5或7小时后,松开血管夹以恢复血流。在再灌注7天后检查大腿下部水平的坐骨神经、胫神经和腓总神经的病理情况。所有再灌注的神经都出现了脱髓鞘神经纤维,特别是在血管周围区域。虽然缺血3小时后再灌注会导致脱髓鞘,但长时间缺血后再灌注时血管周围脱髓鞘更为明显。观察到两种类型的神经水肿:特别是在血管周围和神经束膜下间隙的神经内膜水肿,以及髓鞘内水肿。有髓鞘内水肿的神经纤维并不局限于血管周围区域。神经内膜血管中肿胀的内皮细胞也总是能被观察到。单纯的神经缺血,无再灌注,不会诱发这些病理变化。因为髓鞘似乎对活化的自由基特别敏感,氧化应激、活化的中性粒细胞和细胞因子形成似乎是缺血/再灌注神经中血管周围脱髓鞘和髓鞘内水肿发展的重要潜在机制。(摘要截短至250字)

https://cdn.ncbi.nlm.nih.gov/pmc/blobs/25d5/1166755/fc04cadeb31c/janat00136-0025-a.jpg
https://cdn.ncbi.nlm.nih.gov/pmc/blobs/25d5/1166755/4ccff49db62c/janat00136-0022-a.jpg
https://cdn.ncbi.nlm.nih.gov/pmc/blobs/25d5/1166755/f5a36b9e65ff/janat00136-0023-a.jpg
https://cdn.ncbi.nlm.nih.gov/pmc/blobs/25d5/1166755/c4778017f64d/janat00136-0024-a.jpg
https://cdn.ncbi.nlm.nih.gov/pmc/blobs/25d5/1166755/fc04cadeb31c/janat00136-0025-a.jpg
https://cdn.ncbi.nlm.nih.gov/pmc/blobs/25d5/1166755/4ccff49db62c/janat00136-0022-a.jpg
https://cdn.ncbi.nlm.nih.gov/pmc/blobs/25d5/1166755/f5a36b9e65ff/janat00136-0023-a.jpg
https://cdn.ncbi.nlm.nih.gov/pmc/blobs/25d5/1166755/c4778017f64d/janat00136-0024-a.jpg
https://cdn.ncbi.nlm.nih.gov/pmc/blobs/25d5/1166755/fc04cadeb31c/janat00136-0025-a.jpg

相似文献

1
Perivascular demyelination and intramyelinic oedema in reperfusion nerve injury.再灌注神经损伤中的血管周围脱髓鞘和髓鞘内水肿。
J Anat. 1994 Oct;185 ( Pt 2)(Pt 2):259-66.
2
Reperfusion nerve injury: pathology due to reflow and prolonged ischaemia.
J Peripher Nerv Syst. 1997;2(1):60-9.
3
Acute inflammatory demyelination in reperfusion nerve injury.
Ann Neurol. 2000 Jan;47(1):71-9.
4
Peripheral nerve ischemia: reperfusion injury and fiber regeneration.周围神经缺血:再灌注损伤与纤维再生
Exp Neurol. 2003 Dec;184(2):997-1002. doi: 10.1016/S0014-4886(03)00385-6.
5
Ischemic reperfusion causes lipid peroxidation and fiber degeneration.缺血再灌注会导致脂质过氧化和纤维变性。
Muscle Nerve. 1996 Jan;19(1):37-47. doi: 10.1002/mus.880190103.
6
Increased susceptibility to ischemia and macrophage activation in STZ-diabetic rat nerve.链脲佐菌素诱导糖尿病大鼠神经易感性增加和巨噬细胞激活。
Brain Res. 2011 Feb 10;1373:172-82. doi: 10.1016/j.brainres.2010.11.084. Epub 2010 Dec 4.
7
Hypothermic neuroprotection of peripheral nerve of rats from ischaemia-reperfusion injury.低温对大鼠周围神经缺血再灌注损伤的神经保护作用
Brain. 1999 Jan;122 ( Pt 1):161-9. doi: 10.1093/brain/122.1.161.
8
Orchestration of the inflammatory response in ischemia-reperfusion injury.缺血再灌注损伤中炎症反应的调控
J Peripher Nerv Syst. 2007 Jun;12(2):131-8. doi: 10.1111/j.1529-8027.2007.00132.x.
9
Pathology of acute and chronic ischaemic neuropathy in atherosclerotic peripheral vascular disease.
Brain. 1996 Oct;119 ( Pt 5):1449-60. doi: 10.1093/brain/119.5.1449.
10
Subperineurial demyelination associated with reduced nerve blood flow and oxygen tension after epineurial vascular stripping.神经外膜血管剥脱术后神经束膜下脱髓鞘与神经血流及氧分压降低相关。
Lab Invest. 1991 Jul;65(1):41-50.

引用本文的文献

1
Micro-diffusely abnormal white matter: An early multiple sclerosis lesion phase with intensified myelin blistering.微弥散异常的白质:多发性硬化症的早期病变阶段,伴有髓鞘泡状强化。
Ann Clin Transl Neurol. 2024 Apr;11(4):973-988. doi: 10.1002/acn3.52015. Epub 2024 Feb 29.
2
Ulnar Nerve Palsy as COVID-19 Sequelae in 3 Patients.3例新冠后遗症患者出现尺神经麻痹
J Hand Surg Glob Online. 2022 May;4(3):181-183. doi: 10.1016/j.jhsg.2021.12.003. Epub 2021 Dec 25.
3
Efficacy of nonviral gene transfer of human hepatocyte growth factor (HGF) against ischemic-reperfusion nerve injury in rats.

