Sands M S, Vogler C, Kyle J W, Grubb J H, Levy B, Galvin N, Sly W S, Birkenmeier E H
Jackson Laboratory, Bar Harbor, Maine 04609.
J Clin Invest. 1994 Jun;93(6):2324-31. doi: 10.1172/JCI117237.
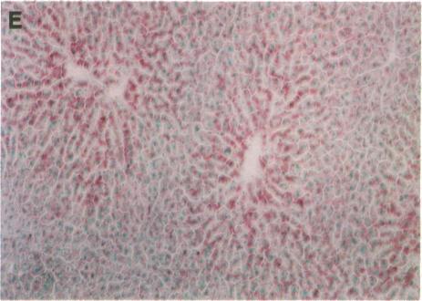
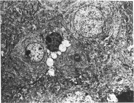
Recombinant mouse beta-glucuronidase administered intravenously to newborn mice with mucopolysaccharidosis type VII (MPS VII) is rapidly cleared from the circulation and localized in many tissues. Here we determine the tissue distribution of injected enzyme and describe its effects on the histopathology in 6-wk-old MPS VII mice that received either one injection of 28,000 U recombinant beta-glucuronidase at 5 wk of age or received six injections of 28,000 U given at weekly intervals beginning at birth. These mice were compared with untreated 6-wk-old MPS VII mice. The single injection decreased lysosomal distention in the fixed tissue macrophage system. MPS VII mice that received multiple injections had 27.8, 3.5, and 3.3% of normal levels of beta-glucuronidase in liver, spleen, and kidney, respectively. Brain had detectable beta-glucuronidase, ranging from 2.0-12.1% of normal. Secondary elevations of alpha-galactosidase and beta-hexosaminidase in brain, spleen, liver, and kidney were decreased compared with untreated MPS VII mice. Although no improvement was observed in chondrocytes, glia, and some neurons, the skeleton had less clinical and pathological evidence of disease and the brain had reduced lysosomal storage in meninges and selected neuronal groups. These data show that recombinant beta-glucuronidase treatment begun in newborn MPS VII mice provides enzyme to most tissues and significantly reduces or prevents the accumulation of lysosomal storage during the first 6 wk of life. Whether therapy begun later in life can achieve this level of correction remains to be established.
将重组小鼠β-葡萄糖醛酸酶静脉注射给患有VII型黏多糖贮积症(MPS VII)的新生小鼠后,该酶会迅速从循环系统中清除并定位于许多组织中。在此,我们确定了注射酶的组织分布,并描述了其对6周龄MPS VII小鼠组织病理学的影响,这些小鼠在5周龄时接受了一次28,000 U重组β-葡萄糖醛酸酶注射,或者从出生开始每周接受一次共六次28,000 U的注射。将这些小鼠与未治疗的6周龄MPS VII小鼠进行比较。单次注射减少了固定组织巨噬细胞系统中的溶酶体扩张。接受多次注射的MPS VII小鼠肝脏、脾脏和肾脏中的β-葡萄糖醛酸酶水平分别为正常水平的27.8%、3.5%和3.3%。大脑中可检测到β-葡萄糖醛酸酶,为正常水平的2.0 - 12.1%。与未治疗的MPS VII小鼠相比,大脑、脾脏、肝脏和肾脏中α-半乳糖苷酶和β-己糖胺酶的继发性升高有所降低。尽管在软骨细胞、神经胶质细胞和一些神经元中未观察到改善,但骨骼的疾病临床和病理证据减少,大脑脑膜和选定神经元组中的溶酶体储存减少。这些数据表明,在新生MPS VII小鼠中开始的重组β-葡萄糖醛酸酶治疗可使大多数组织获得酶,并在生命的前6周显著减少或防止溶酶体储存物质的积累。生命后期开始的治疗是否能达到这种纠正水平仍有待确定。