• 文献检索
  • 文档翻译
  • 深度研究
  • 学术资讯
  • Suppr Zotero 插件Zotero 插件
  • 邀请有礼
  • 套餐&价格
  • 历史记录
应用&插件
Suppr Zotero 插件Zotero 插件浏览器插件Mac 客户端Windows 客户端微信小程序
定价
高级版会员购买积分包购买API积分包
服务
文献检索文档翻译深度研究API 文档MCP 服务
关于我们
关于 Suppr公司介绍联系我们用户协议隐私条款
关注我们

Suppr 超能文献

核心技术专利:CN118964589B侵权必究
粤ICP备2023148730 号-1Suppr @ 2026

文献检索

告别复杂PubMed语法,用中文像聊天一样搜索,搜遍4000万医学文献。AI智能推荐,让科研检索更轻松。

立即免费搜索

文件翻译

保留排版,准确专业,支持PDF/Word/PPT等文件格式,支持 12+语言互译。

免费翻译文档

深度研究

AI帮你快速写综述,25分钟生成高质量综述,智能提取关键信息,辅助科研写作。

立即免费体验

一种39 kDa蛋白质与大鼠肝癌细胞上低密度脂蛋白受体相关蛋白(LRP)的相互作用。

Interaction of a 39 kDa protein with the low-density-lipoprotein-receptor-related protein (LRP) on rat hepatoma cells.

作者信息

Iadonato S P, Bu G, Maksymovitch E A, Schwartz A L

机构信息

Edward Mallinckrodt Department of Pediatrics, Washington University School of Medicine, St. Louis, MO 63110.

出版信息

Biochem J. 1993 Dec 15;296 ( Pt 3)(Pt 3):867-75. doi: 10.1042/bj2960867.

DOI:10.1042/bj2960867
PMID:8280086
原文链接:https://pmc.ncbi.nlm.nih.gov/articles/PMC1137774/
Abstract

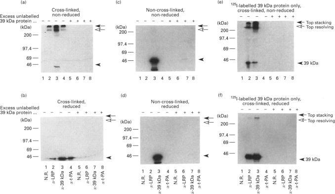
We have recently described a PAI-1-independent pathway of tissue-type plasminogen activator (t-PA) uptake and degradation on the rat MH1C1 hepatoma cell line. Further studies have implicated the low-density-lipoprotein-receptor-related protein (LRP) as the mediator of plasminogen-activator inhibitor type-1-independent t-PA endocytosis. The LRP is a multi-functional receptor which is shared by a variety of ligands, including alpha 2-macroglobulin, apoprotein E-enriched beta-very-low-density lipoprotein, t-PA and Pseudomonas exotoxin A. In each case, binding of ligand to this receptor can be inhibited by addition of the 39 kDa LRP-receptor-associated protein. This protein, which co-purifies with the LRP receptor, is the focus of our present study. 125I-labelled 39 kDa protein binds specifically and with high affinity to a single kinetic binding species on the rat MH1C1 cell surface. Scatchard analysis reveals an equilibrium dissociation constant (Kd) of 3.3 +/- 0.9 (S.D.) nM, with 380,000 +/- 190,000 (S.D.) binding sites per cell. Cross-linking studies indicate that the specific interaction between MH1C1 cells and the 39 kDa protein is mediated by an association with the LRP receptor. The 39 kDa protein strongly inhibits binding of 125I-t-PA, with an apparent Ki value of 0.5 nM. In addition, both unlabelled t-PA and 125I-labelled 39 kDa protein can be co-bound and cross-linked to the same cell-associated LRP receptor. Endocytosis of cell-surface-associated 39 kDa protein was shown to be rapid, with internalized ligand subsequently degraded and released to the extracellular milieu. The rate of uptake and degradation of 125I-labelled 39 kDa protein at 37 degrees C was determined to be 52 fmol/min per 10(6) cells, and supports a model for active recycling of the LRP receptor.

