• 文献检索
  • 文档翻译
  • 深度研究
  • 学术资讯
  • Suppr Zotero 插件Zotero 插件
  • 邀请有礼
  • 套餐&价格
  • 历史记录
应用&插件
Suppr Zotero 插件Zotero 插件浏览器插件Mac 客户端Windows 客户端微信小程序
定价
高级版会员购买积分包购买API积分包
服务
文献检索文档翻译深度研究API 文档MCP 服务
关于我们
关于 Suppr公司介绍联系我们用户协议隐私条款
关注我们

Suppr 超能文献

核心技术专利:CN118964589B侵权必究
粤ICP备2023148730 号-1Suppr @ 2026

文献检索

告别复杂PubMed语法,用中文像聊天一样搜索,搜遍4000万医学文献。AI智能推荐,让科研检索更轻松。

立即免费搜索

文件翻译

保留排版,准确专业,支持PDF/Word/PPT等文件格式,支持 12+语言互译。

免费翻译文档

深度研究

AI帮你快速写综述,25分钟生成高质量综述,智能提取关键信息,辅助科研写作。

立即免费体验

鉴定一个指导集落刺激因子1(巨噬细胞集落刺激因子)受体启动子单核细胞活性并与PEBP2/CBF(AML1)结合的区域。

Identification of a region which directs the monocytic activity of the colony-stimulating factor 1 (macrophage colony-stimulating factor) receptor promoter and binds PEBP2/CBF (AML1).

作者信息

Zhang D E, Fujioka K, Hetherington C J, Shapiro L H, Chen H M, Look A T, Tenen D G

机构信息

Department of Medicine, Beth Israel Hospital, Boston, Massachusetts.

出版信息

Mol Cell Biol. 1994 Dec;14(12):8085-95. doi: 10.1128/mcb.14.12.8085-8095.1994.

DOI:10.1128/mcb.14.12.8085-8095.1994
PMID:7969146
原文链接:https://pmc.ncbi.nlm.nih.gov/articles/PMC359347/
Abstract

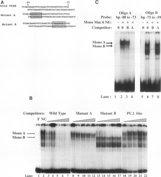
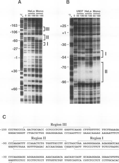
The receptor for the macrophage colony-stimulating factor (or colony-stimulating factor 1 [CSF-1]) is expressed from different promoters in monocytic cells and placental trophoblasts. We have demonstrated that the monocyte-specific expression of the CSF-1 receptor is regulated at the level of transcription by a tissue-specific promoter whose activity is stimulated by the monocyte/B-cell-specific transcription factor PU.1 (D.-E. Zhang, C.J. Hetherington, H.-M. Chen, and D.G. Tenen, Mol. Cell. Biol. 14:373-381, 1994). Here we report that the tissue specificity of this promoter is also mediated by sequences in a region II (bp -88 to -59), which lies 10 bp upstream from the PU.1-binding site. When analyzed by DNase footprinting, region II was protected preferentially in monocytic cells. Electrophoretic mobility shift assays confirmed that region II interacts specifically with nuclear proteins from monocytic cells. Two gel shift complexes (Mono A and Mono B) were formed with separate sequence elements within this region. Competition and supershift experiments indicate that Mono B contains a member of the polyomavirus enhancer-binding protein 2/core-binding factor (PEBP2/CBF) family, which includes the AML1 gene product, while Mono A is a distinct complex preferentially expressed in monocytic cells. Promoter constructs with mutations in these sequence elements were no longer expressed specifically in monocytes. Furthermore, multimerized region II sequence elements enhanced the activity of a heterologous thymidine kinase promoter in monocytic cells but not other cell types tested. These results indicate that the monocyte/B-cell-specific transcription factor PU.1 and the Mono A and Mono B protein complexes act in concert to regulate monocyte-specific transcription of the CSF-1 receptor.

