Suppr超能文献

与人类II型Fcγ受体紧密相关的蛋白酪氨酸激酶活性。

Protein-tyrosine kinase activity tightly associated with human type II Fc gamma receptors.

作者信息

Sármay G, Pecht I, Gergely J

机构信息

Vienna International Research Cooperation Center, Sandoz Forschungsinstitut, Austria.

出版信息

Proc Natl Acad Sci U S A. 1994 May 10;91(10):4140-4. doi: 10.1073/pnas.91.10.4140.

Abstract

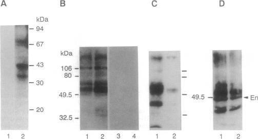
Stimulation of B cells by clustering their surface immunoglobulins (sIg) leads to enhanced phosphorylation of several cellular proteins on Ser and Tyr residues. The type II Fc gamma receptor (Fc gamma RII) is one of those proteins that undergo Ser phosphorylation. Upon affinity isolation of the Fc gamma RII, several molecular entities are coisolated from Triton X-100 lysates of BL41 Burkitt lymphoma line which undergo "in vitro" (cell free) phosphorylation in the immune complex-associated kinase assay. Furthermore, several molecules phosphorylated on Tyr upon sIgM cross-linking in the intact cells are coisolated with Fc gamma RII. The 59-kDa coprecipitated component is identified as the protein-tyrosine kinase (PTK) fyn. Clustering the sIgM molecules enhanced the in vitro phosphorylation of all molecules coprecipitated with Fc gamma RII as well as that of the exogenously added PTK substrate, enolase. Kinase renaturation assays suggest that at least two major renaturable protein kinases (59 kDa and 85-90 kDa) associate with Fc gamma RII. Whereas the 59-kDa component comigrates with the PTK fyn, the 85- to 90-kDa one is an unidentified Ser/Thr kinase. These data suggest that Fc gamma RII exists in the B-cell membrane as part of a multimolecular complex including protein kinases, activities of which are regulated by clustering of the antigen receptors.

摘要

通过使B细胞表面免疫球蛋白(sIg)聚集来刺激B细胞,会导致几种细胞蛋白的丝氨酸(Ser)和酪氨酸(Tyr)残基磷酸化增强。II型Fcγ受体(FcγRII)是发生Ser磷酸化的蛋白之一。在对FcγRII进行亲和分离后,从BL41伯基特淋巴瘤细胞系的Triton X-100裂解物中共同分离出几种分子实体,它们在免疫复合物相关激酶测定中经历“体外”(无细胞)磷酸化。此外,在完整细胞中sIgM交联后酪氨酸磷酸化的几种分子与FcγRII共同分离。59 kDa的共沉淀成分被鉴定为蛋白酪氨酸激酶(PTK)fyn。使sIgM分子聚集增强了与FcγRII共沉淀的所有分子以及外源添加的PTK底物烯醇化酶的体外磷酸化。激酶复性分析表明,至少有两种主要的可复性蛋白激酶(59 kDa和85 - 90 kDa)与FcγRII相关。虽然59 kDa的成分与PTK fyn迁移率相同,但85至90 kDa的成分是一种未鉴定的Ser/Thr激酶。这些数据表明,FcγRII作为多分子复合物的一部分存在于B细胞膜中,该复合物包括蛋白激酶,其活性受抗原受体聚集的调节。

https://cdn.ncbi.nlm.nih.gov/pmc/blobs/ba2c/43740/7195df110a87/pnas01132-0048-a.jpg

文献检索

告别复杂PubMed语法,用中文像聊天一样搜索,搜遍4000万医学文献。AI智能推荐,让科研检索更轻松。

立即免费搜索

文件翻译

保留排版,准确专业,支持PDF/Word/PPT等文件格式,支持 12+语言互译。

免费翻译文档

深度研究

AI帮你快速写综述,25分钟生成高质量综述,智能提取关键信息,辅助科研写作。

立即免费体验