Suppr超能文献

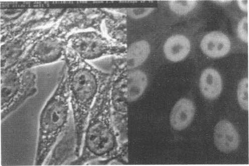
五聚体蛋白与不同核结构的结合:C反应蛋白与小核核糖核蛋白颗粒结合,血清淀粉样蛋白P成分与染色质和核仁结合。

Binding of pentraxins to different nuclear structures: C-reactive protein binds to small nuclear ribonucleoprotein particles, serum amyloid P component binds to chromatin and nucleoli.

作者信息

Pepys M B, Booth S E, Tennent G A, Butler P J, Williams D G

机构信息

Immunological Medicine Unit, Royal Postgraduate Medical School, London, UK.

出版信息

Clin Exp Immunol. 1994 Jul;97(1):152-7. doi: 10.1111/j.1365-2249.1994.tb06594.x.

Abstract

Binding of the human pentraxin plasma proteins, C-reactive protein (CRP) and serum amyloid P component (SAP), to the nuclei of human cells was studied using whole acute phase serum as the source of the proteins and confocal immunofluorescence microscopy. CRP and SAP clearly bound to distinct, different structures. Double staining with MoAbs to the Sm D and Sm B/B' components of small nuclear ribonucleoproteins confirmed that CRP bound exclusively to these particles. As expected, SAP bound to chromatin and, in addition, binding to the nucleolus was observed for the first time. These interactions demonstrated under relatively physiological conditions, with native pentraxins unseparated from serum and with nuclear constituents in situ, are likely to be of functional importance in vivo.

摘要

利用全急性期血清作为蛋白质来源,通过共聚焦免疫荧光显微镜研究了人五聚体血浆蛋白C反应蛋白(CRP)和血清淀粉样蛋白P成分(SAP)与人细胞核的结合。CRP和SAP明显结合于不同的结构。用针对小核核糖核蛋白的Sm D和Sm B/B'成分的单克隆抗体进行双重染色,证实CRP仅与这些颗粒结合。正如预期的那样,SAP与染色质结合,此外,首次观察到SAP与核仁结合。在相对生理条件下,天然五聚体未与血清分离且核成分处于原位时所证明的这些相互作用,在体内可能具有功能重要性。

https://cdn.ncbi.nlm.nih.gov/pmc/blobs/0595/1534802/87d498463e4e/clinexpimmunol00027-0155-a.jpg

相似文献

2
Pentraxin binding to isolated rat liver nuclei.
Biochem J. 1991 Oct 1;279 ( Pt 1)(Pt 1):257-62. doi: 10.1042/bj2790257.
6
Human serum amyloid P-component (SAP) selectively binds to immobilized or bound forms of C-reactive protein (CRP).
Biochim Biophys Acta. 1992 Dec 28;1160(3):309-16. doi: 10.1016/0167-4838(92)90093-s.
8
Serum amyloid P component and C-reactive protein mediate phagocytosis through murine Fc gamma Rs.
J Immunol. 2001 Jan 15;166(2):1200-5. doi: 10.4049/jimmunol.166.2.1200.
9
Three pentraxins C-reactive protein, serum amyloid p component and pentraxin 3 mediate complement activation using Collectin CL-P1.
Biochim Biophys Acta Gen Subj. 2017 Feb;1861(2):1-14. doi: 10.1016/j.bbagen.2016.11.023. Epub 2016 Nov 15.
10
The Pentraxins 1975-2018: Serendipity, Diagnostics and Drugs.
Front Immunol. 2018 Oct 16;9:2382. doi: 10.3389/fimmu.2018.02382. eCollection 2018.

引用本文的文献

1
Effectiveness of functional ingredients to enhance gill disease in Atlantic salmon (Salmo salar, L.).
PLoS One. 2024 Jun 20;19(6):e0304112. doi: 10.1371/journal.pone.0304112. eCollection 2024.
3
Dementia in the older population is associated with neocortex content of serum amyloid P component.
Brain Commun. 2021 Oct 9;3(4):fcab225. doi: 10.1093/braincomms/fcab225. eCollection 2021.
4
Serum amyloid P component: a new biomarker for low sperm concentration?
Asian J Androl. 2021 Sep-Oct;23(5):450-455. doi: 10.4103/aja.aja_7_21.
5
Therapeutic Lowering of C-Reactive Protein.
Front Immunol. 2021 Jan 29;11:619564. doi: 10.3389/fimmu.2020.619564. eCollection 2020.
6
IgG and Fcγ Receptors in Intestinal Immunity and Inflammation.
Front Immunol. 2019 Apr 12;10:805. doi: 10.3389/fimmu.2019.00805. eCollection 2019.
7
The Pentraxins 1975-2018: Serendipity, Diagnostics and Drugs.
Front Immunol. 2018 Oct 16;9:2382. doi: 10.3389/fimmu.2018.02382. eCollection 2018.
8
Serum Amyloid P Component and Systemic Fungal Infection: Does It Protect the Host or Is It a Trojan Horse?
Open Forum Infect Dis. 2016 Aug 3;3(3):ofw166. doi: 10.1093/ofid/ofw166. eCollection 2016 Sep.
10
Pentraxins and Fc receptors.
Immunol Rev. 2012 Nov;250(1):230-8. doi: 10.1111/j.1600-065X.2012.01162.x.

本文引用的文献

5
Lupus autoantibodies to native DNA cross-react with the A and D SnRNP polypeptides.
J Clin Invest. 1994 Jan;93(1):443-9. doi: 10.1172/JCI116980.
6
Interrelationship between autoepitope, DNA-binding domain, and CRP-binding domain on a histone H1 molecule.
Clin Immunol Immunopathol. 1993 Mar;66(3):269-71. doi: 10.1006/clin.1993.1035.
7
Amyloid P component is located on elastic fibre microfibrils in normal human tissue.
Nature. 1981 Oct 22;293(5834):652-4. doi: 10.1038/293652a0.
8
The acute-phase response in (NZB X NZW)F1 and MRL/l MICE.
J Exp Med. 1982 Oct 1;156(4):1268-73. doi: 10.1084/jem.156.4.1268.
9
Isolation of human C-reactive protein and serum amyloid P component.
J Immunol Methods. 1982;50(1):17-31. doi: 10.1016/0022-1759(82)90300-3.
10
Phylogenetic aspects of C-reactive protein and related proteins.
Ann N Y Acad Sci. 1982;389:49-75. doi: 10.1111/j.1749-6632.1982.tb22125.x.

文献AI研究员

20分钟写一篇综述,助力文献阅读效率提升50倍。

立即体验

用中文搜PubMed

大模型驱动的PubMed中文搜索引擎

马上搜索

文档翻译

学术文献翻译模型,支持多种主流文档格式。

立即体验