摘要

我们最近描述了大鼠MH1C1肝癌细胞系上组织型纤溶酶原激活剂(t-PA)摄取和降解的一条不依赖纤溶酶原激活剂抑制物-1(PAI-1)的途径。进一步的研究表明,低密度脂蛋白受体相关蛋白(LRP)是纤溶酶原激活剂抑制物-1非依赖性t-PA内吞作用的介质。LRP是一种多功能受体,多种配体均可与之结合,包括α2-巨球蛋白、富含载脂蛋白E的β-极低密度脂蛋白、t-PA和铜绿假单胞菌外毒素A。在每种情况下,添加39 kDa的LRP受体相关蛋白均可抑制配体与该受体的结合。这种与LRP受体共同纯化的蛋白是我们目前研究的重点。125I标记的39 kDa蛋白特异性且高亲和力地结合到大鼠MH1C1细胞表面的单一动力学结合位点。Scatchard分析显示平衡解离常数(Kd)为3.3±0.9(标准差)nM,每个细胞有380,000±190,000(标准差)个结合位点。交联研究表明,MH1C1细胞与39 kDa蛋白之间的特异性相互作用是由与LRP受体的结合介导的。39 kDa蛋白强烈抑制125I-t-PA的结合,表观Ki值为0.5 nM。此外,未标记的t-PA和125I标记的39 kDa蛋白均可共同结合并交联到同一细胞相关的LRP受体上。细胞表面相关的39 kDa蛋白的内吞作用迅速,内化的配体随后被降解并释放到细胞外环境中。在37℃下,125I标记的39 kDa蛋白的摄取和降解速率被测定为每10(6)个细胞52 fmol/min,并支持LRP受体的主动循环模型。

https://cdn.ncbi.nlm.nih.gov/pmc/blobs/bebe/1137774/227838222134/biochemj00097-0337-a.jpg
https://cdn.ncbi.nlm.nih.gov/pmc/blobs/bebe/1137774/6674703f345a/biochemj00097-0334-a.jpg
https://cdn.ncbi.nlm.nih.gov/pmc/blobs/bebe/1137774/f58e653f0261/biochemj00097-0335-a.jpg
https://cdn.ncbi.nlm.nih.gov/pmc/blobs/bebe/1137774/fe06ed3d2c46/biochemj00097-0336-a.jpg
https://cdn.ncbi.nlm.nih.gov/pmc/blobs/bebe/1137774/227838222134/biochemj00097-0337-a.jpg
https://cdn.ncbi.nlm.nih.gov/pmc/blobs/bebe/1137774/6674703f345a/biochemj00097-0334-a.jpg
https://cdn.ncbi.nlm.nih.gov/pmc/blobs/bebe/1137774/f58e653f0261/biochemj00097-0335-a.jpg
https://cdn.ncbi.nlm.nih.gov/pmc/blobs/bebe/1137774/fe06ed3d2c46/biochemj00097-0336-a.jpg
https://cdn.ncbi.nlm.nih.gov/pmc/blobs/bebe/1137774/227838222134/biochemj00097-0337-a.jpg