本文引用的文献

1
SCHWANN-CELL ABNORMALITIES IN DIABETIC NEUROPATHY.糖尿病性神经病变中的施万细胞异常
Lancet. 1965 Jun 26;1(7400):1355-7. doi: 10.1016/s0140-6736(65)92154-9.
2
Ischaemic and post-ischaemic paraesthesiae; normal responses in the upper limb with special reference to the effect of age.缺血性及缺血后感觉异常;上肢的正常反应,特别提及年龄的影响。
J Neurol Neurosurg Psychiatry. 1956 May;19(2):148-54. doi: 10.1136/jnnp.19.2.148.
3
Neuropathy in peripheral vascular disease; it bearing on diabetic neuropathy.外周血管疾病中的神经病变;与糖尿病性神经病变的关系。
非病毒基因转染人肝细胞生长因子(HGF)对大鼠缺血再灌注神经损伤的疗效。
PLoS One. 2020 Aug 11;15(8):e0237156. doi: 10.1371/journal.pone.0237156. eCollection 2020.
4
Does Diabetes Mellitus Influence Carpal Tunnel Syndrome?糖尿病会影响腕管综合征吗?
J Clin Neurol. 2017 Jul;13(3):243-249. doi: 10.3988/jcn.2017.13.3.243.
5
A novel method for measuring hydraulic conductivity at the human blood-nerve barrier in vitro.一种体外测量人血神经屏障水力传导率的新方法。
Microvasc Res. 2017 Jan;109:1-6. doi: 10.1016/j.mvr.2016.08.005. Epub 2016 Aug 31.
6
Acute and chronic nociceptive phases observed in a rat hind paw ischemia/reperfusion model depend on different mechanisms.在大鼠后爪缺血/再灌注模型中观察到的急性和慢性伤害性阶段取决于不同的机制。
Pflugers Arch. 2016 Feb;468(2):229-41. doi: 10.1007/s00424-015-1746-9. Epub 2015 Oct 21.
7
Positioning patients for spine surgery: Avoiding uncommon position-related complications.脊柱手术患者的体位摆放:避免不常见的体位相关并发症。
World J Orthop. 2014 Sep 18;5(4):425-43. doi: 10.5312/wjo.v5.i4.425.
8
Effects of α-MSH on ischemia/reperfusion injury in the rat sciatic nerve.α-黑素细胞刺激素对大鼠坐骨神经缺血/再灌注损伤的影响。
Surg Neurol Int. 2012;3:74. doi: 10.4103/2152-7806.98501. Epub 2012 Jul 14.
9
Ischemic preconditioning reduces the severity of ischemia-reperfusion injury of peripheral nerve in rats.缺血预处理可减轻大鼠周围神经缺血再灌注损伤的严重程度。
J Brachial Plex Peripher Nerve Inj. 2006 Sep 29;1:2. doi: 10.1186/1749-7221-1-2.
10
Diabetes mellitus and the nervous system.糖尿病与神经系统。
J Neurol Neurosurg Psychiatry. 1998 Nov;65(5):620-32. doi: 10.1136/jnnp.65.5.620.
Q J Med. 1956 Apr;25(98):267-74.
4
Spatial distribution of nerve injury after occlusion of individual major vessels in rat sciatic nerves.大鼠坐骨神经中各主要血管闭塞后神经损伤的空间分布。
J Neuropathol Exp Neurol. 1993 Sep;52(5):452-9. doi: 10.1097/00005072-199309000-00003.
5
Segmental demyelination and remyelination in lumbar spinal roots of patients dying with diabetes mellitus.糖尿病死亡患者腰段脊神经根的节段性脱髓鞘与再髓鞘化
Ann Neurol. 1983 May;13(5):541-8. doi: 10.1002/ana.410130512.
6
Leukocyte capillary plugging in myocardial ischemia and reperfusion in the dog.犬心肌缺血再灌注时的白细胞毛细血管阻塞
Am J Pathol. 1983 Apr;111(1):98-111.
7
Endoneurial blood flow and oxygen tension in the sciatic nerves of rats with experimental diabetic neuropathy.实验性糖尿病性神经病变大鼠坐骨神经的神经内膜血流及氧张力
Brain. 1984 Sep;107 ( Pt 3):935-50. doi: 10.1093/brain/107.3.935.
8
Microsphere embolization of nerve capillaries and fiber degeneration.神经毛细血管的微球栓塞与纤维变性
Am J Pathol. 1984 May;115(2):275-87.
9
Schwann cell changes and demyelination in chronic galactose neuropathy.慢性半乳糖神经病中的施万细胞变化与脱髓鞘
Muscle Nerve. 1983 Mar-Apr;6(3):218-27. doi: 10.1002/mus.880060309.
10
Ischemic monomelic neuropathy.缺血性单肢神经病
Neurology. 1983 Apr;33(4):447-51. doi: 10.1212/wnl.33.4.447.