Suppr超能文献

携带大鼠C3(1)猿猴病毒40大肿瘤抗原融合基因的转基因小鼠中的前列腺癌和乳腺癌

Prostate and mammary adenocarcinoma in transgenic mice carrying a rat C3(1) simian virus 40 large tumor antigen fusion gene.

作者信息

Maroulakou I G, Anver M, Garrett L, Green J E

机构信息

Laboratory of Molecular Oncology, National Cancer Institute, Frederick, MD 21702-1201.

出版信息

Proc Natl Acad Sci U S A. 1994 Nov 8;91(23):11236-40. doi: 10.1073/pnas.91.23.11236.

Abstract

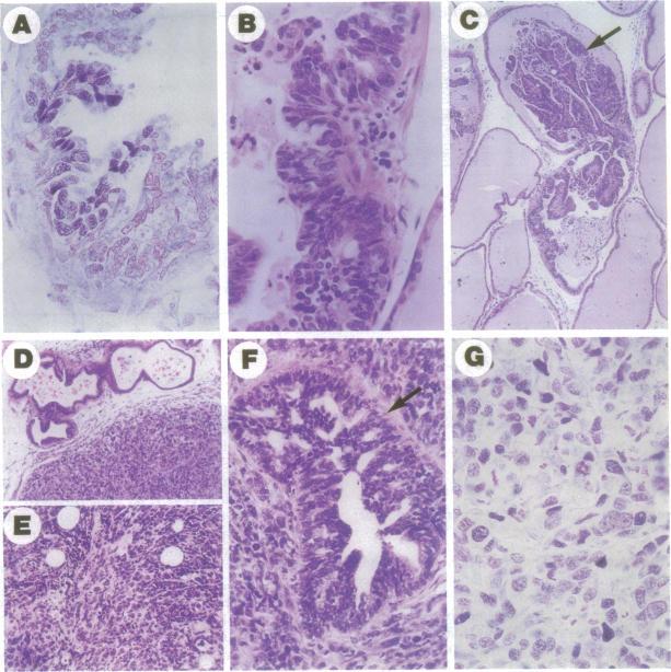
A transgenic mouse model for prostate and mammary cancer has been developed in mice containing a recombinant gene expressing the simian virus 40 early-region transforming sequences under the regulatory control of the rat prostatic steroid binding protein [C3(1)] gene. Male transgenic mice develop prostatic hyperplasia in early life that progresses to adenoma or adenocarcinoma in most animals surviving to longer than 7 months of age. Prostate cancer metastases to lung have been observed. Female animals from the same founder lines generally develop mammary hyperplasia by 3 months of age with subsequent development of mammary adenocarcinoma by 6 months of age in 100% of the animals. The development of tumors correlates with the expression of the transgene as determined by Northern blot and immunohistochemical analyses. The results of these experiments demonstrate that the C3(1) regulatory region used in these experiments is useful for targeting expression to the prostate and mammary gland. To our knowledge, this experimental system is the first reported transgenic mouse model for prostate cancer. These transgenic animals offer the opportunity to study hormone response elements in vivo and the multistage progression from normal tissue to carcinoma in the prostate and mammary glands.

摘要

已在小鼠中建立了一种前列腺癌和乳腺癌转基因小鼠模型,这些小鼠含有一个重组基因,该基因在大鼠前列腺类固醇结合蛋白[C3(1)]基因的调控下表达猿猴病毒40早期区域转化序列。雄性转基因小鼠在生命早期出现前列腺增生,在大多数存活超过7个月的动物中进展为腺瘤或腺癌。已观察到前列腺癌转移至肺部。来自同一奠基系的雌性动物通常在3月龄时出现乳腺增生,100%的动物在6月龄时随后发展为乳腺腺癌。通过Northern印迹和免疫组化分析确定,肿瘤的发生与转基因的表达相关。这些实验结果表明,这些实验中使用的C3(1)调控区可用于将表达靶向至前列腺和乳腺。据我们所知,该实验系统是首个报道的前列腺癌转基因小鼠模型。这些转基因动物为在体内研究激素反应元件以及前列腺和乳腺从正常组织到癌的多阶段进展提供了机会。

https://cdn.ncbi.nlm.nih.gov/pmc/blobs/e662/45202/e523c101a9c9/pnas01145-0489-a.jpg

文献检索

告别复杂PubMed语法,用中文像聊天一样搜索,搜遍4000万医学文献。AI智能推荐,让科研检索更轻松。

立即免费搜索

文件翻译

保留排版,准确专业,支持PDF/Word/PPT等文件格式,支持 12+语言互译。

免费翻译文档

深度研究

AI帮你快速写综述,25分钟生成高质量综述,智能提取关键信息,辅助科研写作。

立即免费体验