相似文献

1
Interaction of a 39 kDa protein with the low-density-lipoprotein-receptor-related protein (LRP) on rat hepatoma cells.一种39 kDa蛋白质与大鼠肝癌细胞上低密度脂蛋白受体相关蛋白(LRP)的相互作用。
Biochem J. 1993 Dec 15;296 ( Pt 3)(Pt 3):867-75. doi: 10.1042/bj2960867.
2
Low density lipoprotein receptor-related protein/alpha 2-macroglobulin receptor is an hepatic receptor for tissue-type plasminogen activator.低密度脂蛋白受体相关蛋白/α2-巨球蛋白受体是组织型纤溶酶原激活物的肝脏受体。
Proc Natl Acad Sci U S A. 1992 Aug 15;89(16):7427-31. doi: 10.1073/pnas.89.16.7427.
3
Receptor-mediated endocytosis of tissue-type plasminogen activator by low density lipoprotein receptor-related protein on human hepatoma HepG2 cells.组织型纤溶酶原激活剂通过人肝癌HepG2细胞上的低密度脂蛋白受体相关蛋白进行受体介导的内吞作用。
J Biol Chem. 1993 Jun 15;268(17):13002-9.
4
The low density lipoprotein receptor-related protein can function independently from heparan sulfate proteoglycans in tissue factor pathway inhibitor endocytosis.低密度脂蛋白受体相关蛋白在组织因子途径抑制物的内吞作用中可独立于硫酸乙酰肝素蛋白聚糖发挥功能。
J Biol Chem. 1996 Oct 18;271(42):25873-9. doi: 10.1074/jbc.271.42.25873.
5
Binding analysis of amino-terminal and carboxyl-terminal regions of the 39-kDa protein to the low density lipoprotein receptor-related protein.
J Biol Chem. 1994 Feb 4;269(5):3325-30.
6
Molecular analysis of ligand binding to the second cluster of complement-type repeats of the low density lipoprotein receptor-related protein. Evidence for an allosteric component in receptor-associated protein-mediated inhibition of ligand binding.低密度脂蛋白受体相关蛋白补体样重复序列第二簇与配体结合的分子分析。受体相关蛋白介导的配体结合抑制中变构成分的证据。
J Biol Chem. 1997 May 23;272(21):13608-13. doi: 10.1074/jbc.272.21.13608.
7
Blockade of the alpha 2-macroglobulin receptor/low-density-lipoprotein-receptor-related protein on rat liver parenchymal cells by the 39-kDa receptor-associated protein leaves the interaction of beta-migrating very-low-density lipoprotein with the lipoprotein remnant receptor unaffected.大鼠肝实质细胞上的α2-巨球蛋白受体/低密度脂蛋白受体相关蛋白被39 kDa受体相关蛋白阻断后,β迁移极低密度脂蛋白与脂蛋白残粒受体的相互作用不受影响。
Eur J Biochem. 1996 Dec 15;242(3):703-11. doi: 10.1111/j.1432-1033.1996.0703r.x.
8
Identification and partial characterization by chemical cross-linking of a binding protein for tissue-type plasminogen activator (t-PA) on rat hepatoma cells. A plasminogen activator inhibitor type 1-independent t-PA receptor.通过化学交联鉴定大鼠肝癌细胞上组织型纤溶酶原激活物(t-PA)结合蛋白并对其进行部分特性分析。一种1型纤溶酶原激活物抑制剂非依赖性t-PA受体。
J Biol Chem. 1992 Aug 5;267(22):15595-602.
9
Identification of domains on the 39-kDa protein that inhibit the binding of ligands to the low density lipoprotein receptor-related protein.鉴定39 kDa蛋白上抑制配体与低密度脂蛋白受体相关蛋白结合的结构域。
J Biol Chem. 1993 Oct 15;268(29):22046-54.
10
Fibrinolytic activity of human mesothelial cells is counteracted by rapid uptake of tissue-type plasminogen activator.人腹膜间皮细胞的纤溶活性因组织型纤溶酶原激活物的快速摄取而受到抑制。
Kidney Int. 1999 Jan;55(1):120-9. doi: 10.1046/j.1523-1755.1999.00244.x.

引用本文的文献

1
Receptor-associated protein impairs ligand binding to megalin and megalin-dependent endocytic flux in proximal tubule cells.受体相关蛋白损害了配体与近端肾小管细胞中 megalin 的结合以及依赖于 megalin 的内吞流。
Am J Physiol Renal Physiol. 2023 Oct 1;325(4):F457-F464. doi: 10.1152/ajprenal.00165.2023. Epub 2023 Aug 3.
2
MIF promotes cell invasion by the LRP1-uPAR interaction in pancreatic cancer cells.巨噬细胞移动抑制因子通过低密度脂蛋白受体相关蛋白1-尿激酶型纤溶酶原激活物受体相互作用促进胰腺癌细胞的侵袭。
Front Oncol. 2023 Jan 10;12:1028070. doi: 10.3389/fonc.2022.1028070. eCollection 2022.
3
PAI1 blocks NMDA receptor-mediated effects of tissue-type plasminogen activator on cell signaling and physiology.