摘要

巨噬细胞集落刺激因子(或集落刺激因子1 [CSF-1])的受体在单核细胞和胎盘滋养层细胞中由不同的启动子表达。我们已经证明,CSF-1受体的单核细胞特异性表达在转录水平上由一个组织特异性启动子调控,其活性受到单核细胞/B细胞特异性转录因子PU.1的刺激(张D.-E.、赫瑟林顿C.J.、陈H.-M.和特嫩D.G.,《分子细胞生物学》14:373 - 381,1994年)。在此我们报告,该启动子的组织特异性也由区域II(碱基对-88至-59)中的序列介导,该区域位于PU.1结合位点上游10个碱基对处。通过DNA酶足迹分析,区域II在单核细胞中优先受到保护。电泳迁移率变动分析证实区域II与单核细胞的核蛋白特异性相互作用。在该区域内的不同序列元件形成了两种凝胶迁移复合物(Mono A和Mono B)。竞争和超迁移实验表明,Mono B包含多瘤病毒增强子结合蛋白2/核心结合因子(PEBP2/CBF)家族的一个成员,其中包括AML1基因产物,而Mono A是一种在单核细胞中优先表达的独特复合物。这些序列元件发生突变的启动子构建体不再在单核细胞中特异性表达。此外,多聚化的区域II序列元件增强了异源胸苷激酶启动子在单核细胞中的活性,但在其他测试的细胞类型中则不然。这些结果表明,单核细胞/B细胞特异性转录因子PU.1以及Mono A和Mono B蛋白复合物协同作用来调控CSF-1受体的单核细胞特异性转录。

https://cdn.ncbi.nlm.nih.gov/pmc/blobs/7652/359347/09674d2300ae/molcellb00012-0424-b.jpg
https://cdn.ncbi.nlm.nih.gov/pmc/blobs/7652/359347/3e1fff755d26/molcellb00012-0420-a.jpg
https://cdn.ncbi.nlm.nih.gov/pmc/blobs/7652/359347/c1107056f1ca/molcellb00012-0421-a.jpg
https://cdn.ncbi.nlm.nih.gov/pmc/blobs/7652/359347/2bdde717a8a9/molcellb00012-0422-a.jpg
https://cdn.ncbi.nlm.nih.gov/pmc/blobs/7652/359347/eba38af7288d/molcellb00012-0423-a.jpg
https://cdn.ncbi.nlm.nih.gov/pmc/blobs/7652/359347/b689707b8a93/molcellb00012-0424-a.jpg
https://cdn.ncbi.nlm.nih.gov/pmc/blobs/7652/359347/09674d2300ae/molcellb00012-0424-b.jpg
https://cdn.ncbi.nlm.nih.gov/pmc/blobs/7652/359347/3e1fff755d26/molcellb00012-0420-a.jpg
https://cdn.ncbi.nlm.nih.gov/pmc/blobs/7652/359347/c1107056f1ca/molcellb00012-0421-a.jpg
https://cdn.ncbi.nlm.nih.gov/pmc/blobs/7652/359347/2bdde717a8a9/molcellb00012-0422-a.jpg
https://cdn.ncbi.nlm.nih.gov/pmc/blobs/7652/359347/eba38af7288d/molcellb00012-0423-a.jpg
https://cdn.ncbi.nlm.nih.gov/pmc/blobs/7652/359347/b689707b8a93/molcellb00012-0424-a.jpg
https://cdn.ncbi.nlm.nih.gov/pmc/blobs/7652/359347/09674d2300ae/molcellb00012-0424-b.jpg