本文引用的文献

1
Biosynthesis of the human asialoglycoprotein receptor.人去唾液酸糖蛋白受体的生物合成
J Biol Chem. 1983 Sep 25;258(18):11249-55.
2
Kinetics of internalization and recycling of transferrin and the transferrin receptor in a human hepatoma cell line. Effect of lysosomotropic agents.人肝癌细胞系中转铁蛋白及转铁蛋白受体的内化与再循环动力学。溶酶体促渗剂的作用。
J Biol Chem. 1983 Aug 25;258(16):9681-9.
3
Kinetics of internalization and recycling of the asialoglycoprotein receptor in a hepatoma cell line.肝癌细胞系中去唾液酸糖蛋白受体的内化及再循环动力学
PAI1 可阻断组织型纤溶酶原激活物对细胞信号转导和生理功能的 NMDA 受体介导作用。
J Cell Sci. 2018 Jul 26;131(14):jcs217083. doi: 10.1242/jcs.217083.
4
Recombinant Expression of the Full-length Ectodomain of LDL Receptor-related Protein 1 (LRP1) Unravels pH-dependent Conformational Changes and the Stoichiometry of Binding with Receptor-associated Protein (RAP).低密度脂蛋白受体相关蛋白1(LRP1)全长胞外域的重组表达揭示了pH依赖性构象变化以及与受体相关蛋白(RAP)结合的化学计量。
J Biol Chem. 2017 Jan 20;292(3):912-924. doi: 10.1074/jbc.M116.758862. Epub 2016 Dec 12.
5
LRP1 modulates the microglial immune response via regulation of JNK and NF-κB signaling pathways.低密度脂蛋白受体相关蛋白1(LRP1)通过调节JNK和NF-κB信号通路来调控小胶质细胞的免疫反应。
J Neuroinflammation. 2016 Dec 8;13(1):304. doi: 10.1186/s12974-016-0772-7.
6
FG-3019, a Human Monoclonal Antibody Recognizing Connective Tissue Growth Factor, is Subject to Target-Mediated Drug Disposition.FG-3019,一种识别结缔组织生长因子的人源单克隆抗体,存在靶点介导的药物处置现象。
Pharm Res. 2016 Aug;33(8):1833-49. doi: 10.1007/s11095-016-1918-0. Epub 2016 Apr 8.
7
Apolipoprotein E regulates the integrity of tight junctions in an isoform-dependent manner in an in vitro blood-brain barrier model.载脂蛋白 E 以异构体依赖的方式调节体外血脑屏障模型中紧密连接的完整性。
J Biol Chem. 2011 May 20;286(20):17536-42. doi: 10.1074/jbc.M111.225532. Epub 2011 Apr 6.
8
Neuronal low-density lipoprotein receptor-related protein 1 binds and endocytoses prion fibrils via receptor cluster 4.神经元低密度脂蛋白受体相关蛋白 1 通过受体簇 4 结合并内吞朊病毒纤维。
J Cell Sci. 2010 Jan 15;123(Pt 2):246-55. doi: 10.1242/jcs.058099.
9
Receptor-associated protein interacts with amyloid-beta peptide and promotes its cellular uptake.受体相关蛋白与淀粉样β肽相互作用,并促进其细胞摄取。
J Biol Chem. 2009 Nov 27;284(48):33352-9. doi: 10.1074/jbc.M109.015032. Epub 2009 Oct 13.
10
Microglia mediate the clearance of soluble Abeta through fluid phase macropinocytosis.小胶质细胞通过液相巨吞饮作用介导可溶性β淀粉样蛋白的清除。
J Neurosci. 2009 Apr 1;29(13):4252-62. doi: 10.1523/JNEUROSCI.5572-08.2009.
J Biol Chem. 1982 Apr 25;257(8):4230-7.
4
Cellular pathways of galactose-terminal ligand movement in a cloned human hepatoma cell line.克隆的人肝癌细胞系中半乳糖末端配体移动的细胞途径。
Mol Pharmacol. 1984 Nov;26(3):509-19.
5
The human LDL receptor: a cysteine-rich protein with multiple Alu sequences in its mRNA.人类低密度脂蛋白受体:一种在其信使核糖核酸中含有多个Alu序列的富含半胱氨酸的蛋白质。
Cell. 1984 Nov;39(1):27-38. doi: 10.1016/0092-8674(84)90188-0.
6
Cleavage of structural proteins during the assembly of the head of bacteriophage T4.在噬菌体T4头部组装过程中结构蛋白的切割
Nature. 1970 Aug 15;227(5259):680-5. doi: 10.1038/227680a0.
7
Surface location and high affinity for calcium of a 500-kd liver membrane protein closely related to the LDL-receptor suggest a physiological role as lipoprotein receptor.一种与低密度脂蛋白受体密切相关的500kd肝细胞膜蛋白的表面定位及对钙的高亲和力表明其作为脂蛋白受体的生理作用。
EMBO J. 1988 Dec 20;7(13):4119-27. doi: 10.1002/j.1460-2075.1988.tb03306.x.
8
Receptor-mediated endocytosis of epidermal growth factor by rat hepatocytes: receptor pathway.大鼠肝细胞对表皮生长因子的受体介导内吞作用:受体途径
J Cell Biol. 1986 Jan;102(1):24-36. doi: 10.1083/jcb.102.1.24.
9
Receptor-mediated endocytosis: concepts emerging from the LDL receptor system.受体介导的内吞作用:源于低密度脂蛋白受体系统的概念
Annu Rev Cell Biol. 1985;1:1-39. doi: 10.1146/annurev.cb.01.110185.000245.
10
The LDL-receptor-related protein, LRP, is an apolipoprotein E-binding protein.低密度脂蛋白受体相关蛋白(LRP)是一种载脂蛋白E结合蛋白。
Nature. 1989 Sep 14;341(6238):162-4. doi: 10.1038/341162a0.