相似文献

1
Identification of a region which directs the monocytic activity of the colony-stimulating factor 1 (macrophage colony-stimulating factor) receptor promoter and binds PEBP2/CBF (AML1).鉴定一个指导集落刺激因子1(巨噬细胞集落刺激因子)受体启动子单核细胞活性并与PEBP2/CBF(AML1)结合的区域。
Mol Cell Biol. 1994 Dec;14(12):8085-95. doi: 10.1128/mcb.14.12.8085-8095.1994.
2
CCAAT enhancer-binding protein (C/EBP) and AML1 (CBF alpha2) synergistically activate the macrophage colony-stimulating factor receptor promoter.CCAAT增强子结合蛋白(C/EBP)和AML1(CBFα2)协同激活巨噬细胞集落刺激因子受体启动子。
Mol Cell Biol. 1996 Mar;16(3):1231-40. doi: 10.1128/MCB.16.3.1231.
3
PEBP2/CBF, the murine homolog of the human myeloid AML1 and PEBP2 beta/CBF beta proto-oncoproteins, regulates the murine myeloperoxidase and neutrophil elastase genes in immature myeloid cells.PEBP2/CBF是人类髓系AML1和PEBP2β/CBFβ原癌蛋白的小鼠同源物,可调节未成熟髓系细胞中的小鼠髓过氧化物酶和中性粒细胞弹性蛋白酶基因。
Mol Cell Biol. 1994 Aug;14(8):5558-68. doi: 10.1128/mcb.14.8.5558-5568.1994.
4
Positive and negative regulation of granulocyte-macrophage colony-stimulating factor promoter activity by AML1-related transcription factor, PEBP2.AML1相关转录因子PEBP2对粒细胞-巨噬细胞集落刺激因子启动子活性的正负调控
Blood. 1995 Jul 15;86(2):607-16.
5
The macrophage transcription factor PU.1 directs tissue-specific expression of the macrophage colony-stimulating factor receptor.巨噬细胞转录因子PU.1指导巨噬细胞集落刺激因子受体的组织特异性表达。
Mol Cell Biol. 1994 Jan;14(1):373-81. doi: 10.1128/mcb.14.1.373-381.1994.
6
PU.1 (Spi-1) and C/EBP alpha regulate expression of the granulocyte-macrophage colony-stimulating factor receptor alpha gene.PU.1(Spi-1)和C/EBPα调节粒细胞-巨噬细胞集落刺激因子受体α基因的表达。
Mol Cell Biol. 1995 Oct;15(10):5830-45. doi: 10.1128/MCB.15.10.5830.
7
ATF and Jun transcription factors, acting through an Ets/CRE promoter module, mediate lipopolysaccharide inducibility of the chemokine RANTES in monocytic Mono Mac 6 cells.ATF和Jun转录因子通过Ets/CRE启动子模块发挥作用,介导单核细胞系Mono Mac 6细胞中趋化因子RANTES的脂多糖诱导性。
Eur J Immunol. 2000 Apr;30(4):1102-12. doi: 10.1002/(SICI)1521-4141(200004)30:4<1102::AID-IMMU1102>3.0.CO;2-X.
8
Structural and functional characterization of the human CD36 gene promoter: identification of a proximal PEBP2/CBF site.人类CD36基因启动子的结构与功能特征:近端PEBP2/CBF位点的鉴定
J Biol Chem. 1996 Mar 29;271(13):7781-7. doi: 10.1074/jbc.271.13.7781.
9
Multiple functional domains of AML1: PU.1 and C/EBPalpha synergize with different regions of AML1.AML1的多个功能域:PU.1和C/EBPα与AML1的不同区域协同作用。
Mol Cell Biol. 1998 Jul;18(7):3915-25. doi: 10.1128/MCB.18.7.3915.
10
AML1/Runx1 recruits calcineurin to regulate granulocyte macrophage colony-stimulating factor by Ets1 activation.AML1/Runx1通过激活Ets1募集钙调神经磷酸酶来调节粒细胞巨噬细胞集落刺激因子。
J Biol Chem. 2004 Jul 9;279(28):29398-408. doi: 10.1074/jbc.M403173200. Epub 2004 Apr 27.

引用本文的文献

1
Identification and characterization of enhancer elements controlling cell type-specific and signalling dependent chromatin programming during hematopoietic development.造血发育过程中控制细胞类型特异性和信号依赖染色质编程的增强子元件的鉴定与表征
Stem Cell Investig. 2023 Jun 25;10:14. doi: 10.21037/sci-2023-011. eCollection 2023.
2
Deep genomic characterization highlights complexities and prognostic markers of pediatric acute myeloid leukemia.深度基因组特征分析揭示了儿科急性髓细胞白血病的复杂性和预后标志物。
Commun Biol. 2023 Mar 31;6(1):356. doi: 10.1038/s42003-023-04732-2.
3
RUNX1-ETO: Attacking the Epigenome for Genomic Instable Leukemia.

本文引用的文献

1
Differentiation and proliferation of hematopoietic stem cells.造血干细胞的分化与增殖。
Blood. 1993 Jun 1;81(11):2844-53.
2
Cloning and characterization of subunits of the T-cell receptor and murine leukemia virus enhancer core-binding factor.T细胞受体和鼠白血病病毒增强子核心结合因子亚基的克隆与特性分析
Mol Cell Biol. 1993 Jun;13(6):3324-39. doi: 10.1128/mcb.13.6.3324-3339.1993.
3
Expression of mRNA encoding the macrophage colony-stimulating factor receptor (c-fms) is controlled by a constitutive promoter and tissue-specific transcription elongation.
RUNX1-ETO:针对基因组不稳定白血病的表观基因组攻击。
Int J Mol Sci. 2019 Jan 16;20(2):350. doi: 10.3390/ijms20020350.
4
C/EBPβ is required for survival of Ly6C monocytes.C/EBPβ是Ly6C单核细胞存活所必需的。
Blood. 2017 Oct 19;130(16):1809-1818. doi: 10.1182/blood-2017-03-772962. Epub 2017 Aug 14.
5
Action mechanisms of histone deacetylase inhibitors in the treatment of hematological malignancies.组蛋白去乙酰化酶抑制剂在血液系统恶性肿瘤治疗中的作用机制。
Cancer Sci. 2016 Nov;107(11):1543-1549. doi: 10.1111/cas.13062. Epub 2016 Nov 4.
6
Identification of the microRNA networks contributing to macrophage differentiation and function.对参与巨噬细胞分化和功能的微小RNA网络的鉴定。
Oncotarget. 2016 May 17;7(20):28806-20. doi: 10.18632/oncotarget.8933.
7
E2A Antagonizes PU.1 Activity through Inhibition of DNA Binding.E2A通过抑制DNA结合来拮抗PU.1活性。
Biomed Res Int. 2016;2016:3983686. doi: 10.1155/2016/3983686. Epub 2016 Jan 28.
8
Loss of RUNX1/AML1 arginine-methylation impairs peripheral T cell homeostasis.RUNX1/AML1精氨酸甲基化的缺失会损害外周T细胞稳态。
Br J Haematol. 2015 Sep;170(6):859-73. doi: 10.1111/bjh.13499. Epub 2015 May 26.
9
Pharmacological targeting of miR-155 via the NEDD8-activating enzyme inhibitor MLN4924 (Pevonedistat) in FLT3-ITD acute myeloid leukemia.通过NEDD8激活酶抑制剂MLN4924(培沃替尼)对FLT3-ITD急性髓系白血病进行miR-155的药理学靶向治疗。
Leukemia. 2015 Oct;29(10):1981-92. doi: 10.1038/leu.2015.106. Epub 2015 May 14.
10
Targeting cell cycle regulators in hematologic malignancies.靶向血液系统恶性肿瘤中的细胞周期调节剂。
Front Cell Dev Biol. 2015 Apr 9;3:16. doi: 10.3389/fcell.2015.00016. eCollection 2015.
编码巨噬细胞集落刺激因子受体(c-fms)的mRNA的表达受组成型启动子和组织特异性转录延伸的控制。
Mol Cell Biol. 1993 Jun;13(6):3191-201. doi: 10.1128/mcb.13.6.3191-3201.1993.
4
Identification of AML-1 and the (8;21) translocation protein (AML-1/ETO) as sequence-specific DNA-binding proteins: the runt homology domain is required for DNA binding and protein-protein interactions.将AML-1及(8;21)易位蛋白(AML-1/ETO)鉴定为序列特异性DNA结合蛋白:DNA结合及蛋白质-蛋白质相互作用需要 runt 同源结构域。
Mol Cell Biol. 1993 Oct;13(10):6336-45. doi: 10.1128/mcb.13.10.6336-6345.1993.
5
Cooperative binding of Ets-1 and core binding factor to DNA.Ets-1与核心结合因子对DNA的协同结合。
Mol Cell Biol. 1994 Jan;14(1):840-50. doi: 10.1128/mcb.14.1.840-850.1994.
6
Regulation of the T-cell receptor delta enhancer by functional cooperation between c-Myb and core-binding factors.c-Myb与核心结合因子之间的功能协作对T细胞受体δ增强子的调控
Mol Cell Biol. 1994 Jan;14(1):473-83. doi: 10.1128/mcb.14.1.473-483.1994.
7
The macrophage transcription factor PU.1 directs tissue-specific expression of the macrophage colony-stimulating factor receptor.巨噬细胞转录因子PU.1指导巨噬细胞集落刺激因子受体的组织特异性表达。
Mol Cell Biol. 1994 Jan;14(1):373-81. doi: 10.1128/mcb.14.1.373-381.1994.
8
The role of macrophages in antigen presentation and T cell tolerance.巨噬细胞在抗原呈递和T细胞耐受性中的作用。
Int Immunol. 1993 Sep;5(9):1023-33. doi: 10.1093/intimm/5.9.1023.
9
The Sp1 transcription factor binds the CD11b promoter specifically in myeloid cells in vivo and is essential for myeloid-specific promoter activity.Sp1转录因子在体内髓系细胞中特异性结合CD11b启动子,并且对于髓系特异性启动子活性至关重要。
J Biol Chem. 1993 Apr 15;268(11):8230-9.
10
The proto-oncogene PU.1 regulates expression of the myeloid-specific CD11b promoter.原癌基因PU.1调节髓系特异性CD11b启动子的表达。
J Biol Chem. 1993 Mar 5;268(7):5014-20.